MCM5 抗体
Our Local Distributor
北京 101111
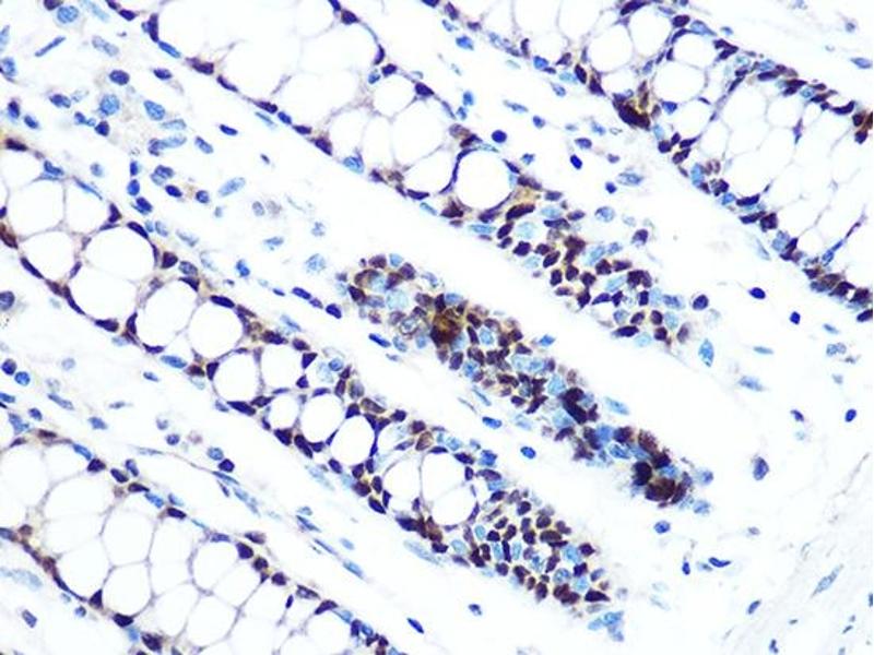
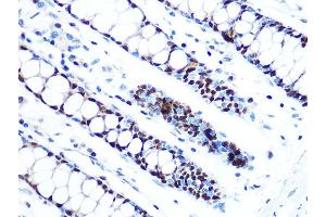
Quick Overview for MCM5 抗体 (ABIN7268543)
抗原
See all MCM5 抗体适用
宿主
克隆类型
标记
应用范围
-
-
原理
- MCM5 Rabbit mAb
-
交叉反应
- 人, 小鼠, 大鼠
-
产品特性
- Monoclonal Antibodies
-
纯化方法
- Affinity purification
-
免疫原
- A synthesized peptide derived from human MCM5
-
亚型
- IgG
-
-
-
-
应用备注
- WB,1:500 - 1:2000,IHC,1:50 - 1:200,IP,1:50 - 1:200
-
限制
- 仅限研究用
-
-
-
状态
- Liquid
-
缓冲液
- PBS with 0.02 % sodium azide,0.05 % BSA,50 % glycerol, pH 7.3.
-
储存液
- Sodium azide
-
注意事项
- This product contains Sodium azide: a POISONOUS AND HAZARDOUS SUBSTANCE which should be handled by trained staff only.
-
储存条件
- -20 °C
-
储存方法
- Store at -20°C. Avoid freeze / thaw cycles.
-
-
- MCM5 (Minichromosome Maintenance Complex Component 5 (MCM5))
-
别名
- MCM5
-
背景
- The protein encoded by this gene is structurally very similar to the CDC46 protein from S. cerevisiae, a protein involved in the initiation of DNA replication. The encoded protein is a member of the MCM family of chromatin-binding proteins and can interact with at least two other members of this family. The encoded protein is upregulated in the transition from the G0 to G1/S phase of the cell cycle and may actively participate in cell cycle regulation. [provided by RefSeq, Jul 2008],CDC46, P1-CDC46,Cell Biology & Developmental Biology,Cell Cycle,Cell Cycle_Centrosome,Epigenetics & Nuclear Signaling,MCM5
-
分子量
- 82kDa
-
基因ID
- 4174
-
UniProt
- P33992
-
途径
- DNA Damage Repair, Mitotic G1-G1/S Phases, DNA Replication, Chromatin Binding, Synthesis of DNA
抗原
-