VPS11 抗体
Our Local Distributor
北京 101111
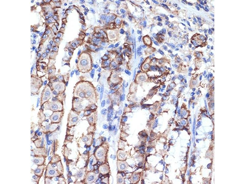
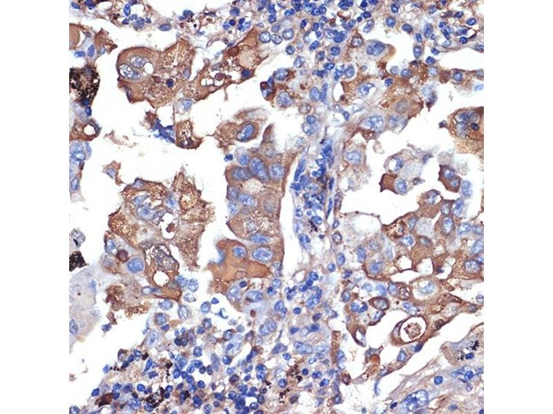
Quick Overview for VPS11 抗体 (ABIN7271272)
抗原
See all VPS11 抗体适用
宿主
克隆类型
标记
应用范围
-
-
原理
- VPS11 Rabbit mAb
-
交叉反应
- 人, 小鼠
-
产品特性
- Monoclonal Antibodies
-
纯化方法
- Affinity purification
-
免疫原
- A synthesized peptide derived from human VPS11
-
亚型
- IgG
-
-
-
-
应用备注
- WB,1:500 - 1:2000,IHC,1:50 - 1:200
-
限制
- 仅限研究用
-
-
-
状态
- Liquid
-
缓冲液
- PBS with 0.02 % sodium azide,0.05 % BSA,50 % glycerol, pH 7.3.
-
储存液
- Sodium azide
-
注意事项
- This product contains Sodium azide: a POISONOUS AND HAZARDOUS SUBSTANCE which should be handled by trained staff only.
-
储存条件
- -20 °C
-
储存方法
- Store at -20°C. Avoid freeze / thaw cycles.
-
-
- VPS11 (Vacuolar Protein Sorting 11 Homolog (VPS11))
-
别名
- VPS11
-
背景
- Vesicle mediated protein sorting plays an important role in segregation of intracellular molecules into distinct organelles. Genetic studies in yeast have identified more than 40 vacuolar protein sorting (VPS) genes involved in vesicle transport to vacuoles. This gene encodes the human homolog of yeast class C Vps11 protein. The mammalian class C Vps proteins are predominantly associated with late endosomes/lysosomes, and like their yeast counterparts, may mediate vesicle trafficking steps in the endosome/lysosome pathway. Alternative splicing results in multiple transcript variants. [provided by RefSeq, Feb 2014],END1, HLD12, PEP5, RNF108, hVPS11,Signal Transduction,VPS11
-
分子量
- 108kDa
-
基因ID
- 55823
-
UniProt
- Q9H270
-
途径
- SARS-CoV-2 Protein Interactome
抗原
-