电话:
+86 (0512) 65829739
传真:
+86 (010) 6788 5057
电子邮件:
orders@antibodies-online.cn

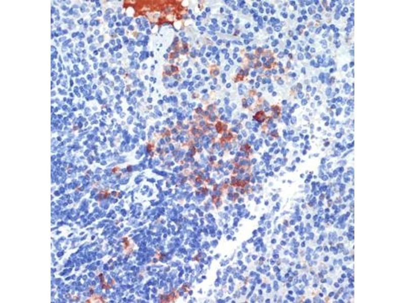
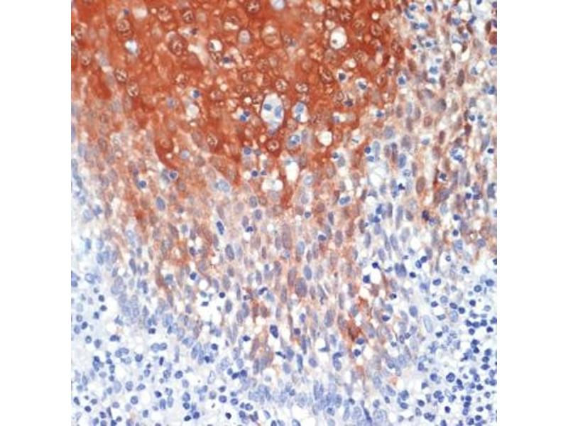
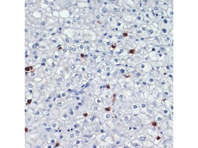
S100A8 抗体 (AA 1-93)

This 兔 多克隆 antibody specifically detects S100A8 in WB, IHC 和 IF. It exhibits reactivity toward 人.
产品编号 ABIN7270129
发货至: 中国
Contact our Customer Service for availability and price in your country. Contact Info

Our Local Distributor

中国
北京 101111
No. 88 KeChuang 6th Street
Beijing Economic Technological Development Area
Room 801-803
4A Biotech Co.,Ltd.
Tel +86 (0512) 65829739 传真 +86 (010) 6788 5057

Quick Overview for S100A8 抗体 (AA 1-93) (ABIN7270129)

抗原

See all S100A8 抗体
S100A8 (S100 Calcium Binding Protein A8 (S100A8))

适用

  • 110
  • 66
  • 38
  • 11
  • 8
  • 8
  • 6
  • 4
  • 4
  • 4
  • 2
  • 2
  • 2

宿主

  • 124
  • 34
  • 3
  • 3
  • 3

克隆类型

  • 120
  • 47
多克隆

标记

  • 71
  • 26
  • 23
  • 9
  • 2
  • 2
  • 2
  • 2
  • 2
  • 2
  • 2
  • 2
  • 2
  • 2
  • 2
  • 2
  • 2
  • 2
  • 2
  • 2
  • 2
  • 1
  • 1
  • 1
  • 1
This S100A8 antibody is un-conjugated

应用范围

  • 108
  • 66
  • 52
  • 31
  • 30
  • 26
  • 15
  • 13
  • 13
  • 11
  • 6
  • 6
  • 5
  • 5
  • 1
  • 1
  • 1
Western Blotting (WB), Immunohistochemistry (IHC), Immunofluorescence (IF)
  • 抗原表位

    • 23
    • 21
    • 19
    • 16
    • 3
    • 3
    • 2
    • 1
    • 1
    • 1
    • 1
    AA 1-93

    原理

    S100A8 Rabbit pAb

    序列

    MLTELEKALN SIIDVYHKYS LIKGNFHAVY RDDLKKLLET ECPQYIRKKG ADVWFKELDI NTDGAVNFQE FLILVIKMGV AAHKKSHEES HKE

    交叉反应

    人, 小鼠, 大鼠

    产品特性

    Polyclonal Antibodies

    纯化方法

    Affinity purification

    免疫原

    Recombinant fusion protein containing a sequence corresponding to amino acids 1-93 of human S100A8 (NP_002955.2).

    亚型

    IgG
  • 应用备注

    WB,1:500 - 1:2000,IHC,1:50 - 1:100,IF,1:50 - 1:100

    限制

    仅限研究用
  • 状态

    Liquid

    缓冲液

    PBS with 0.02 % sodium azide,50 % glycerol, pH 7.3.

    储存液

    Sodium azide

    注意事项

    This product contains Sodium azide: a POISONOUS AND HAZARDOUS SUBSTANCE which should be handled by trained staff only.

    储存条件

    -20 °C

    储存方法

    Store at -20°C. Avoid freeze / thaw cycles.
  • 抗原

    S100A8 (S100 Calcium Binding Protein A8 (S100A8))

    别名

    S100A8

    背景

    The protein encoded by this gene is a member of the S100 family of proteins containing 2 EF-hand calcium-binding motifs. S100 proteins are localized in the cytoplasm and/or nucleus of a wide range of cells, and involved in the regulation of a number of cellular processes such as cell cycle progression and differentiation. S100 genes include at least 13 members which are located as a cluster on chromosome 1q21. This protein may function in the inhibition of casein kinase and as a cytokine. Altered expression of this protein is associated with the disease cystic fibrosis. Multiple transcript variants encoding different isoforms have been found for this gene.,S100A8,60B8AG,CAGA,CFAG,CGLA,CP-10,L1Ag,MA387,MIF,MRP8,NIF,P8,Signal Transduction,Immunology & Inflammation,Cell Intrinsic Innate Immunity Signaling Pathway,Neuroscience,Cell Type Marker,Microglia marker,S100A8

    分子量

    10kDa

    基因ID

    6279

    UniProt

    P05109

    途径

    Transition Metal Ion Homeostasis, Positive Regulation of Endopeptidase Activity, S100 Proteins
You are here: