IDH2 抗体
Our Local Distributor
北京 101111
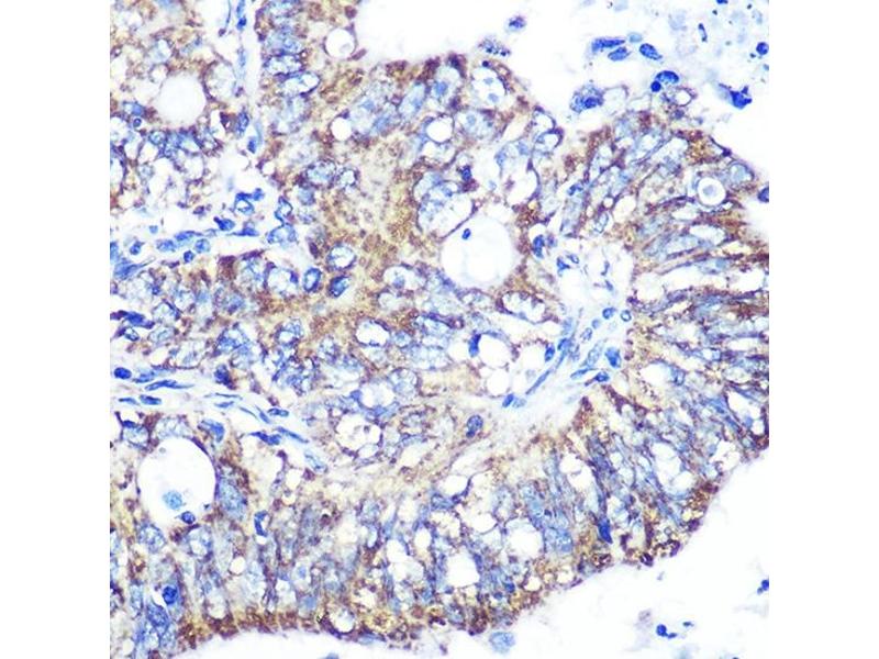
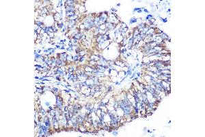
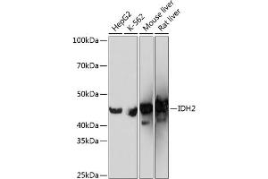
Quick Overview for IDH2 抗体 (ABIN7268028)
抗原
See all IDH2 抗体适用
宿主
克隆类型
标记
应用范围
-
-
原理
- IDH2 Rabbit mAb
-
交叉反应
- 人, 小鼠, 大鼠
-
产品特性
- Monoclonal Antibodies
-
纯化方法
- Affinity purification
-
免疫原
- A synthesized peptide derived from human IDH2
-
亚型
- IgG
-
-
-
-
应用备注
- WB,1:500 - 1:2000,IHC,1:50 - 1:200,IF,1:50 - 1:200
-
限制
- 仅限研究用
-
-
-
状态
- Liquid
-
缓冲液
- PBS with 0.02 % sodium azide,0.05 % BSA,50 % glycerol, pH 7.3.
-
储存液
- Sodium azide
-
注意事项
- This product contains Sodium azide: a POISONOUS AND HAZARDOUS SUBSTANCE which should be handled by trained staff only.
-
储存条件
- -20 °C
-
储存方法
- Store at -20°C. Avoid freeze / thaw cycles.
-
-
- IDH2 (Isocitrate Dehydrogenase 2 (NADP+), Mitochondrial (IDH2))
-
别名
- IDH2
-
背景
- Isocitrate dehydrogenases catalyze the oxidative decarboxylation of isocitrate to 2-oxoglutarate. These enzymes belong to two distinct subclasses, one of which utilizes NAD(+) as the electron acceptor and the other NADP(+). Five isocitrate dehydrogenases have been reported: three NAD(+)-dependent isocitrate dehydrogenases, which localize to the mitochondrial matrix, and two NADP(+)-dependent isocitrate dehydrogenases, one of which is mitochondrial and the other predominantly cytosolic. Each NADP(+)-dependent isozyme is a homodimer. The protein encoded by this gene is the NADP(+)-dependent isocitrate dehydrogenase found in the mitochondria. It plays a role in intermediary metabolism and energy production. This protein may tightly associate or interact with the pyruvate dehydrogenase complex. Alternative splicing results in multiple transcript variants. [provided by RefSeq, Feb 2014],D2HGA2, ICD-M, IDH, IDHM, IDP, IDPM, mNADP-IDH,Cancer,Endocrine & Metabolism,Epigenetics & Nuclear Signaling,Mitochondrial metabolism,Mitochondrial metabolism_Mitochondrial markers,Signal Transduction,IDH2
-
分子量
- 45kDa
-
基因ID
- 3418
-
UniProt
- P48735
-
途径
- Warburg Effect
抗原
-