电话:
+86 (0512) 65829739
传真:
+86 (010) 6788 5057
电子邮件:
orders@antibodies-online.cn

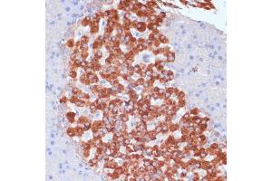
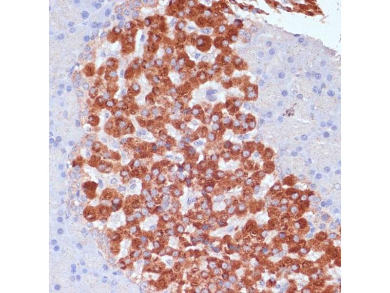
KANK2 抗体 (AA 1-300)

The 兔 多克隆 anti-KANK2 antibody is suitable to detect KANK2 in samples from 人. It has been validated for WB, IHC 和 IF.
产品编号 ABIN7268147
发货至: 中国
Contact our Customer Service for availability and price in your country. Contact Info

Our Local Distributor

中国
北京 101111
No. 88 KeChuang 6th Street
Beijing Economic Technological Development Area
Room 801-803
4A Biotech Co.,Ltd.
Tel +86 (0512) 65829739 传真 +86 (010) 6788 5057

Quick Overview for KANK2 抗体 (AA 1-300) (ABIN7268147)

抗原

KANK2 (KN Motif and Ankyrin Repeat Domains 2 (KANK2))

适用

  • 33
  • 5
  • 4
  • 3
  • 2
  • 2
  • 2
  • 1
  • 1

宿主

  • 33

克隆类型

  • 33
多克隆

标记

  • 19
  • 2
  • 2
  • 2
  • 1
  • 1
  • 1
  • 1
  • 1
  • 1
  • 1
  • 1
This KANK2 antibody is un-conjugated

应用范围

  • 17
  • 13
  • 5
  • 5
  • 4
  • 3
  • 1
  • 1
Western Blotting (WB), Immunohistochemistry (IHC), Immunofluorescence (IF)
  • 抗原表位

    • 7
    • 4
    • 3
    • 2
    • 2
    • 2
    • 2
    • 1
    • 1
    • 1
    • 1
    • 1
    • 1
    • 1
    AA 1-300

    原理

    KANK2 Rabbit pAb

    序列

    MAQVLHVPAP FPGTPGPASP PAFPAKDPDP PYSVETPYGY RLDLDFLKYV DDIEKGHTLR RVAVQRRPRL SSLPRGPGSW WTSTESLCSN ASGDSRHSAY SYCGRGFYPQ YGALETRGGF NPRVERTLLD ARRRLEDQAA TPTGLGSLTP SAAGSTASLV GVGLPPPTPR SSGLSTPVPP SAGHLAHVRE QMAGALRKLR QLEEQVKLIP VLQVKLSVLQ EEKRQLTVQL KSQKFLGHPT AGRGRSELCL DLPDPPEDPV ALETRSVGTW VRERDLGMPD GEAALAAKVA VLETQLKKAL

    交叉反应

    人, 小鼠, 大鼠

    产品特性

    Polyclonal Antibodies

    纯化方法

    Affinity purification

    免疫原

    Recombinant fusion protein containing a sequence corresponding to amino acids 1-300 of human KANK2 (NP_001129663.1).

    亚型

    IgG
  • 应用备注

    WB,1:200 - 1:2000,IHC,1:50 - 1:200,IF,1:50 - 1:200

    限制

    仅限研究用
  • 状态

    Liquid

    缓冲液

    PBS with 0.02 % sodium azide,50 % glycerol, pH 7.3.

    储存液

    Sodium azide

    注意事项

    This product contains Sodium azide: a POISONOUS AND HAZARDOUS SUBSTANCE which should be handled by trained staff only.

    储存条件

    -20 °C

    储存方法

    Store at -20°C. Avoid freeze / thaw cycles.
  • 抗原

    KANK2 (KN Motif and Ankyrin Repeat Domains 2 (KANK2))

    别名

    KANK2

    背景

    This gene encodes a member of the KN motif and ankyrin repeat domains (KANK) family of proteins, which play a role in cytoskeletal formation by regulating actin polymerization. The encoded protein functions in the sequestration of steroid receptor coactivators and possibly other proteins. Mutations in this gene are associated with impaired kidney podocyte function and nephrotic syndrome, and keratoderma and woolly hair.,KANK2,ANKRD25,MXRA3,PPKWH,SIP,KANK2

    分子量

    90kDa/91kDa

    基因ID

    25959

    UniProt

    Q63ZY3
You are here: