电话:
+86 (0512) 65829739
传真:
+86 (010) 6788 5057
电子邮件:
orders@antibodies-online.cn

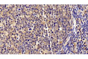
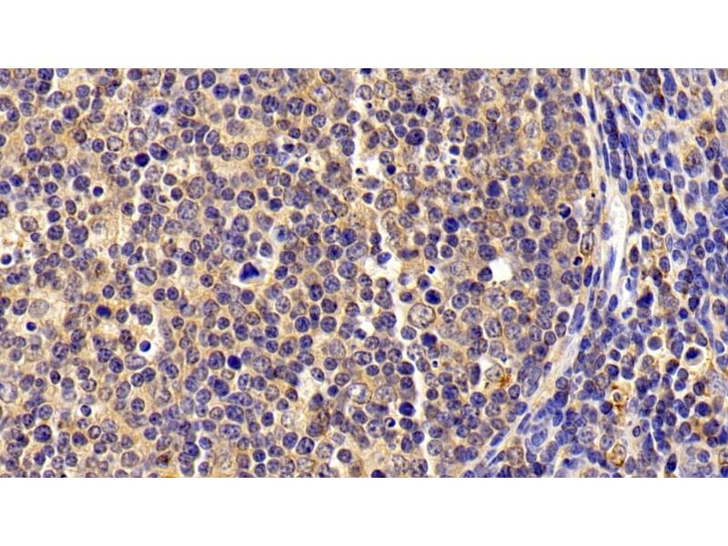
S100A8 抗体 (AA 1-89)

The 兔 多克隆 anti-S100A8 antibody is suitable to detect S100A8 in samples from Pig. It has been validated for WB, IHC, ICC 和 IP.
产品编号 ABIN7443995
发货至: 中国
Contact our Customer Service for availability and price in your country. Contact Info

Our Local Distributor

中国
北京 101111
No. 88 KeChuang 6th Street
Beijing Economic Technological Development Area
Room 801-803
4A Biotech Co.,Ltd.
Tel +86 (0512) 65829739 传真 +86 (010) 6788 5057

Quick Overview for S100A8 抗体 (AA 1-89) (ABIN7443995)

抗原

See all S100A8 抗体
S100A8 (S100 Calcium Binding Protein A8 (S100A8))

适用

  • 111
  • 66
  • 38
  • 11
  • 8
  • 7
  • 6
  • 4
  • 4
  • 4
  • 2
  • 2
  • 2
Pig

宿主

  • 124
  • 34
  • 3
  • 3
  • 3

克隆类型

  • 120
  • 47
多克隆

标记

  • 71
  • 26
  • 23
  • 9
  • 2
  • 2
  • 2
  • 2
  • 2
  • 2
  • 2
  • 2
  • 2
  • 2
  • 2
  • 2
  • 2
  • 2
  • 2
  • 2
  • 2
  • 1
  • 1
  • 1
  • 1
This S100A8 antibody is un-conjugated

应用范围

  • 108
  • 66
  • 52
  • 31
  • 29
  • 25
  • 16
  • 13
  • 13
  • 11
  • 6
  • 6
  • 5
  • 5
  • 1
  • 1
  • 1
Western Blotting (WB), Immunohistochemistry (IHC), Immunocytochemistry (ICC), Immunoprecipitation (IP)
  • 抗原表位

    • 24
    • 20
    • 19
    • 16
    • 3
    • 3
    • 2
    • 1
    • 1
    • 1
    • 1
    AA 1-89

    原理

    Polyclonal Antibody to S100 Calcium Binding Protein A8 (S100A8)

    特异性

    The antibody is a rabbit polyclonal antibody raised against S100A8. It has been selected for its ability to recognize S100A8 in immunohistochemical staining and western blotting.

    交叉反应

    纯化方法

    Antigen-specific affinity chromatography followed by Protein A affinity chromatography

    免疫原

    Recombinant S100 Calcium Binding Protein A8 (S100A8) corresdonding to Met1~Glu89 with N-terminal His Tag

    亚型

    IgG
  • 应用备注

    Western blotting: 0.01-2 μg/mL,Immunohistochemistry: 5-20 μg/mL,Immunocytochemistry: 5-20 μg/mL,Optimal working dilutions must be determined by end user.

    说明

    The thermal stability is described by the loss rate. The loss rate was determined by accelerated thermal degradation test, that is, incubate the protein at 37°C for 48h, and no obvious degradation and precipitation were observed. The loss rate is less than 5% within the expiration date under appropriate storage condition.

    限制

    仅限研究用
  • 状态

    Liquid

    浓度

    500 μg/mL

    缓冲液

    PBS, pH 7.4, containing 0.02 % Sodium azide, 50 % glycerol.

    储存液

    Sodium azide

    注意事项

    This product contains Sodium azide: a POISONOUS AND HAZARDOUS SUBSTANCE which should be handled by trained staff only.

    储存条件

    4 °C,-20 °C

    储存方法

    Store at 4°C for frequent use. Stored at -20°C in a manual defrost freezer for two year without detectable loss of activity. Avoid repeated freeze-thaw cycles.

    有效期

    24 months
  • 抗原

    S100A8 (S100 Calcium Binding Protein A8 (S100A8))

    别名

    S100A8

    背景

    MRP8, MIF, 60B8AG, CAGA, CFAG, CGLA, CP-10, L1Ag, NIF, P8, Calgranulin A, Cystic fibrosis antigen, Leukocyte L1 complex light chain, Migration inhibitory factor-related protein 8

    UniProt

    C3S7K5

    途径

    Transition Metal Ion Homeostasis, Positive Regulation of Endopeptidase Activity, S100 Proteins
You are here: