电话:
+86 (0512) 65829739
传真:
+86 (010) 6788 5057
电子邮件:
orders@antibodies-online.cn

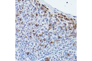
HCAR2 抗体 (AA 250-350)

This 兔 多克隆 antibody specifically detects HCAR2 in WB, IHC 和 IF. It exhibits reactivity toward 人.
产品编号 ABIN7267804
发货至: 中国
Contact our Customer Service for availability and price in your country. Contact Info

Our Local Distributor

中国
北京 101111
No. 88 KeChuang 6th Street
Beijing Economic Technological Development Area
Room 801-803
4A Biotech Co.,Ltd.
Tel +86 (0512) 65829739 传真 +86 (010) 6788 5057

Quick Overview for HCAR2 抗体 (AA 250-350) (ABIN7267804)

抗原

See all HCAR2 抗体
HCAR2 (Hydroxycarboxylic Acid Receptor 2 (HCAR2))

适用

  • 27
  • 15
  • 13
  • 1
  • 1
  • 1

宿主

  • 28
  • 1

克隆类型

  • 28
  • 1
多克隆

标记

  • 15
  • 3
  • 2
  • 1
  • 1
  • 1
  • 1
  • 1
  • 1
  • 1
  • 1
  • 1
This HCAR2 antibody is un-conjugated

应用范围

  • 20
  • 12
  • 3
  • 3
  • 2
  • 2
  • 1
  • 1
Western Blotting (WB), Immunohistochemistry (IHC), Immunofluorescence (IF)
  • 抗原表位

    • 8
    • 4
    • 3
    • 2
    • 2
    • 2
    • 2
    • 2
    • 1
    • 1
    AA 250-350

    原理

    HCAR2 Rabbit pAb

    序列

    VRIRIFWLLH TSGTQNCEVY RSVDLAFFIT LSFTYMNSML DPVVYYFSSP SFPNFFSTLI NRCLQRKMTG EPDNNRSTSV ELTGDPNKTR GAPEALMANS G

    交叉反应

    人, 小鼠, 大鼠

    产品特性

    Polyclonal Antibodies

    纯化方法

    Affinity purification

    免疫原

    A synthetic peptide corresponding to a sequence within amino acids 250-350 of human HCAR2 (NP_808219.1).

    亚型

    IgG
  • 应用备注

    WB,1:500 - 1:2000,IHC,1:50 - 1:200,IF,1:50 - 1:200

    限制

    仅限研究用
  • 状态

    Liquid

    缓冲液

    PBS with 0.02 % sodium azide,50 % glycerol, pH 7.3.

    储存液

    Sodium azide

    注意事项

    This product contains Sodium azide: a POISONOUS AND HAZARDOUS SUBSTANCE which should be handled by trained staff only.

    储存条件

    -20 °C

    储存方法

    Store at -20°C. Avoid freeze / thaw cycles.
  • 抗原

    HCAR2 (Hydroxycarboxylic Acid Receptor 2 (HCAR2))

    别名

    HCAR2

    背景

    Acts as a high affinity receptor for both nicotinic acid (also known as niacin and (D-beta-hydroxybutyrate and mediates increased adiponectin secretion and decreased lipolysis through G(i-protein-mediated inhibition of adenylyl cyclase. This pharmacological effect requires nicotinic acid doses that are much higher than those provided by a normal diet. Mediates nicotinic acid-induced apoptosis in mature neutrophils. Receptor activation by nicotinic acid results in reduced cAMP levels which may affect activity of cAMP-dependent protein kinase A and phosphorylation of target proteins, leading to neutrophil apoptosis. The rank order of potency for the displacement of nicotinic acid binding is 5-methyl pyrazole-3-carboxylic acid = pyridine-3-acetic acid > acifran > 5-methyl nicotinic acid = acipimox >> nicotinuric acid = nicotinamide.,HCAR2,GPR109A,HCA2,HM74a,HM74b,NIACR1,PUMAG,Puma-g,Cancer,Tumor suppressors,p53 pathway,Signal Transduction,G protein signaling,G-Protein-Coupled Receptors(GPCR),Cell Biology & Developmental Biology,Apoptosis,Endocrine & Metabolism,Lipid Metabolism,Hydrolysis,Cardiovascular,Lipids,HCAR2

    分子量

    42kDa

    基因ID

    338442

    UniProt

    Q8TDS4
You are here: