电话:
+86 (0512) 65829739
传真:
+86 (010) 6788 5057
电子邮件:
orders@antibodies-online.cn

p63 抗体

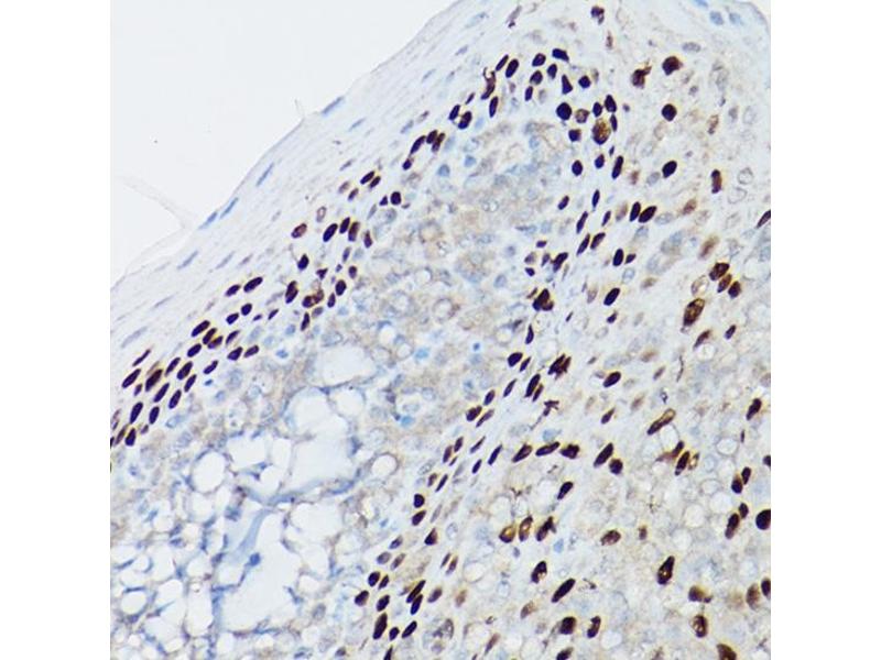
The 兔 单克隆 anti-p63 antibody is suitable to detect p63 in samples from 人. It has been validated for WB 和 IHC.
产品编号 ABIN7271099
发货至: 中国
Contact our Customer Service for availability and price in your country. Contact Info

Our Local Distributor

中国
北京 101111
No. 88 KeChuang 6th Street
Beijing Economic Technological Development Area
Room 801-803
4A Biotech Co.,Ltd.
Tel +86 (0512) 65829739 传真 +86 (010) 6788 5057

Quick Overview for p63 抗体 (ABIN7271099)

抗原

See all p63 (TP63) 抗体
p63 (TP63) (Tumor Protein P63 (TP63))

适用

  • 70
  • 24
  • 21
  • 4
  • 2
  • 2

宿主

  • 45
  • 29
  • 1

克隆类型

  • 39
  • 36
单克隆

标记

  • 65
  • 2
  • 1
  • 1
  • 1
  • 1
  • 1
  • 1
  • 1
  • 1
This p63 antibody is un-conjugated

应用范围

  • 46
  • 31
  • 24
  • 14
  • 11
  • 11
  • 9
  • 6
  • 5
  • 4
  • 3
  • 2
  • 1
  • 1
  • 1
  • 1
  • 1
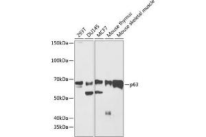
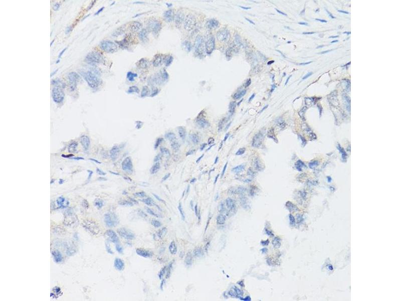
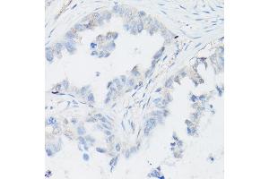
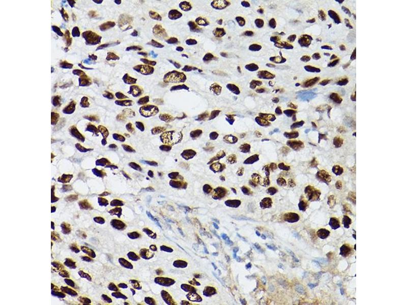
Western Blotting (WB), Immunohistochemistry (IHC)
  • 原理

    p63 Rabbit mAb

    交叉反应

    人, 小鼠

    产品特性

    Monoclonal Antibodies

    纯化方法

    Affinity purification

    免疫原

    A synthesized peptide derived from human p63.

    亚型

    IgG
  • 应用备注

    WB,1:500 - 1:2000,IHC,1:50 - 1:200

    限制

    仅限研究用
  • 状态

    Liquid

    缓冲液

    PBS with 0.02 % sodium azide,0.05 % BSA,50 % glycerol, pH 7.3.

    储存液

    Sodium azide

    注意事项

    This product contains Sodium azide: a POISONOUS AND HAZARDOUS SUBSTANCE which should be handled by trained staff only.

    储存条件

    -20 °C

    储存方法

    Store at -20°C. Avoid freeze / thaw cycles.
  • 抗原

    p63 (TP63) (Tumor Protein P63 (TP63))

    别名

    TP63

    背景

    This gene encodes a member of the p53 family of transcription factors. The functional domains of p53 family proteins include an N-terminal transactivation domain, a central DNA-binding domain and an oligomerization domain. Alternative splicing of this gene and the use of alternative promoters results in multiple transcript variants encoding different isoforms that vary in their functional properties. These isoforms function during skin development and maintenance, adult stem/progenitor cell regulation, heart development and premature aging. Some isoforms have been found to protect the germline by eliminating oocytes or testicular germ cells that have suffered DNA damage. Mutations in this gene are associated with ectodermal dysplasia, and cleft lip/palate syndrome 3 (EEC3), split-hand/foot malformation 4 (SHFM4), ankyloblepharon-ectodermal defects-cleft lip/palate, ADULT syndrome (acro-dermato-ungual-lacrimal-tooth), limb-mammary syndrome, Rap-Hodgkin syndrome (RHS), and orofacial cleft 8. [provided by RefSeq, Aug 2016],AIS,B(p51A),B(p51B),EEC3,KET,LMS,NBP,OFC8,RHS,SHFM4,TP53CP,TP53L,TP73L,p40,p51,p53CP,p63,p73H,p73L,TP63,Apoptosis,Cancer,Cell Biology & Developmental Biology,Epigenetics & Nuclear Signaling,Stem Cells,Transcription Factors,Tumor suppressors,Tumor suppressors_p53 pathway,TP63

    分子量

    77kDa

    基因ID

    8626

    UniProt

    Q9H3D4
You are here: