HNF4A 抗体
Our Local Distributor
北京 101111
Quick Overview for HNF4A 抗体 (ABIN7267621)
抗原
See all HNF4A 抗体适用
宿主
克隆类型
标记
应用范围
-
-
原理
- HNF-4-alpha Rabbit mAb
-
交叉反应
- 人, 小鼠, 大鼠
-
产品特性
- Monoclonal Antibodies
-
纯化方法
- Affinity purification
-
免疫原
- Recombinant protein of Mouse HNF-4-alpha.
-
亚型
- IgG
-
-
-
-
应用备注
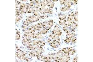
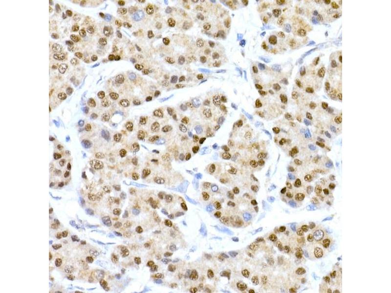
- WB,1:500 - 1:2000,IHC,1:50 - 1:200,ChIP,1:50 - 1:200
-
限制
- 仅限研究用
-
-
-
状态
- Liquid
-
缓冲液
- PBS with 0.02 % sodium azide,0.05 % BSA,50 % glycerol, pH 7.3.
-
储存液
- Sodium azide
-
注意事项
- This product contains Sodium azide: a POISONOUS AND HAZARDOUS SUBSTANCE which should be handled by trained staff only.
-
储存条件
- -20 °C
-
储存方法
- Store at -20°C. Avoid freeze / thaw cycles.
-
-
- HNF4A (Hepatocyte Nuclear Factor 4, alpha (HNF4A))
-
别名
- HNF-4-alpha
-
背景
- The protein encoded by this gene is a nuclear transcription factor which binds DNA as a homodimer. The encoded protein controls the expression of several genes, including hepatocyte nuclear factor 1 alpha, a transcription factor which regulates the expression of several hepatic genes. This gene may play a role in development of the liver, kidney, and intestines. Mutations in this gene have been associated with monogenic autosomal dominant non-insulin-dependent diabetes mellitus type I. Alternative splicing of this gene results in multiple transcript variants encoding several different isoforms.,HNF4A,FRTS4,HNF4,HNF4a7,HNF4a8,HNF4a9,HNF4alpha,MODY,MODY1,NR2A1,NR2A21,TCF,TCF14,HNF4a,Epigenetics & Nuclear Signaling,Transcription Factors,Nuclear Receptor Signaling,Cancer,Signal Transduction,Cell Biology & Developmental Biology,Cell Adhesion,Wnt/β-Catenin Signaling Pathway,Endocrine & Metabolism,Lipid Metabolism,Cholesterol Metabolism,Cytochromes,AMPK Signaling Pathway,Endocrine and metabolic diseases,Diabetes,Stem Cells,Cardiovascular,Blood,Coagulation,Lipids,HNF-4-alpha
-
分子量
- 51kDa/52kDa
-
基因ID
- 15378
-
UniProt
- P49698
-
途径
- AMPK Signaling, Nuclear Receptor Transcription Pathway, Steroid Hormone Mediated Signaling Pathway, Carbohydrate Homeostasis, Cell-Cell Junction Organization, Regulation of Carbohydrate Metabolic Process
抗原
-