电话:
+86 (0512) 65829739
传真:
+86 (010) 6788 5057
电子邮件:
orders@antibodies-online.cn

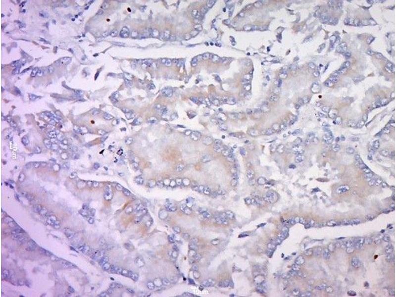
ITGA5 抗体 (AA 1021-1099)

Cited in 3+ publications. The 兔 多克隆 anti-ITGA5 antibody (ABIN670221) specifically detects ITGA5 in WB, ELISA, IHC (fro), IHC (p), IF (p) 和 IF (cc). The antibody is reactive with 人 和 小鼠 samples.
产品编号 ABIN670221
发货至: 中国
Contact our Customer Service for availability and price in your country. Contact Info

Our Local Distributor

中国
北京 101111
No. 88 KeChuang 6th Street
Beijing Economic Technological Development Area
Room 801-803
4A Biotech Co.,Ltd.
Tel +86 (0512) 65829739 传真 +86 (010) 6788 5057

Quick Overview for ITGA5 抗体 (AA 1021-1099) (ABIN670221)

抗原

See all ITGA5 抗体
ITGA5 (Integrin, alpha 5 (ITGA5))

适用

  • 125
  • 84
  • 35
  • 2
  • 2
  • 2
  • 1
人, 小鼠

宿主

  • 103
  • 19
  • 12
  • 7
  • 4

克隆类型

  • 79
  • 67
多克隆

标记

  • 72
  • 13
  • 11
  • 10
  • 5
  • 3
  • 3
  • 3
  • 3
  • 3
  • 3
  • 3
  • 1
  • 1
  • 1
  • 1
  • 1
  • 1
  • 1
  • 1
  • 1
  • 1
  • 1
  • 1
  • 1
  • 1
This ITGA5 antibody is un-conjugated

应用范围

  • 90
  • 54
  • 46
  • 44
  • 26
  • 21
  • 20
  • 14
  • 13
  • 12
  • 8
  • 3
  • 1
  • 1
  • 1
Western Blotting (WB), ELISA, Immunohistochemistry (Frozen Sections) (IHC (fro)), Immunohistochemistry (Paraffin-embedded Sections) (IHC (p)), Immunofluorescence (Paraffin-embedded Sections) (IF (p)), Immunofluorescence (Cultured Cells) (IF (cc))
  • 抗原表位

    • 14
    • 8
    • 8
    • 6
    • 6
    • 4
    • 4
    • 3
    • 3
    • 2
    • 2
    • 2
    • 2
    • 1
    • 1
    • 1
    • 1
    • 1
    • 1
    • 1
    • 1
    • 1
    • 1
    • 1
    • 1
    • 1
    • 1
    • 1
    • 1
    • 1
    • 1
    • 1
    • 1
    AA 1021-1099

    交叉反应

    人, 小鼠

    预测反应

    Rat,Cow,Pig,Horse

    纯化方法

    Purified by Protein A.

    免疫原

    KLH conjugated synthetic peptide derived from human ITGA5

    亚型

    IgG
  • 应用备注

    WB 1:300-5000
    ELISA 1:500-1000
    IHC-P 1:200-400
    IHC-F 1:100-500
    IF(IHC-P) 1:50-200
    IF(IHC-F) 1:50-200
    IF(ICC) 1:50-200

    限制

    仅限研究用
  • 状态

    Liquid

    浓度

    1 μg/μL

    缓冲液

    0.01M TBS( pH 7.4) with 1 % BSA, 0.02 % Proclin300 and 50 % Glycerol.

    储存液

    ProClin

    注意事项

    This product contains ProClin: a POISONOUS AND HAZARDOUS SUBSTANCE, which should be handled by trained staff only.

    储存条件

    4 °C,-20 °C

    储存方法

    Shipped at 4°C. Store at -20°C for one year. Avoid repeated freeze/thaw cycles.

    有效期

    12 months
  • Torkamani, Rufaut, Jones, Sinclair: "Epidermal Cells Expressing Putative Cell Markers in Nonglabrous Skin Existing in Direct Proximity with the Distal End of the Arrector Pili Muscle." in: Stem cells international, Vol. 2016, pp. 1286315, (2016) (PubMed).

    Zhang, Wang, Zhang, Zhang, Guo, Luo, Zhou, He, Zhang: "Rho/MRTF-A-Induced Integrin Expression Regulates Angiogenesis in Differentiated Multipotent Mesenchymal Stem Cells." in: Stem cells international, Vol. 2015, pp. 534758, (2015) (PubMed).

    Cui, Xu, Ma, Gao, Liu, Yue, Wu: "The role of integrin-?5 in the proliferation and odontogenic differentiation of human dental pulp stem cells." in: Journal of endodontics, Vol. 40, Issue 2, pp. 235-40, (2014) (PubMed).

  • 抗原

    ITGA5 (Integrin, alpha 5 (ITGA5))

    别名

    Integrin alpha 5

    背景

    Synonyms: FNRA, CD49e, VLA5A, Integrin alpha-5, CD49 antigen-like family member E, Fibronectin receptor subunit alpha, Integrin alpha-F, VLA-5, ITGA5

    Background: Integrin alpha-5/beta-1 is a receptor for fibronectin and fibrinogen. It recognizes the sequence R-G-D in its ligands. In case of HIV-1 infection, the interaction with extracellular viral Tat protein seems to enhance angiogenesis in Kaposi's sarcoma lesions.

    基因ID

    3678

    UniProt

    P08648

    途径

    Integrin Complex
You are here: