电话:
+86 (0512) 65829739
传真:
+86 (010) 6788 5057
电子邮件:
orders@antibodies-online.cn

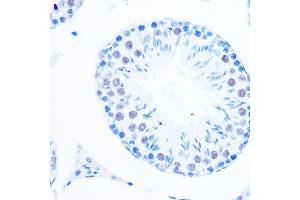
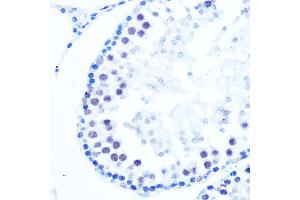
POLB 抗体

The 兔 单克隆 anti-POLB antibody (ABIN7269456) specifically detects POLB in WB 和 IHC. The antibody is reactive with 人 samples.
产品编号 ABIN7269456
发货至: 中国
Contact our Customer Service for availability and price in your country. Contact Info

Our Local Distributor

中国
北京 101111
No. 88 KeChuang 6th Street
Beijing Economic Technological Development Area
Room 801-803
4A Biotech Co.,Ltd.
Tel +86 (0512) 65829739 传真 +86 (010) 6788 5057

Quick Overview for POLB 抗体 (ABIN7269456)

抗原

See all POLB 抗体
POLB (Polymerase (DNA Directed), beta (POLB))

适用

  • 55
  • 53
  • 37
  • 9
  • 2
  • 2
  • 2
  • 2
  • 2
  • 2
  • 2
  • 1
  • 1
  • 1

宿主

  • 67
  • 3

克隆类型

  • 50
  • 19
单克隆

标记

  • 29
  • 5
  • 3
  • 3
  • 3
  • 3
  • 3
  • 3
  • 3
  • 2
  • 1
  • 1
  • 1
  • 1
  • 1
  • 1
  • 1
  • 1
  • 1
  • 1
  • 1
  • 1
  • 1
This POLB antibody is un-conjugated

应用范围

  • 47
  • 28
  • 19
  • 15
  • 14
  • 13
  • 12
  • 12
  • 6
  • 3
  • 1
Western Blotting (WB), Immunohistochemistry (IHC)
  • 原理

    DNA Polymerase beta Rabbit mAb

    交叉反应

    人, 小鼠, 大鼠

    产品特性

    Monoclonal Antibodies

    纯化方法

    Affinity purification

    免疫原

    A synthesized peptide derived from human DNA Polymerase beta

    亚型

    IgG
  • 应用备注

    WB,1:500 - 1:2000, IHC,1:50 - 1:200

    限制

    仅限研究用
  • 状态

    Liquid

    缓冲液

    PBS with 0.02 % sodium azide,0.05 % BSA,50 % glycerol, pH 7.3.

    储存液

    Sodium azide

    注意事项

    This product contains Sodium azide: a POISONOUS AND HAZARDOUS SUBSTANCE which should be handled by trained staff only.

    储存条件

    -20 °C

    储存方法

    Store at -20°C. Avoid freeze / thaw cycles.
  • 抗原

    POLB (Polymerase (DNA Directed), beta (POLB))

    别名

    POLB

    背景

    The protein encoded by this gene is a DNA polymerase involved in base excision and repair, also called gap-filling DNA synthesis. The encoded protein, acting as a monomer, is normally found in the cytoplasm, but it translocates to the nucleus upon DNA damage. Several transcript variants of this gene exist, but the full-length nature of only one has been described to date. [provided by RefSeq, Sep 2011],POLB, DNA polymerase beta,Apoptosis,Cell Biology & Developmental Biology,DNA Damage & Repair,Epigenetics & Nuclear Signaling,POLB

    分子量

    38kDa

    基因ID

    5423

    UniProt

    P06746

    途径

    DNA Damage Repair
You are here: