电话:
+86 (0512) 65829739
传真:
+86 (010) 6788 5057
电子邮件:
orders@antibodies-online.cn

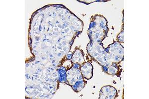
ITGA5 抗体

This 兔 单克隆 antibody specifically detects ITGA5 in WB, IHC 和 IP. It exhibits reactivity toward 人.
产品编号 ABIN7267936
发货至: 中国
Contact our Customer Service for availability and price in your country. Contact Info

Our Local Distributor

中国
北京 101111
No. 88 KeChuang 6th Street
Beijing Economic Technological Development Area
Room 801-803
4A Biotech Co.,Ltd.
Tel +86 (0512) 65829739 传真 +86 (010) 6788 5057

Quick Overview for ITGA5 抗体 (ABIN7267936)

抗原

See all ITGA5 抗体
ITGA5 (Integrin, alpha 5 (ITGA5))

适用

  • 125
  • 85
  • 35
  • 2
  • 2
  • 2
  • 1

宿主

  • 103
  • 19
  • 12
  • 7
  • 4

克隆类型

  • 80
  • 66
单克隆

标记

  • 72
  • 13
  • 11
  • 10
  • 5
  • 3
  • 3
  • 3
  • 3
  • 3
  • 3
  • 3
  • 1
  • 1
  • 1
  • 1
  • 1
  • 1
  • 1
  • 1
  • 1
  • 1
  • 1
  • 1
  • 1
  • 1
This ITGA5 antibody is un-conjugated

应用范围

  • 90
  • 54
  • 45
  • 44
  • 25
  • 20
  • 20
  • 15
  • 14
  • 13
  • 10
  • 3
  • 1
  • 1
  • 1
Western Blotting (WB), Immunohistochemistry (IHC), Immunoprecipitation (IP)
  • 原理

    Integrin alpha 5 (ITGA5/CD49e) Rabbit mAb

    交叉反应

    人, 小鼠, 大鼠

    产品特性

    Monoclonal Antibodies

    纯化方法

    Affinity purification

    免疫原

    A synthesized peptide derived from human Integrin alpha 5 (ITGA5/CD49e) (ITGA5/CD49e)

    亚型

    IgG
  • 应用备注

    WB,1:500 - 1:2000,IHC,1:50 - 1:200,IP,1:50 - 1:200

    限制

    仅限研究用
  • 状态

    Liquid

    缓冲液

    PBS with 0.02 % sodium azide,0.05 % BSA,50 % glycerol, pH 7.3.

    储存液

    Sodium azide

    注意事项

    This product contains Sodium azide: a POISONOUS AND HAZARDOUS SUBSTANCE which should be handled by trained staff only.

    储存条件

    -20 °C

    储存方法

    Store at -20°C. Avoid freeze / thaw cycles.
  • 抗原

    ITGA5 (Integrin, alpha 5 (ITGA5))

    别名

    ITGA5

    背景

    The product of this gene belongs to the integrin alpha chain family. Integrins are heterodimeric integral membrane proteins composed of an alpha subunit and a beta subunit that function in cell surface adhesion and signaling. The encoded preproprotein is proteolytically processed to generate light and heavy chains that comprise the alpha 5 subunit. This subunit associates with the beta 1 subunit to form a fibronectin receptor. This integrin may promote tumor invasion, and higher expression of this gene may be correlated with shorter survival time in lung cancer patients. Note that the integrin alpha 5 and integrin alpha V subunits are encoded by distinct genes. [provided by RefSeq, Oct 2015],CD49e,FNRA,VLA-5,VLA5A,Integrin alpha 5,ITGA5,CDs,Cell Adhesion,Cell Biology & Developmental Biology,Cytoskeleton,Endothelial Progenitors,G protein signaling,G protein signaling_G-Protein-Coupled Receptors Signaling to MAPK/Erk,Hematopoietic Progenitors,Immunology & Inflammation,MAPK-Erk Signaling Pathway,PI3K-Akt Signaling Pathway,Signal Transduction,Stem Cells,ITGA5

    分子量

    150kDa

    基因ID

    3678

    UniProt

    P08648

    途径

    Integrin Complex
You are here: