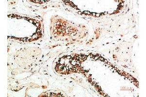
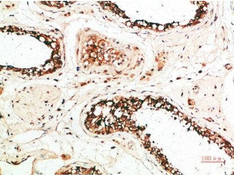
MZB1 抗体
Our Local Distributor
北京 101111
Quick Overview for MZB1 抗体 (ABIN7189404)
抗原
See all MZB1 抗体适用
宿主
克隆类型
标记
应用范围
-
-
原理
- MZB1 Antibody
-
纯化方法
- The antibody was affinity-purified from rabbit serum by affinity-chromatography using specific immunogen.
-
免疫原
- Synthetic peptide from Human protein at AA range: 1-50
-
亚型
- IgG
-
-
-
-
应用备注
- Optimal working dilution should be determined by the investigator.
-
限制
- 仅限研究用
-
-
-
状态
- Liquid
-
缓冲液
- PBS, pH 7.4, containing 0.02 % sodium azide as Preservative and 50 % Glycerol.
-
储存液
- Sodium azide
-
注意事项
- This product contains Sodium azide: a POISONOUS AND HAZARDOUS SUBSTANCE which should be handled by trained staff only.
-
储存条件
- -20 °C,-80 °C
-
储存方法
- Upon receipt, store at -20°C or -80°C. Avoid repeated freeze.
-
-
- MZB1 (Marginal Zone B and B1 Cell-Specific Protein (MZB1))
-
别名
- MZB1
-
背景
- MZB1 antibody, Caspase 2 binding protein antibody, FLJ32987 antibody, HSPC190 antibody, Marginal zone B and B1 cell specific protein antibody, Marginal zone B- and B1-cell-specific protein antibody, MEDA 7 antibody, MEDA-7 antibody, Mesenteric estrogen dependent adipose 7 antibody, Mesenteric estrogen-dependent adipose 7 antibody, Mesenteric oestrogen dependent adipose gene 7 antibody, MGC29506 antibody, Mzb1 antibody, MZB1_HUMAN antibody, PACAP antibody, pERp1 antibody, Plasma cell-induced ER protein 1 antibody, Plasma cell-induced resident endoplasmic reticulum protein antibody, Plasma cell-induced resident ER protein antibody, Proapoptotic caspase adapter protein antibody
-
UniProt
- Q8WU39
-
途径
- Production of Molecular Mediator of Immune Response
抗原
-