SHP1 抗体
Our Local Distributor
北京 101111
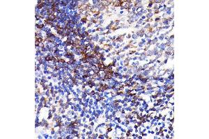
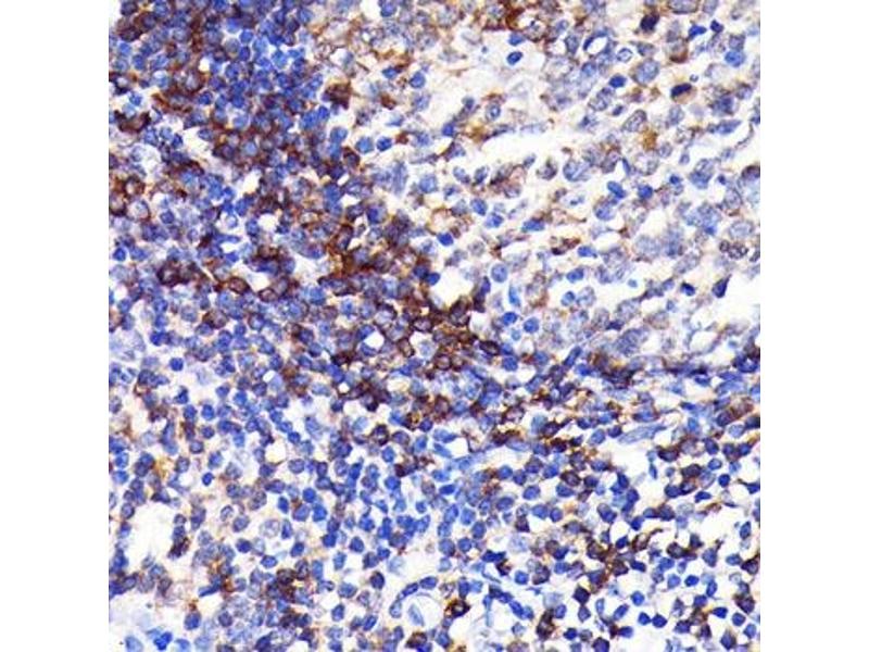
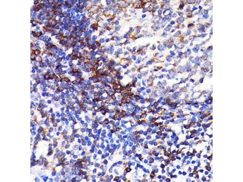
Quick Overview for SHP1 抗体 (ABIN7269716)
抗原
See all SHP1 (PTPN6) 抗体适用
宿主
克隆类型
标记
应用范围
-
-
原理
- SHP1 Rabbit mAb
-
交叉反应
- 人, 小鼠, 大鼠
-
产品特性
- Monoclonal Antibodies
-
纯化方法
- Affinity purification
-
免疫原
- A synthesized peptide derived from human SHP1
-
亚型
- IgG
-
-
-
-
应用备注
- WB,1:500 - 1:2000,IHC,1:50 - 1:200,IF,1:50 - 1:200
-
限制
- 仅限研究用
-
-
-
状态
- Liquid
-
缓冲液
- PBS with 0.02 % sodium azide,0.05 % BSA,50 % glycerol, pH 7.3.
-
储存液
- Sodium azide
-
注意事项
- This product contains Sodium azide: a POISONOUS AND HAZARDOUS SUBSTANCE which should be handled by trained staff only.
-
储存条件
- -20 °C
-
储存方法
- Store at -20°C. Avoid freeze / thaw cycles.
-
-
- SHP1 (PTPN6) (Protein-tyrosine Phosphatase 1C (PTPN6))
-
别名
- PTPN6
-
背景
- The protein encoded by this gene is a member of the protein tyrosine phosphatase (PTP) family. PTPs are known to be signaling molecules that regulate a variety of cellular processes including cell growth, differentiation, mitotic cycle, and oncogenic transformation. N-terminal part of this PTP contains two tandem Src homolog (SH2) domains, which act as protein phospho-tyrosine binding domains, and mediate the interaction of this PTP with its substrates. This PTP is expressed primarily in hematopoietic cells, and functions as an important regulator of multiple signaling pathways in hematopoietic cells. This PTP has been shown to interact with, and dephosphorylate a wide spectrum of phospho-proteins involved in hematopoietic cell signaling. Multiple alternatively spliced variants of this gene, which encode distinct isoforms, have been reported. [provided by RefSeq, Jul 2008],HCP,HCPH,HPTP1C,PTP-1C,SH-PTP1,SHP-1,SHP-1L,SHP1,CTCN6,PTPN6,Apoptosis,B Cell Receptor Signaling Pathway,Cancer,Cell Biology & Developmental Biology,Cell Cycle,G protein signaling,G protein signaling_G-Protein-Coupled Receptors(GPCR),IL-6 Receptor Signaling Pathway,Immunology & Inflammation,Kinase,Kinase_Tyrosine kinases,Protein phosphorylation,Signal Transduction,PTPN6
-
分子量
- 68kDa
-
基因ID
- 5777
-
UniProt
- P29350
-
途径
- JAK/STAT Signaling, TCR Signaling, TLR signaling, Nuclear Receptor Transcription Pathway, Positive Regulation of Peptide Hormone Secretion, Steroid Hormone Mediated Signaling Pathway, Response to Growth Hormone Stimulus, Regulation of Leukocyte Mediated Immunity, CXCR4-mediated Signaling Events, Signaling Events mediated by VEGFR1 and VEGFR2, BCR Signaling
抗原
-