电话:
+86 (0512) 65829739
传真:
+86 (010) 6788 5057
电子邮件:
orders@antibodies-online.cn

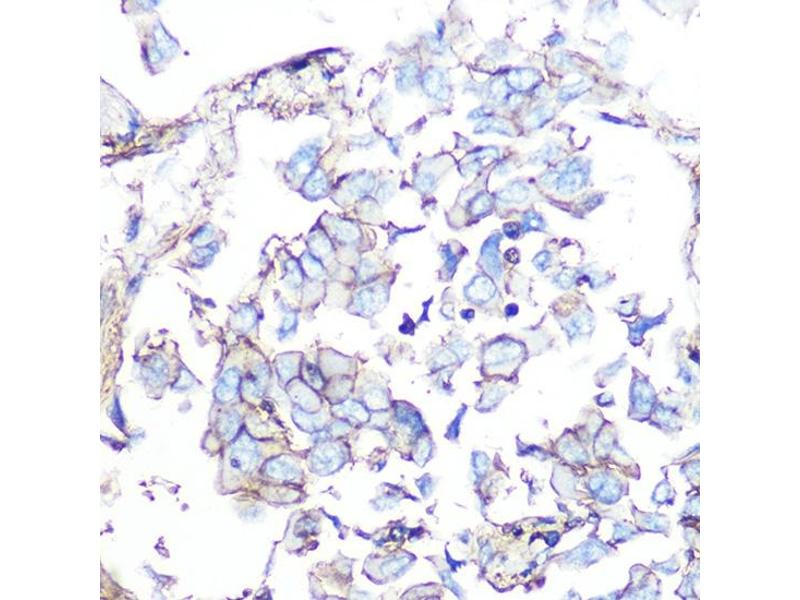
SSTR5 抗体

This 兔 单克隆 antibody specifically detects SSTR5 in WB, IHC 和 IHC (p). It exhibits reactivity toward 人.
产品编号 ABIN7270495
发货至: 中国
Contact our Customer Service for availability and price in your country. Contact Info

Our Local Distributor

中国
北京 101111
No. 88 KeChuang 6th Street
Beijing Economic Technological Development Area
Room 801-803
4A Biotech Co.,Ltd.
Tel +86 (0512) 65829739 传真 +86 (010) 6788 5057

Quick Overview for SSTR5 抗体 (ABIN7270495)

抗原

See all SSTR5 抗体
SSTR5 (Somatostatin Receptor 5 (SSTR5))

适用

  • 42
  • 21
  • 14
  • 1
  • 1
  • 1
  • 1
  • 1
  • 1
  • 1
  • 1

宿主

  • 41
  • 2

克隆类型

  • 30
  • 13
单克隆

标记

  • 22
  • 3
  • 2
  • 2
  • 2
  • 2
  • 2
  • 2
  • 1
  • 1
  • 1
  • 1
  • 1
  • 1
This SSTR5 antibody is un-conjugated

应用范围

  • 29
  • 13
  • 9
  • 4
  • 4
  • 1
  • 1
  • 1
Western Blotting (WB), Immunohistochemistry (IHC), Immunohistochemistry (Paraffin-embedded Sections) (IHC (p))
  • 原理

    SSTR5 Rabbit mAb

    序列

    MEPLFPAST PSWNASSPGAAS GGGDNRTLVGPAPSAGAR AVLVPVLYLLVCAAGLG GNTLVIYVVLRFAKM KTVTNIYILNLAVAD VLYMLGLPFLATQN

    交叉反应

    人, 小鼠, 大鼠

    产品特性

    Monoclonal Antibodies

    纯化方法

    Affinity purification

    免疫原

    A synthetic peptide corresponding to a sequence within amino acids 1-100 of human SSTR5 (P35346).

    亚型

    IgG
  • 应用备注

    WB,1:500 - 1:2000,IHC,1:50 - 1:200

    限制

    仅限研究用
  • 状态

    Liquid

    缓冲液

    PBS with 0.02 % sodium azide,0.05 % BSA,50 % glycerol, pH 7.3.

    储存液

    Sodium azide

    注意事项

    This product contains Sodium azide: a POISONOUS AND HAZARDOUS SUBSTANCE which should be handled by trained staff only.

    储存条件

    -20 °C

    储存方法

    Store at -20°C. Avoid freeze / thaw cycles.
  • 抗原

    SSTR5 (Somatostatin Receptor 5 (SSTR5))

    别名

    SSTR5

    背景

    Somatostatin and its related peptide cortistatin exert multiple biological actions on normal and tumoral tissue targets by interacting with somatostatin receptors (SSTRs). The protein encoded by this gene is one of the SSTRs, which is a multi-pass membrane protein and belongs to the G-protein coupled receptor 1 family. The activity of this receptor is mediated by G proteins which inhibit adenylyl cyclase, and different regions of this receptor molecule are required for the activation of different signaling pathways. A mutation in this gene results in somatostatin analog resistance. Alternatively spliced transcript variants have been identified in this gene.[provided by RefSeq, Feb 2010],SS-5-R,G protein signaling,G protein signaling_G-Protein-Coupled Receptors(GPCR),Neuroscience,Signal Transduction,SSTR5

    分子量

    42kDa

    基因ID

    6755

    UniProt

    P35346

    途径

    Carbohydrate Homeostasis
You are here: