电话:
+86 (0512) 65829739
传真:
+86 (010) 6788 5057
电子邮件:
orders@antibodies-online.cn

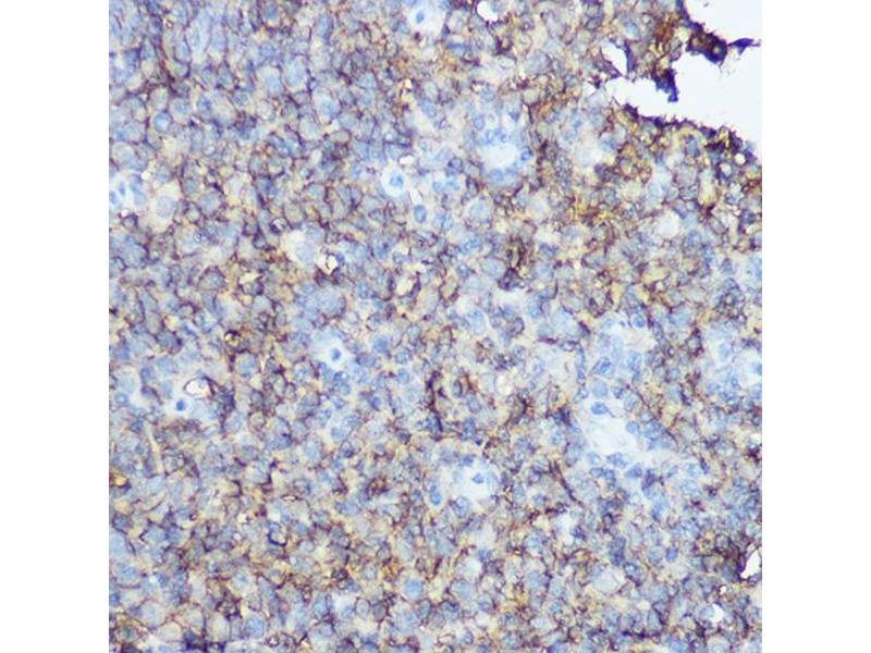
CD20 抗体 (AA 208-297)

This 兔 多克隆 antibody specifically detects CD20 in WB, IHC 和 IF. It exhibits reactivity toward 人.
产品编号 ABIN7268473
发货至: 中国
Contact our Customer Service for availability and price in your country. Contact Info

Our Local Distributor

中国
北京 101111
No. 88 KeChuang 6th Street
Beijing Economic Technological Development Area
Room 801-803
4A Biotech Co.,Ltd.
Tel +86 (0512) 65829739 传真 +86 (010) 6788 5057

Quick Overview for CD20 抗体 (AA 208-297) (ABIN7268473)

抗原

See all CD20 (MS4A1) 抗体
CD20 (MS4A1) (Membrane-Spanning 4-Domains, Subfamily A, Member 1 (MS4A1))

适用

  • 410
  • 74
  • 29
  • 27
  • 20
  • 19
  • 16
  • 6
  • 6
  • 4
  • 3
  • 2
  • 1
  • 1

宿主

  • 261
  • 134
  • 54
  • 5
  • 2
  • 1
  • 1

克隆类型

  • 354
  • 92
  • 9
多克隆

标记

  • 182
  • 27
  • 24
  • 24
  • 23
  • 16
  • 10
  • 10
  • 10
  • 10
  • 10
  • 10
  • 10
  • 5
  • 4
  • 4
  • 4
  • 3
  • 3
  • 3
  • 2
  • 2
  • 2
  • 2
  • 2
  • 2
  • 2
  • 2
  • 2
  • 2
  • 2
  • 2
  • 2
  • 2
  • 2
  • 2
  • 2
  • 2
  • 2
  • 2
  • 2
  • 2
  • 1
  • 1
  • 1
  • 1
  • 1
  • 1
  • 1
  • 1
  • 1
This CD20 antibody is un-conjugated

应用范围

  • 274
  • 134
  • 108
  • 104
  • 57
  • 37
  • 37
  • 32
  • 20
  • 16
  • 14
  • 13
  • 13
  • 11
  • 9
  • 6
  • 5
  • 5
  • 2
  • 2
  • 2
  • 2
  • 2
  • 1
  • 1
  • 1
  • 1
  • 1
  • 1
  • 1
Western Blotting (WB), Immunohistochemistry (IHC), Immunofluorescence (IF)
  • 抗原表位

    • 22
    • 16
    • 16
    • 15
    • 8
    • 7
    • 6
    • 3
    • 3
    • 2
    • 2
    • 2
    • 2
    • 1
    • 1
    • 1
    • 1
    • 1
    • 1
    • 1
    • 1
    • 1
    • 1
    • 1
    AA 208-297

    原理

    CD20 Rabbit pAb

    序列

    IAGIVENEWK RTCSRPKSNI VLLSAEEKKE QTIEIKEEVV GLTETSSQPK NEEDIEIIPI QEEEEEETET NFPEPPQDQE SSPIENDSSP

    交叉反应

    人, 小鼠

    产品特性

    Polyclonal Antibodies

    纯化方法

    Affinity purification

    免疫原

    Recombinant fusion protein containing a sequence corresponding to amino acids 208-297 of human CD20 (NP_068769.2).

    亚型

    IgG
  • 应用备注

    WB,1:500 - 1:2000,IF,1:50 - 1:200

    限制

    仅限研究用
  • 状态

    Liquid

    缓冲液

    PBS with 0.02 % sodium azide,50 % glycerol, pH 7.3.

    储存液

    Sodium azide

    注意事项

    This product contains Sodium azide: a POISONOUS AND HAZARDOUS SUBSTANCE which should be handled by trained staff only.

    储存条件

    -20 °C

    储存方法

    Store at -20°C. Avoid freeze / thaw cycles.
  • 抗原

    CD20 (MS4A1) (Membrane-Spanning 4-Domains, Subfamily A, Member 1 (MS4A1))

    别名

    MS4A1

    背景

    This gene encodes a member of the membrane-spanning 4A gene family. Members of this nascent protein family are characterized by common structural features and similar intron/exon splice boundaries and display unique expression patterns among hematopoietic cells and nonlymphoid tissues. This gene encodes a B-lymphocyte surface molecule which plays a role in the development and differentiation of B-cells into plasma cells. This family member is localized to 11q12, among a cluster of family members. Alternative splicing of this gene results in two transcript variants which encode the same protein.,MS4A1,B1,Bp35,CD20,CVID5,LEU-16,MS4A2,S7,Cancer,Tumor immunology,Tumor-associated antigens,Immunology & Inflammation,CD markers,Stem Cells,Hematopoietic Progenitors,MS4A1

    分子量

    14kDa/33kDa

    基因ID

    931

    UniProt

    P11836
You are here: