电话:
+86 (0512) 65829739
传真:
+86 (010) 6788 5057
电子邮件:
orders@antibodies-online.cn

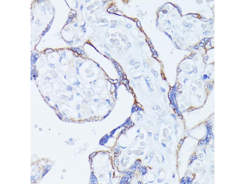
Contactin 1 抗体 (AA 250-350)

The 兔 多克隆 anti-Contactin 1 antibody (ABIN7266492) specifically detects Contactin 1 in WB 和 IHC. The antibody is reactive with 人 samples.
产品编号 ABIN7266492
发货至: 中国
Contact our Customer Service for availability and price in your country. Contact Info

Our Local Distributor

中国
北京 101111
No. 88 KeChuang 6th Street
Beijing Economic Technological Development Area
Room 801-803
4A Biotech Co.,Ltd.
Tel +86 (0512) 65829739 传真 +86 (010) 6788 5057

Quick Overview for Contactin 1 抗体 (AA 250-350) (ABIN7266492)

抗原

See all Contactin 1 (CNTN1) 抗体
Contactin 1 (CNTN1)

适用

  • 42
  • 23
  • 20
  • 4
  • 4
  • 3
  • 3
  • 3
  • 2
  • 2

宿主

  • 38
  • 2
  • 2
  • 2

克隆类型

  • 42
  • 2
多克隆

标记

  • 28
  • 3
  • 3
  • 2
  • 1
  • 1
  • 1
  • 1
  • 1
  • 1
  • 1
  • 1
This Contactin 1 antibody is un-conjugated

应用范围

  • 30
  • 19
  • 10
  • 4
  • 4
  • 4
  • 1
  • 1
  • 1
  • 1
Western Blotting (WB), Immunohistochemistry (IHC)
  • 抗原表位

    • 7
    • 6
    • 5
    • 2
    • 2
    • 2
    • 2
    • 1
    • 1
    • 1
    • 1
    • 1
    • 1
    • 1
    • 1
    • 1
    • 1
    AA 250-350

    原理

    CNTN1 Rabbit pAb

    序列

    LECFALGNPV PDIRWRKVLE PMPSTAEIST SGAVLKIFNI QLEDEGIYEC EAENIRGKDK HQARIYVQAF PEWVEHINDT EVDIGSDLYW PCVATGKPIP T

    交叉反应

    人, 小鼠, 大鼠

    产品特性

    Polyclonal Antibodies

    纯化方法

    Affinity purification

    免疫原

    A synthetic peptide corresponding to a sequence within amino acids 250-350 of human CNTN1 (NP_778203.1).

    亚型

    IgG
  • 应用备注

    WB,1:500 - 1:2000,IHC,1:50 - 1:200

    限制

    仅限研究用
  • 状态

    Liquid

    缓冲液

    PBS with 0.02 % sodium azide,50 % glycerol, pH 7.3.

    储存液

    Sodium azide

    注意事项

    This product contains Sodium azide: a POISONOUS AND HAZARDOUS SUBSTANCE which should be handled by trained staff only.

    储存条件

    -20 °C

    储存方法

    Store at -20°C. Avoid freeze / thaw cycles.
  • 抗原

    Contactin 1 (CNTN1)

    别名

    CNTN1

    背景

    The protein encoded by this gene is a member of the immunoglobulin superfamily. It is a glycosylphosphatidylinositol (GPI)-anchored neuronal membrane protein that functions as a cell adhesion molecule. It may play a role in the formation of axon connections in the developing nervous system. Multiple alternatively spliced transcript variants encoding different isoforms have been found for this gene. [provided by RefSeq, Dec 2011],CNTN1,F3,GP135,MYPCN,Epigenetics & Nuclear Signaling,Cell Biology & Developmental Biology,Cell Adhesion,Neuroscience,CNTN1

    分子量

    70kDa/111kDa/113kDa

    基因ID

    1272

    UniProt

    Q12860
You are here: