电话:
+86 (0512) 65829739
传真:
+86 (010) 6788 5057
电子邮件:
orders@antibodies-online.cn

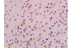
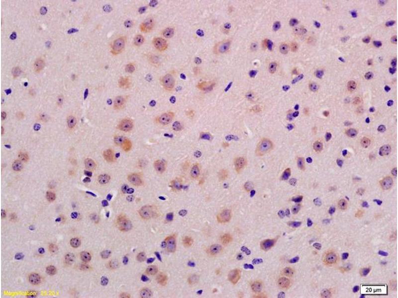
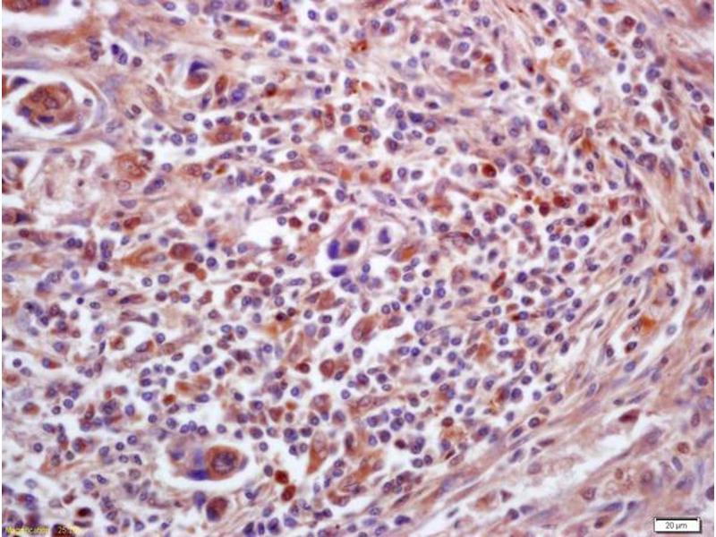
PPT1 抗体 (AA 188-290)

The 兔 多克隆 anti-PPT1 antibody is suitable to detect PPT1 in samples from 人, 小鼠 和 大鼠. It has been validated for WB, ELISA, IHC (p), IHC (fro), IF (cc) 和 IF (p).
产品编号 ABIN718946
发货至: 中国
Contact our Customer Service for availability and price in your country. Contact Info

Our Local Distributor

中国
北京 101111
No. 88 KeChuang 6th Street
Beijing Economic Technological Development Area
Room 801-803
4A Biotech Co.,Ltd.
Tel +86 (0512) 65829739 传真 +86 (010) 6788 5057

Quick Overview for PPT1 抗体 (AA 188-290) (ABIN718946)

抗原

See all PPT1 抗体
PPT1 (Palmitoyl-Protein Thioesterase 1 (PPT1))

适用

  • 55
  • 20
  • 9
  • 4
  • 2
  • 2
  • 2
  • 1
  • 1
  • 1
人, 小鼠, 大鼠

宿主

  • 48
  • 10

克隆类型

  • 50
  • 8
多克隆

标记

  • 39
  • 5
  • 4
  • 4
  • 3
  • 3
This PPT1 antibody is un-conjugated

应用范围

  • 47
  • 32
  • 28
  • 11
  • 5
  • 4
  • 2
  • 2
  • 1
  • 1
Western Blotting (WB), ELISA, Immunohistochemistry (Paraffin-embedded Sections) (IHC (p)), Immunohistochemistry (Frozen Sections) (IHC (fro)), Immunofluorescence (Cultured Cells) (IF (cc)), Immunofluorescence (Paraffin-embedded Sections) (IF (p))
  • 抗原表位

    • 7
    • 7
    • 7
    • 7
    • 6
    • 6
    • 5
    • 3
    • 2
    • 2
    • 2
    • 1
    • 1
    • 1
    • 1
    • 1
    AA 188-290

    交叉反应

    人, 小鼠, 大鼠

    预测反应

    Dog,Cow,Sheep,Pig,Horse,Chicken,Rabbit

    纯化方法

    Purified by Protein A.

    免疫原

    KLH conjugated synthetic peptide derived from human PPT1

    亚型

    IgG
  • 应用备注

    WB 1:300-5000
    ELISA 1:500-1000
    IHC-P 1:200-400
    IHC-F 1:100-500
    IF(IHC-P) 1:50-200
    IF(IHC-F) 1:50-200
    IF(ICC) 1:50-200

    限制

    仅限研究用
  • 状态

    Liquid

    浓度

    1 μg/μL

    缓冲液

    0.01M TBS( pH 7.4) with 1 % BSA, 0.02 % Proclin300 and 50 % Glycerol.

    储存液

    ProClin

    注意事项

    This product contains ProClin: a POISONOUS AND HAZARDOUS SUBSTANCE, which should be handled by trained staff only.

    储存条件

    4 °C,-20 °C

    储存方法

    Shipped at 4°C. Store at -20°C for one year. Avoid repeated freeze/thaw cycles.

    有效期

    12 months
  • 抗原

    PPT1 (Palmitoyl-Protein Thioesterase 1 (PPT1))

    别名

    PPT1

    背景

    Synonyms: PPT, CLN1, INCL, Palmitoyl-protein thioesterase 1, PPT-1, Palmitoyl-protein hydrolase 1, PPT1

    Background: Removes thioester-linked fatty acyl groups such as palmitate from modified cysteine residues in proteins or peptides during lysosomal degradation. Prefers acyl chain lengths of 14 to 18 carbons.

    基因ID

    5538

    UniProt

    P50897

    途径

    SARS-CoV-2 Protein Interactome
You are here: