电话:
+86 (0512) 65829739
传真:
+86 (010) 6788 5057
电子邮件:
orders@antibodies-online.cn

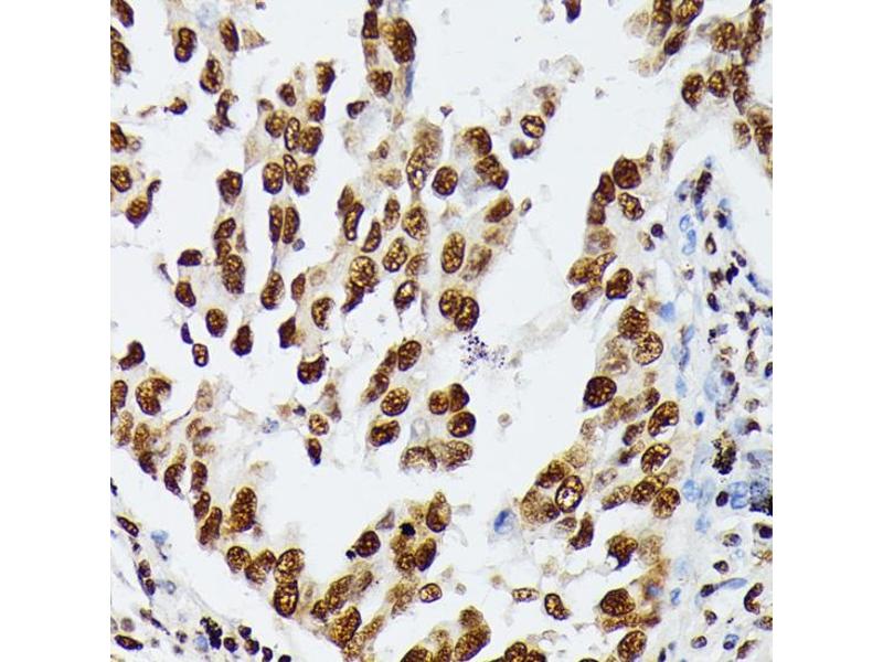
HNRNPD/AUF1 抗体 (AA 1-306)

The 兔 多克隆 anti-HNRNPD/AUF1 antibody (ABIN7267632) specifically detects HNRNPD/AUF1 in WB, IHC, IF 和 IP. The antibody is reactive with 人 samples.
产品编号 ABIN7267632
发货至: 中国
Contact our Customer Service for availability and price in your country. Contact Info

Our Local Distributor

中国
北京 101111
No. 88 KeChuang 6th Street
Beijing Economic Technological Development Area
Room 801-803
4A Biotech Co.,Ltd.
Tel +86 (0512) 65829739 传真 +86 (010) 6788 5057

Quick Overview for HNRNPD/AUF1 抗体 (AA 1-306) (ABIN7267632)

抗原

See all HNRNPD/AUF1 (HNRNPD) 抗体
HNRNPD/AUF1 (HNRNPD) (Heterogeneous Nuclear Ribonucleoprotein D (HNRNPD))

适用

  • 65
  • 27
  • 21
  • 6
  • 5
  • 4
  • 3
  • 3
  • 2
  • 2
  • 2
  • 2
  • 1

宿主

  • 62
  • 4

克隆类型

  • 63
  • 3
多克隆

标记

  • 44
  • 5
  • 4
  • 4
  • 2
  • 1
  • 1
  • 1
  • 1
  • 1
  • 1
  • 1
This HNRNPD/AUF1 antibody is un-conjugated

应用范围

  • 54
  • 33
  • 31
  • 28
  • 7
  • 6
  • 3
  • 2
  • 2
  • 1
Western Blotting (WB), Immunohistochemistry (IHC), Immunofluorescence (IF), Immunoprecipitation (IP)
  • 抗原表位

    • 13
    • 11
    • 6
    • 5
    • 4
    • 3
    • 3
    • 3
    • 2
    • 2
    • 1
    • 1
    • 1
    • 1
    • 1
    • 1
    • 1
    • 1
    • 1
    AA 1-306

    原理

    HNRNPD Rabbit pAb

    序列

    MSEEQFGGDG AAAAATAAVG GSAGEQEGAM VAATQGAAAA AGSGAGTGGG TASGGTEGGS AESEGAKIDA SKNEEDEGHS NSSPRHSEAA TAQREEWKMF IGGLSWDTTK KDLKDYFSKF GEVVDCTLKL DPITGRSRGF GFVLFKESES VDKVMDQKEH KLNGKVIDPK RAKAMKTKEP VKKIFVGGLS PDTPEEKIRE YFGGFGEVES IELPMDNKTN KRRGFCFITF KEEEPVKKIM EKKYHNVGLS KCEIKVAMSK EQYQQQQQWG SRGGFAGRAR GRGGDQQSGY GKVSRRGGHQ NSYKPY

    交叉反应

    人, 小鼠, 大鼠

    产品特性

    Polyclonal Antibodies

    纯化方法

    Affinity purification

    免疫原

    Recombinant fusion protein containing a sequence corresponding to amino acids 1-306 of human HNRNPD (NP_002129.2).

    亚型

    IgG
  • 应用备注

    WB,1:500 - 1:2000,IHC,1:50 - 1:200,IF,1:50 - 1:200,IP,1:50 - 1:200

    限制

    仅限研究用
  • 状态

    Liquid

    缓冲液

    PBS with 0.02 % sodium azide,50 % glycerol, pH 7.3.

    储存液

    Sodium azide

    注意事项

    This product contains Sodium azide: a POISONOUS AND HAZARDOUS SUBSTANCE which should be handled by trained staff only.

    储存条件

    -20 °C

    储存方法

    Store at -20°C. Avoid freeze / thaw cycles.
  • 抗原

    HNRNPD/AUF1 (HNRNPD) (Heterogeneous Nuclear Ribonucleoprotein D (HNRNPD))

    别名

    HNRNPD

    背景

    This gene belongs to the subfamily of ubiquitously expressed heterogeneous nuclear ribonucleoproteins (hnRNPs). The hnRNPs are nucleic acid binding proteins and they complex with heterogeneous nuclear RNA (hnRNA). These proteins are associated with pre-mRNAs in the nucleus and appear to influence pre-mRNA processing and other aspects of mRNA metabolism and transport. While all of the hnRNPs are present in the nucleus, some seem to shuttle between the nucleus and the cytoplasm. The hnRNP proteins have distinct nucleic acid binding properties. The protein encoded by this gene has two repeats of quasi-RRM domains that bind to RNAs. It localizes to both the nucleus and the cytoplasm. This protein is implicated in the regulation of mRNA stability. Alternative splicing of this gene results in four transcript variants.,HNRNPD,AUF1,AUF1A,HNRPD,P37,hnRNPD0,Epigenetics & Nuclear Signaling,RNA Binding,HNRNPD

    分子量

    30kDa/32kDa/36kDa/38kDa

    基因ID

    3184

    UniProt

    Q14103
You are here: