电话:
+86 (0512) 65829739
传真:
+86 (010) 6788 5057
电子邮件:
orders@antibodies-online.cn

HLA-DRA 抗体

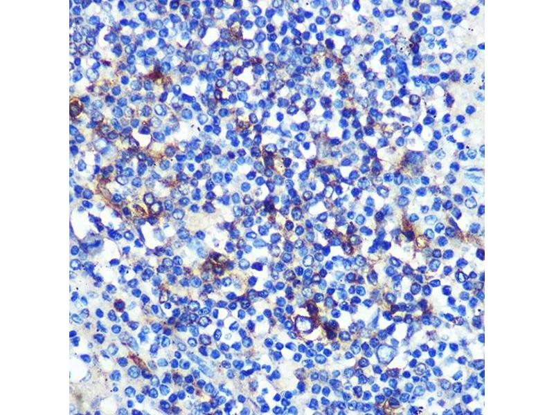
The 兔 单克隆 anti-HLA-DRA antibody (ABIN7267758) specifically detects HLA-DRA in WB 和 IHC. The antibody is reactive with 人 samples.
产品编号 ABIN7267758
发货至: 中国
Contact our Customer Service for availability and price in your country. Contact Info

Our Local Distributor

中国
北京 101111
No. 88 KeChuang 6th Street
Beijing Economic Technological Development Area
Room 801-803
4A Biotech Co.,Ltd.
Tel +86 (0512) 65829739 传真 +86 (010) 6788 5057

Quick Overview for HLA-DRA 抗体 (ABIN7267758)

抗原

See all HLA-DRA 抗体
HLA-DRA (HLA Class II DR alpha (HLA-DRA))

适用

  • 148
  • 18
  • 11
  • 10
  • 9
  • 9
  • 4
  • 3
  • 3
  • 1

宿主

  • 87
  • 75
  • 4
  • 1
  • 1

克隆类型

  • 99
  • 69
单克隆

标记

  • 88
  • 13
  • 9
  • 6
  • 4
  • 3
  • 3
  • 3
  • 3
  • 3
  • 3
  • 3
  • 3
  • 3
  • 3
  • 3
  • 3
  • 3
  • 2
  • 1
  • 1
  • 1
  • 1
  • 1
  • 1
  • 1
This HLA-DRA antibody is un-conjugated

应用范围

  • 78
  • 63
  • 54
  • 51
  • 25
  • 20
  • 13
  • 9
  • 9
  • 3
  • 3
  • 2
  • 1
  • 1
  • 1
  • 1
Western Blotting (WB), Immunohistochemistry (IHC)
  • 原理

    HLA-DRA Rabbit mAb

    交叉反应

    产品特性

    Monoclonal Antibodies

    纯化方法

    Affinity purification

    免疫原

    A synthesized peptide derived from human HLA-DRA

    亚型

    IgG
  • 应用备注

    WB,1:500 - 1:2000,IHC,1:50 - 1:200

    限制

    仅限研究用
  • 状态

    Liquid

    缓冲液

    PBS with 0.02 % sodium azide,0.05 % BSA,50 % glycerol, pH 7.3.

    储存液

    Sodium azide

    注意事项

    This product contains Sodium azide: a POISONOUS AND HAZARDOUS SUBSTANCE which should be handled by trained staff only.

    储存条件

    -20 °C

    储存方法

    Store at -20°C. Avoid freeze / thaw cycles.
  • 抗原

    HLA-DRA (HLA Class II DR alpha (HLA-DRA))

    别名

    HLA-DRA

    背景

    HLA-DRA is one of the HLA class II alpha chain paralogues. This class II molecule is a heterodimer consisting of an alpha and a beta chain, both anchored in the membrane. It plays a central role in the immune system by presenting peptides derived from extracellular proteins. Class II molecules are expressed in antigen presenting cells (APC: B lymphocytes, dendritic cells, macrophages). The alpha chain is approximately 33-35 kDa and its gene contains 5 exons. Exon 1 encodes the leader peptide, exons 2 and 3 encode the two extracellular domains, and exon 4 encodes the transmembrane domain and the cytoplasmic tail. DRA does not have polymorphisms in the peptide binding part and acts as the sole alpha chain for DRB1, DRB3, DRB4 and DRB5. [provided by RefSeq, Jul 2008],HLA-DRA1,Immunology & Inflammation,HLA-DRA

    分子量

    29kDa

    基因ID

    3122

    UniProt

    P01903

    途径

    TCR Signaling, CXCR4-mediated Signaling Events, Human Leukocyte Antigen (HLA) in Adaptive Immune Response
You are here: