电话:
+86 (0512) 65829739
传真:
+86 (010) 6788 5057
电子邮件:
orders@antibodies-online.cn

p63 抗体

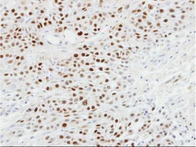
Cited in 8+ publications. The 兔 多克隆 anti-p63 antibody (ABIN2855394) specifically detects p63 in WB, ICC, IF, IP, IHC (p), IHC (fro) 和 PLA. The antibody is reactive with 人 samples.
产品编号 ABIN2855394
发货至: 中国
Contact our Customer Service for availability and price in your country. Contact Info

Our Local Distributor

中国
北京 101111
No. 88 KeChuang 6th Street
Beijing Economic Technological Development Area
Room 801-803
4A Biotech Co.,Ltd.
Tel +86 (0512) 65829739 传真 +86 (010) 6788 5057

Quick Overview for p63 抗体 (ABIN2855394)

抗原

See all p63 (TP63) 抗体
p63 (TP63) (Tumor Protein P63 (TP63))

适用

  • 70
  • 24
  • 21
  • 4
  • 2
  • 2

宿主

  • 45
  • 29
  • 1

克隆类型

  • 38
  • 37
多克隆

标记

  • 65
  • 2
  • 1
  • 1
  • 1
  • 1
  • 1
  • 1
  • 1
  • 1
This p63 antibody is un-conjugated

应用范围

  • 46
  • 32
  • 24
  • 13
  • 11
  • 10
  • 9
  • 5
  • 4
  • 4
  • 3
  • 2
  • 1
  • 1
  • 1
Western Blotting (WB), Immunocytochemistry (ICC), Immunofluorescence (IF), Immunoprecipitation (IP), Immunohistochemistry (Paraffin-embedded Sections) (IHC (p)), Immunohistochemistry (Frozen Sections) (IHC (fro)), Proximity Ligation Assay (PLA)

质量等级

KO Validated
  • 交叉反应

    犬, 人, 小鼠, 大鼠

    产品特性

    Rabbit Polyclonal antibody to p63 (tumor protein p63)
    p63 antibody [N2C1], Internal

    纯化方法

    Purified by antigen-affinity chromatography.

    免疫原

    Recombinant protein encompassing a sequence within the center region of human p63. The exact sequence is proprietary.

    亚型

    IgG
  • 应用备注

    WB: 1:500-1:3000. ICC/IF: 1:100-1:1000. IHC-P: 1:100-1:1000. IP: 1:100-1:500. Optimal dilutions/concentrations should be determined by the researcher. Not tested in other applications.

    说明

    Positive Control: mouse brain , rat brain , A431

    Validation: KO/KD, Orthogonal

    限制

    仅限研究用
  • 状态

    Liquid

    浓度

    1.58 mg/mL

    缓冲液

    1XPBS pH 7, 20 % Glycerol, 0.025 % ProClin 300

    储存液

    ProClin

    注意事项

    This product contains ProClin: a POISONOUS AND HAZARDOUS SUBSTANCE which should be handled by trained staff only.

    储存条件

    4 °C,-20 °C

    储存方法

    Store as concentrated solution. Centrifuge briefly prior to opening vial. For short-term storage (1-2 weeks), store at 4°C. For long-term storage, aliquot and store at -20°C or below. Avoid multiple freeze-thaw cycles.
  • Kim, Dollé, Vermeij, Gyenis, Vogel, Hoeijmakers, Wiley, Davalos, Hasty, Desprez, Campisi: "Deficiency in the DNA repair protein ERCC1 triggers a link between senescence and apoptosis in human fibroblasts and mouse skin." in: Aging cell, Vol. 19, Issue 3, pp. e13072, (2020) (PubMed).

    Li, Wang, Torkelson, Shankar, Pattison, Zhen, Fang, Duren, Xin, Gaddam, Melo, Piekos, Li, Liaw, Chen, Li, Wernig, Wong, Chang, Oro: "TFAP2C- and p63-Dependent Networks Sequentially Rearrange Chromatin Landscapes to Drive Human Epidermal Lineage Commitment." in: Cell stem cell, Vol. 24, Issue 2, pp. 271-284.e8, (2020) (PubMed).

    Jiang, Zhu, He, Gao, Tian, Ma, Wu, Das, Severinov, Hitzeroth, Debata, Liu, Zou, Shi, Xu, Wang, Bao, Ka-Kit, You, Cui, Hu: "Cytological Immunostaining of HMGA2, LRP1B, and TP63 as Potential Biomarkers for Triaging Human Papillomavirus-Positive Women." in: Translational oncology, Vol. 12, Issue 7, pp. 959-967, (2019) (PubMed).

    Montoro, Haber, Biton, Vinarsky, Lin, Birket, Yuan, Chen, Leung, Villoria, Rogel, Burgin, Tsankov, Waghray, Slyper, Waldman, Nguyen, Dionne, Rozenblatt-Rosen, Tata, Mou, Shivaraju, Bihler, Mense et al.: "A revised airway epithelial hierarchy includes CFTR-expressing ionocytes. ..." in: Nature, Vol. 560, Issue 7718, pp. 319-324, (2019) (PubMed).

    Xiong, Ren, Chen, Liu, Huang, Zhang, Odera, Chen, Kist, Peters, Garman, Sun, Chen: "PAX9 regulates squamous cell differentiation and carcinogenesis in the oro-oesophageal epithelium." in: The Journal of pathology, Vol. 244, Issue 2, pp. 164-175, (2019) (PubMed).

    OBrien, Dorsey, Hannan, Hultgren: "Host restriction of Escherichia coli recurrent urinary tract infection occurs in a bacterial strain-specific manner." in: PLoS pathogens, Vol. 14, Issue 12, pp. e1007457, (2019) (PubMed).

    Reneker, Wang, Irlmeier, Huang: "Fibroblast Growth Factor Receptor 2 (FGFR2) Is Required for Meibomian Gland Homeostasis in the Adult Mouse." in: Investigative ophthalmology & visual science, Vol. 58, Issue 5, pp. 2638-2646, (2017) (PubMed).

    OBrien, Hannan, Yu, Livny, Roberson, Schwartz, Souza, Mendelsohn, Colonna, Lewis, Hultgren: "A mucosal imprint left by prior Escherichia coli bladder infection sensitizes to recurrent disease." in: Nature microbiology, Vol. 2, pp. 16196, (2016) (PubMed).

  • 抗原

    p63 (TP63) (Tumor Protein P63 (TP63))

    别名

    tumor protein p63

    背景

    This gene encodes a member of the p53 family of transcription factors. An animal model, p63 -/- mice, has been useful in defining the role this protein plays in the development and maintenance of stratified epithelial tissues. p63 -/- mice have several developmental defects which include the lack of limbs and other tissues, such as teeth and mammary glands, which develop as a result of interactions between mesenchyme and epithelium. Mutations in this gene are associated with ectodermal dysplasia, and cleft lip/palate syndrome 3 (EEC3), split-hand/foot malformation 4 (SHFM4), ankyloblepharon-ectodermal defects-cleft lip/palate, ADULT syndrome (acro-dermato-ungual-lacrimal-tooth), limb-mammary syndrome, Rap-Hodgkin syndrome (RHS), and orofacial cleft 8. Both alternative splicing and the use of alternative promoters results in multiple transcript variants encoding different proteins. Many transcripts encoding different proteins have been reported but the biological validity and the full-length nature of these variants have not been determined.

    Cellular Localization: Nucleus

    分子量

    77 kDa

    基因ID

    8626

    UniProt

    Q9H3D4
You are here: