HNF4A 抗体 (C-Term)
Our Local Distributor
北京 101111
Quick Overview for HNF4A 抗体 (C-Term) (ABIN6745707)
抗原
See all HNF4A 抗体适用
宿主
克隆类型
标记
应用范围
-
-
抗原表位
- C-Term
-
特异性
- Human HNF4A / HNF4
-
预测反应
- Percent identity by BLAST analysis: Human (100%) Mouse, Rat, Sheep, Dog, Bovine, Rabbit, Horse, Pig (92%).
-
纯化方法
- Immunoaffinity purified
-
免疫原
-
Synthetic peptide from C-Terminus of human HNF4A (P41235-5, NP_787110). Percent identity by BLAST analysis: Human, Chimpanzee, Gorilla, Gibbon, Monkey, Marmoset (100%), Galago, Mouse, Rat, Sheep, Hamster, Elephant, Panda, Dog, Bovine, Rabbit, Horse, Pig (92%), Bat, Opossum, Guinea pig (85%).
Type of Immunogen: Synthetic peptide
-
-
-
-
应用备注
-
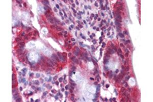
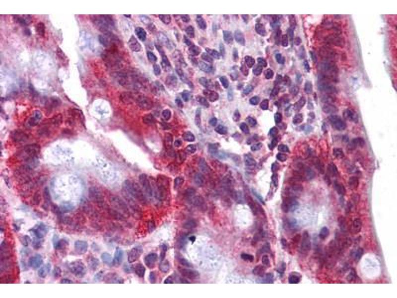
Approved: IHC, IHC-P (5 μg/mL), WB (0.2 - 1 μg/mL)
Usage: Western Blot: Suggested dilution at 1 μg/mL in 5 % skim milk / PBS buffer, and HRP conjugated anti-Rabbit IgG should be diluted in 1: 50,000 - 100,000 as secondary antibody. -
说明
-
Target Species of Antibody: Human
-
限制
- 仅限研究用
-
-
-
状态
- Lyophilized
-
溶解方式
- Distilled water
-
浓度
- Lot specific
-
缓冲液
- Lyophilized from PBS with 2 % sucrose
-
注意事项
- Avoid repeat freeze-thaw cycles.
-
储存条件
- 4 °C,-20 °C
-
储存方法
-
Long term: -20°C, the use of 50% glycerol is recommended if storing aliquots in -20°C for long term use (up to 1 year)
Short term (less than 1 week): 4°C. Avoid freeze-thaw cycles.
-
-
- HNF4A (Hepatocyte Nuclear Factor 4, alpha (HNF4A))
-
别名
- HNF4A / HNF4
-
背景
-
Name/Gene ID: HNF4A
Subfamily: NR2 Hepatocyte NF4-like
Family: NHR
Synonyms: HNF4A, Hepatic nuclear factor 4 alpha, HNF4, HNF4a8, NR2A21, TCF, TCF-14, TCF14, MODY1, Transcription factor 14, Transcription factor HNF-4, HNF-4-alpha, HNF4 alpha, HNF4a7, HNF4a9, HNF4alpha, HNF4alpha10/11/12, MODY, NR2A1 -
基因ID
- 3172
-
NCBI登录号
- NP_787110
-
UniProt
- P41235
-
途径
- AMPK Signaling, Nuclear Receptor Transcription Pathway, Steroid Hormone Mediated Signaling Pathway, Carbohydrate Homeostasis, Cell-Cell Junction Organization, Regulation of Carbohydrate Metabolic Process
抗原
-