电话:
+86 (0512) 65829739
传真:
+86 (010) 6788 5057
电子邮件:
orders@antibodies-online.cn

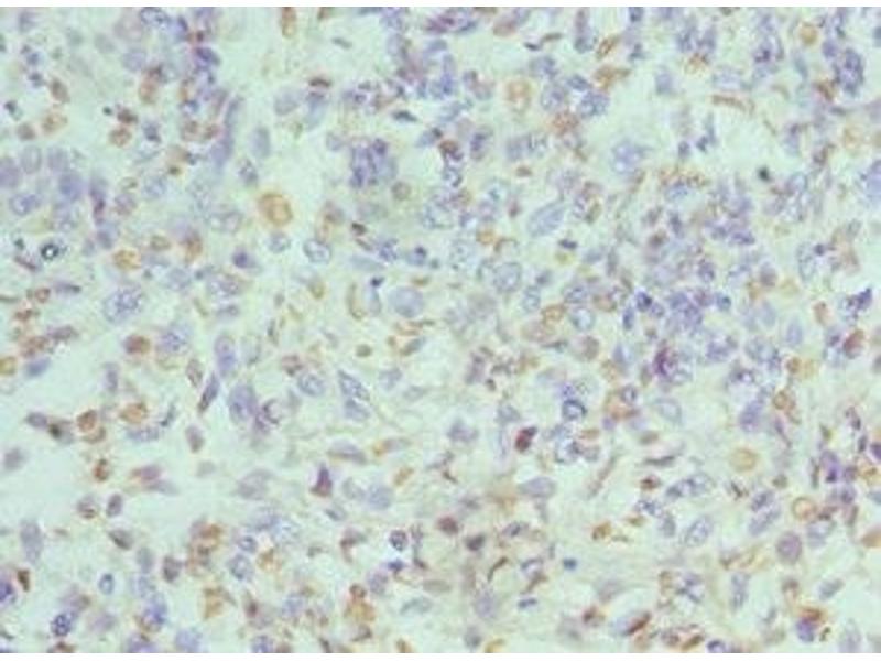
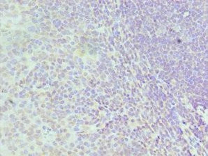
HNRNPD/AUF1 抗体 (AA 1-306)

The 兔 多克隆 anti-HNRNPD/AUF1 antibody is suitable to detect HNRNPD/AUF1 in samples from 人. It has been validated for WB, IHC 和 ELISA.
产品编号 ABIN7155102
发货至: 中国
Contact our Customer Service for availability and price in your country. Contact Info

Our Local Distributor

中国
北京 101111
No. 88 KeChuang 6th Street
Beijing Economic Technological Development Area
Room 801-803
4A Biotech Co.,Ltd.
Tel +86 (0512) 65829739 传真 +86 (010) 6788 5057

Quick Overview for HNRNPD/AUF1 抗体 (AA 1-306) (ABIN7155102)

抗原

See all HNRNPD/AUF1 (HNRNPD) 抗体
HNRNPD/AUF1 (HNRNPD) (Heterogeneous Nuclear Ribonucleoprotein D (HNRNPD))

适用

  • 65
  • 27
  • 21
  • 6
  • 5
  • 4
  • 3
  • 3
  • 2
  • 2
  • 2
  • 2
  • 1

宿主

  • 62
  • 4

克隆类型

  • 63
  • 3
多克隆

标记

  • 44
  • 5
  • 4
  • 4
  • 2
  • 1
  • 1
  • 1
  • 1
  • 1
  • 1
  • 1
This HNRNPD/AUF1 antibody is un-conjugated

应用范围

  • 54
  • 33
  • 30
  • 29
  • 7
  • 6
  • 3
  • 2
  • 2
  • 2
Western Blotting (WB), Immunohistochemistry (IHC), ELISA
  • 抗原表位

    • 13
    • 11
    • 6
    • 5
    • 4
    • 3
    • 3
    • 3
    • 2
    • 2
    • 1
    • 1
    • 1
    • 1
    • 1
    • 1
    • 1
    • 1
    • 1
    AA 1-306

    原理

    HNRNPD Antibody

    纯化方法

    Antigen Affinity Purified

    免疫原

    Recombinant Human Heterogeneous nuclear ribonucleoprotein D0 protein (1-306AA)

    亚型

    IgG
  • 应用备注

    Optimal working dilution should be determined by the investigator.

    限制

    仅限研究用
  • 状态

    Liquid

    缓冲液

    PBS with 0.02 % sodium azide, 50 % glycerol, pH 7.3.

    储存液

    Sodium azide

    注意事项

    This product contains Sodium azide: a POISONOUS AND HAZARDOUS SUBSTANCE which should be handled by trained staff only.

    储存条件

    -20 °C,-80 °C

    储存方法

    Upon receipt, store at -20°C or -80°C. Avoid repeated freeze.
  • 抗原

    HNRNPD/AUF1 (HNRNPD) (Heterogeneous Nuclear Ribonucleoprotein D (HNRNPD))

    别名

    HNRNPD

    背景

    Background: Binds with high affinity to RNA molecules that contain AU-rich elements (AREs) found within the 3\\\'-UTR of many proto-oncogenes and cytokine mRNAs. Also binds to double- and single-stranded DNA sequences in a specific manner and functions a transcription factor. Each of the RNA-binding domains specifically can bind solely to a single-stranded non-monotonous 5\\\'-UUAG-3\\\' sequence and also weaker to the single-stranded 5\\\'-TTAGGG-3\\\' telomeric DNA repeat. Binds RNA oligonucleotides with 5\\\'-UUAGGG-3\\\' repeats more tightly than the telomeric single-stranded DNA 5\\\'-TTAGGG-3\\\' repeats. Binding of RRM1 to DNA inhibits the formation of DNA quadruplex structure which may play a role in telomere elongation. May be involved in translationally coupled mRNA turnover. Implicated with other RNA-binding proteins in the cytoplasmic deadenylation/translational and decay interplay of the FOS mRNA mediated by the major coding-region determinant of instability (mCRD) domain. May play a role in the regulation of the rhythmic expression of circadian clock core genes. Directly binds to the 3\\\'UTR of CRY1 mRNA and induces CRY1 rhythmic translation. May also be involved in the regulation of PER2 translation.

    Aliases: ARE binding protein AUFI type A antibody, AU-rich element RNA-binding protein 1 antibody, AUF antibody, AUF1 antibody, AUF1A antibody, Heterogeneous nuclear ribonucleoprotein D0 antibody, hnRNP D antibody, hnRNP D0 antibody, Hnrnpd antibody, hnRNPD0 antibody, HNRPD antibody, HNRPD_HUMAN antibody, P37 antibody

    UniProt

    Q14103
You are here: