电话:
+86 (0512) 65829739
传真:
+86 (010) 6788 5057
电子邮件:
orders@antibodies-online.cn

PPT1 抗体 (AA 1-306)

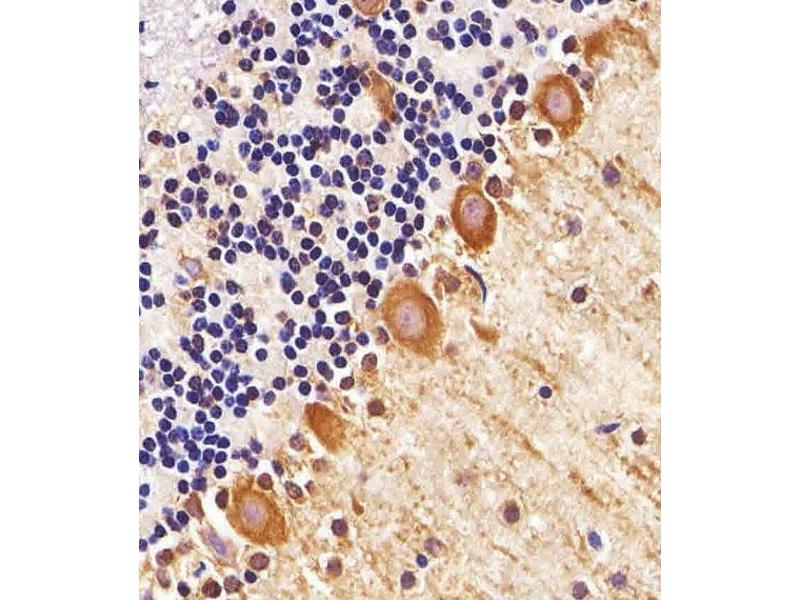
Cited in 3+ publications. The 小鼠 单克隆 anti-PPT1 antibody (Clone 1117CT11-2-1-4) (ABIN1944801) specifically detects PPT1 in WB, IHC (p) 和 FACS. The antibody is reactive with 人 samples.
产品编号 ABIN1944801
发货至: 中国
Contact our Customer Service for availability and price in your country. Contact Info

Our Local Distributor

中国
北京 101111
No. 88 KeChuang 6th Street
Beijing Economic Technological Development Area
Room 801-803
4A Biotech Co.,Ltd.
Tel +86 (0512) 65829739 传真 +86 (010) 6788 5057

Quick Overview for PPT1 抗体 (AA 1-306) (ABIN1944801)

抗原

See all PPT1 抗体
PPT1 (Palmitoyl-Protein Thioesterase 1 (PPT1))

适用

  • 55
  • 21
  • 10
  • 4
  • 2
  • 2
  • 2
  • 1
  • 1
  • 1

宿主

  • 49
  • 9
小鼠

克隆类型

  • 51
  • 7
单克隆

标记

  • 39
  • 5
  • 4
  • 4
  • 3
  • 3
This PPT1 antibody is un-conjugated

应用范围

  • 47
  • 33
  • 28
  • 11
  • 4
  • 4
  • 2
  • 2
  • 2
  • 1
  • 1
  • 1
Western Blotting (WB), Immunohistochemistry (Paraffin-embedded Sections) (IHC (p)), Flow Cytometry (FACS)

克隆位点

1117CT11-2-1-4
  • 抗原表位

    • 7
    • 7
    • 7
    • 7
    • 6
    • 6
    • 4
    • 3
    • 2
    • 2
    • 2
    • 1
    • 1
    • 1
    • 1
    • 1
    • 1
    AA 1-306

    纯化方法

    This antibody is purified through a protein G column, followed by dialysis against PBS.

    免疫原

    This PPT1 antibody is generated from a mouse immunized with a full-length recombinant protein from human PPT1.

    亚型

    IgG1
  • 应用备注

    WB: 1:1000. IHC-P: 1:25. IHC-P: 1:25. IHC-P: 1:25. FC: 1:25

    限制

    仅限研究用
  • 状态

    Liquid

    缓冲液

    Purified monoclonal antibody supplied in PBS with 0.09 % (W/V) sodium azide.

    储存液

    Sodium azide

    注意事项

    This product contains Sodium azide: a POISONOUS AND HAZARDOUS SUBSTANCE which should be handled by trained staff only.

    储存条件

    4 °C,-20 °C

    有效期

    6 months
  • Crews, Lane, Schreiber: "Didemnin binds to the protein palmitoyl thioesterase responsible for infantile neuronal ceroid lipofuscinosis." in: Proceedings of the National Academy of Sciences of the United States of America, Vol. 93, Issue 9, pp. 4316-9, (1996) (PubMed).

    Schriner, Yi, Hofmann: "cDNA and genomic cloning of human palmitoyl-protein thioesterase (PPT), the enzyme defective in infantile neuronal ceroid lipofuscinosis." in: Genomics, Vol. 34, Issue 3, pp. 317-22, (1996) (PubMed).

    Vesa, Hellsten, Verkruyse, Camp, Rapola, Santavuori, Hofmann, Peltonen: "Mutations in the palmitoyl protein thioesterase gene causing infantile neuronal ceroid lipofuscinosis." in: Nature, Vol. 376, Issue 6541, pp. 584-7, (1995) (PubMed).

  • 抗原

    PPT1 (Palmitoyl-Protein Thioesterase 1 (PPT1))

    别名

    PPT1

    背景

    Removes thioester-linked fatty acyl groups such as palmitate from modified cysteine residues in proteins or peptides during lysosomal degradation. Prefers acyl chain lengths of 14 to 18 carbons.

    分子量

    34193

    基因ID

    5538

    UniProt

    P50897

    途径

    SARS-CoV-2 Protein Interactome
You are here: