电话:
+86 (0512) 65829739
传真:
+86 (010) 6788 5057
电子邮件:
orders@antibodies-online.cn

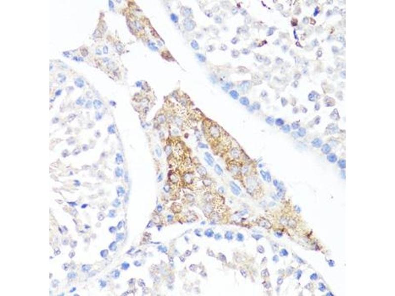
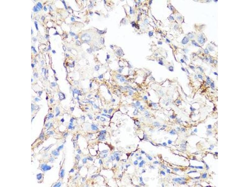
Fibronectin 1 抗体 (AA 2200-2355)

The 兔 多克隆 anti-Fibronectin 1 antibody (ABIN7267194) specifically detects Fibronectin 1 in WB 和 IHC. The antibody is reactive with 人 samples.
产品编号 ABIN7267194
发货至: 中国
Contact our Customer Service for availability and price in your country. Contact Info

Our Local Distributor

中国
北京 101111
No. 88 KeChuang 6th Street
Beijing Economic Technological Development Area
Room 801-803
4A Biotech Co.,Ltd.
Tel +86 (0512) 65829739 传真 +86 (010) 6788 5057

Quick Overview for Fibronectin 1 抗体 (AA 2200-2355) (ABIN7267194)

抗原

See all Fibronectin 1 (FN1) 抗体
Fibronectin 1 (FN1)

适用

  • 102
  • 37
  • 34
  • 7
  • 6
  • 6
  • 5
  • 5
  • 4
  • 3
  • 3
  • 1
  • 1
  • 1

宿主

  • 81
  • 34
  • 1
  • 1

克隆类型

  • 74
  • 42
多克隆

标记

  • 71
  • 12
  • 10
  • 4
  • 1
  • 1
  • 1
  • 1
  • 1
  • 1
  • 1
  • 1
  • 1
  • 1
  • 1
  • 1
  • 1
  • 1
  • 1
  • 1
  • 1
  • 1
  • 1
  • 1
This Fibronectin 1 antibody is un-conjugated

应用范围

  • 74
  • 54
  • 27
  • 18
  • 17
  • 13
  • 13
  • 10
  • 9
  • 8
  • 7
  • 7
  • 6
  • 2
  • 1
  • 1
  • 1
  • 1
Western Blotting (WB), Immunohistochemistry (IHC)
  • 抗原表位

    • 15
    • 8
    • 6
    • 5
    • 4
    • 3
    • 3
    • 3
    • 2
    • 2
    • 2
    • 1
    • 1
    • 1
    • 1
    • 1
    • 1
    • 1
    • 1
    • 1
    AA 2200-2355

    原理

    Fibronectin Rabbit pAb

    序列

    LLCQCLGFGS GHFRCDSSRW CHDNGVNYKI GEKWDRQGEN GQMMSCTCLG NGKGEFKCDP HEATCYDDGK TYHVGEQWQK EYLGAICSCT CFGGQRGWRC DNCRRPGGEP SPEGTTGQSY NQYSQRYHQR TNTNVNCPIE CFMPLDVQAD REDSRE

    交叉反应

    人, 小鼠

    产品特性

    Polyclonal Antibodies

    纯化方法

    Affinity purification

    免疫原

    Recombinant fusion protein containing a sequence corresponding to amino acids 2200-2355 of human Fibronectin (NP_002017.1).

    亚型

    IgG
  • 应用备注

    WB,1:500 - 1:1000,IHC,1:50 - 1:200

    限制

    仅限研究用
  • 状态

    Liquid

    缓冲液

    PBS with 0.02 % sodium azide,50 % glycerol, pH 7.3.

    储存液

    Sodium azide

    注意事项

    This product contains Sodium azide: a POISONOUS AND HAZARDOUS SUBSTANCE which should be handled by trained staff only.

    储存条件

    -20 °C

    储存方法

    Store at -20°C. Avoid freeze / thaw cycles.
  • 抗原

    Fibronectin 1 (FN1)

    别名

    FN1

    背景

    This gene encodes fibronectin, a glycoprotein present in a soluble dimeric form in plasma, and in a dimeric or multimeric form at the cell surface and in extracellular matrix. The encoded preproprotein is proteolytically processed to generate the mature protein. Fibronectin is involved in cell adhesion and migration processes including embryogenesis, wound healing, blood coagulation, host defense, and metastasis. The gene has three regions subject to alternative splicing, with the potential to produce 20 different transcript variants, at least one of which encodes an isoform that undergoes proteolytic processing. The full-length nature of some variants has not been determined.,FN1,CIG,ED-B,FINC,FN,FNZ,GFND,GFND2,LETS,MSF,fibronectin,Cancer,Invasion and Metastasis,Signal Transduction,Cell Biology & Developmental Biology,Cytoskeleton,Extracellular Matrix,Stem Cells,Mesenchymal Stem Cells,Neural Stem Cells,Cardiovascular,Angiogenesis,FN1

    分子量

    71-73kDa/221-272kDa

    基因ID

    2335

    UniProt

    P02751

    途径

    Cellular Response to Molecule of Bacterial Origin, Carbohydrate Homeostasis, Autophagy
You are here: