电话:
+86 (0512) 65829739
传真:
+86 (010) 6788 5057
电子邮件:
orders@antibodies-online.cn

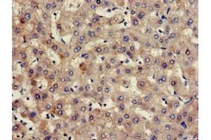
Hemopexin 抗体 (AA 32-254)

The 兔 多克隆 anti-Hemopexin antibody (ABIN7154998) specifically detects Hemopexin in IHC, ELISA 和 IF. The antibody is reactive with 人 samples.
产品编号 ABIN7154998
发货至: 中国
Contact our Customer Service for availability and price in your country. Contact Info

Our Local Distributor

中国
北京 101111
No. 88 KeChuang 6th Street
Beijing Economic Technological Development Area
Room 801-803
4A Biotech Co.,Ltd.
Tel +86 (0512) 65829739 传真 +86 (010) 6788 5057

Quick Overview for Hemopexin 抗体 (AA 32-254) (ABIN7154998)

抗原

See all Hemopexin (HPX) 抗体
Hemopexin (HPX)

适用

  • 93
  • 20
  • 16
  • 1
  • 1

宿主

  • 98
  • 12
  • 3
  • 1
  • 1

克隆类型

  • 86
  • 29
多克隆

标记

  • 45
  • 19
  • 8
  • 7
  • 3
  • 3
  • 3
  • 3
  • 3
  • 3
  • 2
  • 2
  • 1
  • 1
  • 1
  • 1
  • 1
  • 1
  • 1
  • 1
  • 1
  • 1
  • 1
  • 1
  • 1
  • 1
This Hemopexin antibody is un-conjugated

应用范围

  • 77
  • 42
  • 33
  • 26
  • 25
  • 15
  • 13
  • 13
  • 9
  • 8
  • 8
  • 7
  • 4
  • 3
  • 1
  • 1
  • 1
  • 1
  • 1
  • 1
Immunohistochemistry (IHC), ELISA, Immunofluorescence (IF)
  • 抗原表位

    • 15
    • 9
    • 9
    • 6
    • 5
    • 5
    • 4
    • 2
    • 2
    • 2
    • 1
    • 1
    • 1
    • 1
    AA 32-254

    原理

    HPX Antibody

    纯化方法

    Protein G purified

    纯度

    >95 %

    免疫原

    Recombinant Human Hemopexin protein (32-254AA)

    亚型

    IgG
  • 应用备注

    Optimal working dilution should be determined by the investigator.

    限制

    仅限研究用
  • 状态

    Liquid

    缓冲液

    Preservative: 0.03 % Proclin 300
    Constituents: 50 % Glycerol, 0.01M PBS, pH 7.4

    储存液

    ProClin

    注意事项

    This product contains ProClin: a POISONOUS AND HAZARDOUS SUBSTANCE which should be handled by trained staff only.

    储存条件

    -20 °C,-80 °C

    储存方法

    Upon receipt, store at -20°C or -80°C. Avoid repeated freeze.
  • 抗原

    Hemopexin (HPX)

    别名

    HPX

    背景

    Background: Binds heme and transports it to the liver for breakdown and iron recovery, after which the free hemopexin returns to the circulation.

    Aliases: Beta 1B glycoprotein antibody, Beta-1B-glycoprotein antibody, FLJ56652 antibody, HEMO antibody, HEMO_HUMAN antibody, Hemopexin antibody, Hpx antibody, HX antibody

    UniProt

    P02790

    途径

    Transition Metal Ion Homeostasis, Regulation of Leukocyte Mediated Immunity, Positive Regulation of Immune Effector Process, Production of Molecular Mediator of Immune Response
You are here: