电话:
+86 (0512) 65829739
传真:
+86 (010) 6788 5057
电子邮件:
orders@antibodies-online.cn

HDAC2 抗体

This 兔 单克隆 antibody specifically detects HDAC2 in WB, IHC, IF 和 IP. It exhibits reactivity toward 人.
产品编号 ABIN7267708
发货至: 中国
Contact our Customer Service for availability and price in your country. Contact Info

Our Local Distributor

中国
北京 101111
No. 88 KeChuang 6th Street
Beijing Economic Technological Development Area
Room 801-803
4A Biotech Co.,Ltd.
Tel +86 (0512) 65829739 传真 +86 (010) 6788 5057

Quick Overview for HDAC2 抗体 (ABIN7267708)

抗原

See all HDAC2 抗体
HDAC2 (Histone Deacetylase 2 (HDAC2))

适用

  • 157
  • 122
  • 96
  • 15
  • 5
  • 4
  • 4
  • 4
  • 3
  • 3
  • 2
  • 2
  • 1

宿主

  • 141
  • 15
  • 3
  • 1

克隆类型

  • 103
  • 57
单克隆

标记

  • 82
  • 8
  • 5
  • 5
  • 5
  • 5
  • 5
  • 5
  • 3
  • 3
  • 3
  • 3
  • 2
  • 2
  • 2
  • 2
  • 2
  • 2
  • 2
  • 2
  • 2
  • 2
  • 2
  • 2
  • 2
  • 1
  • 1
This HDAC2 antibody is un-conjugated

应用范围

  • 108
  • 58
  • 52
  • 45
  • 39
  • 29
  • 28
  • 27
  • 25
  • 22
  • 13
  • 6
  • 3
  • 2
  • 2
  • 1
  • 1
  • 1
  • 1
  • 1
  • 1
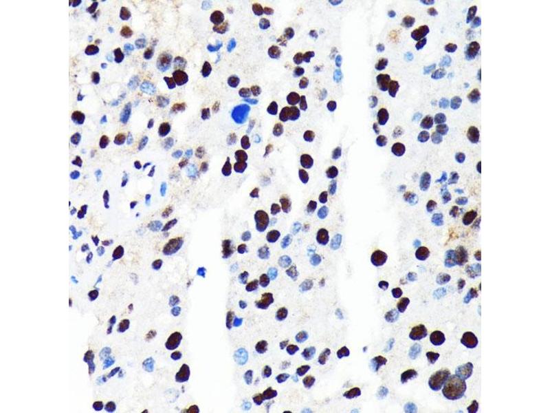
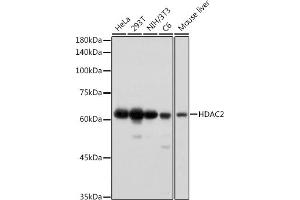
Western Blotting (WB), Immunohistochemistry (IHC), Immunofluorescence (IF), Immunoprecipitation (IP)
  • 原理

    HDAC2 Rabbit mAb

    交叉反应

    人, 小鼠, 大鼠

    产品特性

    Monoclonal Antibodies

    纯化方法

    Affinity purification

    免疫原

    A synthesized peptide derived from human HDAC2.

    亚型

    IgG
  • 应用备注

    WB,1:500 - 1:2000,IHC,1:50 - 1:200,IF,1:50 - 1:200,IP,1:50 - 1:200

    限制

    仅限研究用
  • 状态

    Liquid

    缓冲液

    PBS with 0.02 % sodium azide,0.05 % BSA,50 % glycerol, pH 7.3.

    储存液

    Sodium azide

    注意事项

    This product contains Sodium azide: a POISONOUS AND HAZARDOUS SUBSTANCE which should be handled by trained staff only.

    储存条件

    -20 °C

    储存方法

    Store at -20°C. Avoid freeze / thaw cycles.
  • 抗原

    HDAC2 (Histone Deacetylase 2 (HDAC2))

    别名

    HDAC2

    背景

    This gene product belongs to the histone deacetylase family. Histone deacetylases act via the formation of large multiprotein complexes, and are responsible for the deacetylation of lysine residues at the N-terminal regions of core histones (H2A, H2B, H3 and H4). This protein forms transcriptional repressor complexes by associating with many different proteins, including YY1, a mammalian zinc-finger transcription factor. Thus, it plays an important role in transcriptional regulation, cell cycle progression and developmental events. Alternative splicing results in multiple transcript variants. [provided by RefSeq, Apr 2010],HD2,RPD3,YAF1,HDAC2,Cardiovascular,Cell Biology & Developmental Biology,Cell Cycle,Epigenetic writers and erasers of core Histones,Epigenetic writers and erasers of core Histones_Deacetylation,Epigenetics & Nuclear Signaling,G1/S Checkpoint,Heart,Heart_Hypertrophy,Immunology & Inflammation,Neurodegenerative Diseases,Neuroscience,NF-kB Signaling Pathway,Notch Signaling Pathway,Nuclear Receptor Signaling,Signal Transduction,Stem Cells,Wnt/β-Catenin Signaling Pathway,HDAC2

    分子量

    55kDa

    基因ID

    3066

    UniProt

    Q92769

    途径

    Neurotrophin Signaling Pathway, Regulation of Muscle Cell Differentiation, Negative Regulation of intrinsic apoptotic Signaling, SARS-CoV-2 Protein Interactome, The Global Phosphorylation Landscape of SARS-CoV-2 Infection
You are here: