MZB1 抗体 (AA 1-189)
Our Local Distributor
北京 101111
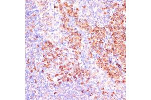
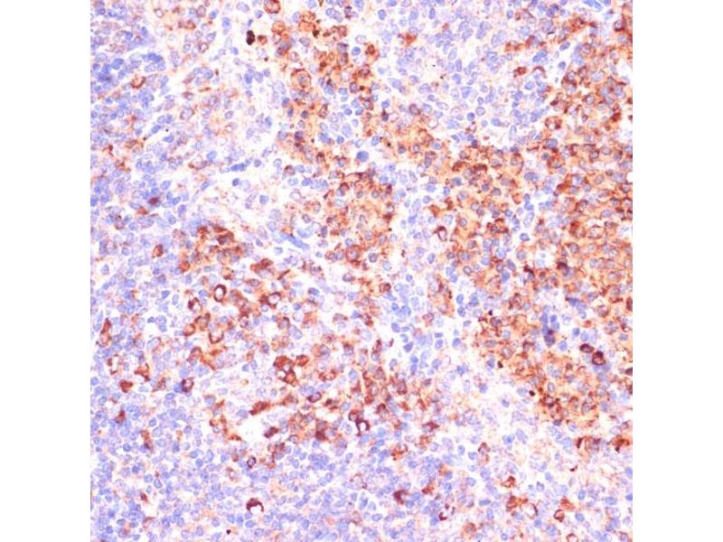
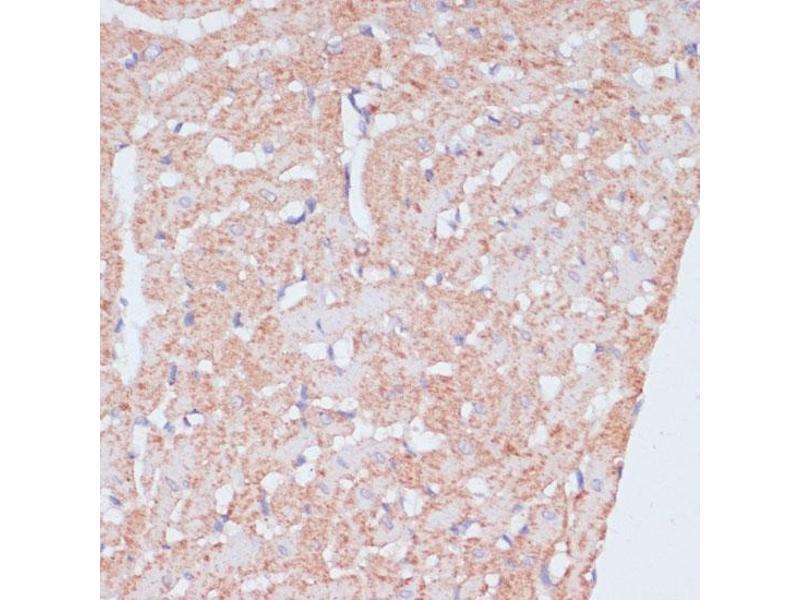
Quick Overview for MZB1 抗体 (AA 1-189) (ABIN7268403)
抗原
See all MZB1 抗体适用
宿主
克隆类型
标记
应用范围
-
-
抗原表位
- AA 1-189
-
原理
- MZB1 Rabbit pAb
-
序列
- MRLSLPLLLL LLGAWAIPGG LGDRAPLTAT APQLDDEEMY SAHMPAHLRC DACRAVAYQM WQNLAKAETK LHTSNSGGRR ELSELVYTDV LDRSCSRNWQ DYGVREVDQV KRLTGPGLSE GPEPSISVMV TGGPWPTRLS RTCLHYLGEF GEDQIYEAHQ QGRGALEALL CGGPQGACSE KVSATREEL
-
交叉反应
- 人, 小鼠, 大鼠
-
产品特性
- Polyclonal Antibodies
-
纯化方法
- Affinity purification
-
免疫原
- Recombinant fusion protein containing a sequence corresponding to amino acids 1-189 of human MZB1 (NP_057543.2).
-
亚型
- IgG
-
-
-
-
应用备注
- WB,1:500 - 1:2000,IHC,1:50 - 1:100,IF,1:50 - 1:100
-
限制
- 仅限研究用
-
-
-
状态
- Liquid
-
缓冲液
- PBS with 0.02 % sodium azide,50 % glycerol, pH 7.3.
-
储存液
- Sodium azide
-
注意事项
- This product contains Sodium azide: a POISONOUS AND HAZARDOUS SUBSTANCE which should be handled by trained staff only.
-
储存条件
- -20 °C
-
储存方法
- Store at -20°C. Avoid freeze / thaw cycles.
-
-
- MZB1 (Marginal Zone B and B1 Cell-Specific Protein (MZB1))
-
别名
- MZB1
-
背景
- Associates with immunoglobulin M (IgM heavy and light chains and promotes IgM assembly and secretion. May exert its effect by acting as a molecular chaperone or as an oxidoreductase as it displays a low level of oxidoreductase activity (By similarity. Isoform 2 may be involved in regulation of apoptosis. Helps to diversify peripheral B-cell functions by regulating Ca(2+ stores, antibody secretion and integrin activation.,MZB1,MEDA-7,PACAP,pERp1,Cell Biology & Developmental Biology,Apoptosis,Caspases,MZB1
-
分子量
- 6kDa/8kDa/10kDa/13kDa/20kDa
-
基因ID
- 51237
-
UniProt
- Q8WU39
-
途径
- Production of Molecular Mediator of Immune Response
抗原
-