电话:
+86 (0512) 65829739
传真:
+86 (010) 6788 5057
电子邮件:
orders@antibodies-online.cn

Hemopexin 抗体

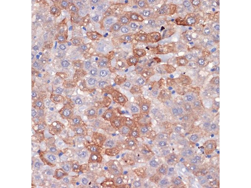
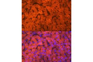
The 兔 单克隆 anti-Hemopexin antibody (ABIN7267611) specifically detects Hemopexin in WB, IHC 和 IF. The antibody is reactive with 人 samples.
产品编号 ABIN7267611
发货至: 中国
Contact our Customer Service for availability and price in your country. Contact Info

Our Local Distributor

中国
北京 101111
No. 88 KeChuang 6th Street
Beijing Economic Technological Development Area
Room 801-803
4A Biotech Co.,Ltd.
Tel +86 (0512) 65829739 传真 +86 (010) 6788 5057

Quick Overview for Hemopexin 抗体 (ABIN7267611)

抗原

See all Hemopexin (HPX) 抗体
Hemopexin (HPX)

适用

  • 93
  • 20
  • 16
  • 1
  • 1

宿主

  • 98
  • 12
  • 3
  • 1
  • 1

克隆类型

  • 87
  • 28
单克隆

标记

  • 45
  • 19
  • 8
  • 7
  • 3
  • 3
  • 3
  • 3
  • 3
  • 3
  • 2
  • 2
  • 1
  • 1
  • 1
  • 1
  • 1
  • 1
  • 1
  • 1
  • 1
  • 1
  • 1
  • 1
  • 1
  • 1
This Hemopexin antibody is un-conjugated

应用范围

  • 76
  • 42
  • 34
  • 26
  • 25
  • 15
  • 13
  • 13
  • 9
  • 8
  • 8
  • 7
  • 4
  • 3
  • 1
  • 1
  • 1
  • 1
  • 1
  • 1
Western Blotting (WB), Immunohistochemistry (IHC), Immunofluorescence (IF)
  • 原理

    Hemopexin (HPX) Rabbit mAb

    交叉反应

    人, 小鼠, 大鼠

    产品特性

    Monoclonal Antibodies

    纯化方法

    Affinity purification

    免疫原

    A synthesized peptide derived from human Hemopexin (HPX) (HPX)

    亚型

    IgG
  • 应用备注

    WB,1:500 - 1:2000,IHC,1:50 - 1:200,IF,1:50 - 1:200

    限制

    仅限研究用
  • 状态

    Liquid

    缓冲液

    PBS with 0.02 % sodium azide,0.05 % BSA,50 % glycerol, pH 7.3.

    储存液

    Sodium azide

    注意事项

    This product contains Sodium azide: a POISONOUS AND HAZARDOUS SUBSTANCE which should be handled by trained staff only.

    储存条件

    -20 °C

    储存方法

    Store at -20°C. Avoid freeze / thaw cycles.
  • 抗原

    Hemopexin (HPX)

    别名

    HPX

    背景

    This gene encodes a plasma glycoprotein that binds heme with high affinity. The encoded protein is an acute phase protein that transports heme from the plasma to the liver and may be involved in protecting cells from oxidative stress. [provided by RefSeq, Apr 2009],HX,Cancer,Cell Biology & Developmental Biology,Cytoskeleton,Endocrine & Metabolism,Extracellular Matrix,Extracellular Matrix_MMPs,Signal Transduction,HPX

    分子量

    70-75kDa

    基因ID

    3263

    UniProt

    P02790

    途径

    Transition Metal Ion Homeostasis, Regulation of Leukocyte Mediated Immunity, Positive Regulation of Immune Effector Process, Production of Molecular Mediator of Immune Response
You are here: