电话:
+86 (0512) 65829739
传真:
+86 (010) 6788 5057
电子邮件:
orders@antibodies-online.cn

Contactin 1 抗体 (Internal Region)

The 山羊 多克隆 anti-Contactin 1 antibody is suitable to detect Contactin 1 in samples from 人, 大鼠, 小鼠 和 Pig. It has been validated for WB, ELISA 和 IHC.
产品编号 ABIN5539512
发货至: 中国
Contact our Customer Service for availability and price in your country. Contact Info

Our Local Distributor

中国
北京 101111
No. 88 KeChuang 6th Street
Beijing Economic Technological Development Area
Room 801-803
4A Biotech Co.,Ltd.
Tel +86 (0512) 65829739 传真 +86 (010) 6788 5057

Quick Overview for Contactin 1 抗体 (Internal Region) (ABIN5539512)

抗原

See all Contactin 1 (CNTN1) 抗体
Contactin 1 (CNTN1)

适用

  • 42
  • 22
  • 19
  • 4
  • 4
  • 3
  • 3
  • 2
  • 2
  • 2
人, 大鼠, 小鼠, Pig

宿主

  • 39
  • 2
  • 2
  • 1
山羊

克隆类型

  • 42
  • 2
多克隆

标记

  • 28
  • 3
  • 3
  • 2
  • 1
  • 1
  • 1
  • 1
  • 1
  • 1
  • 1
  • 1
This Contactin 1 antibody is un-conjugated

应用范围

  • 30
  • 18
  • 10
  • 4
  • 4
  • 4
  • 1
  • 1
  • 1
  • 1
Western Blotting (WB), ELISA, Immunohistochemistry (IHC)

质量等级

Verified
  • 抗原表位

    • 7
    • 6
    • 5
    • 2
    • 2
    • 2
    • 1
    • 1
    • 1
    • 1
    • 1
    • 1
    • 1
    • 1
    • 1
    • 1
    • 1
    • 1
    Internal Region

    原理

    contactin 1

    序列

    ENIRGKDKHQ AR

    特异性

    This antibody is expected to recognize all reported isoforms (NP_001834.2, NP_778203.1, NP_001242992.1). Reported variants represent identical protein: NP_001242993.1, NP_001242992.1.

    交叉反应

    人, 小鼠, Pig, 大鼠

    纯化方法

    Purified from goat serum by ammonium sulphate precipitation followed by antigen affinity chromatography using the immunizing peptide.

    亚型

    IgG
  • 应用备注

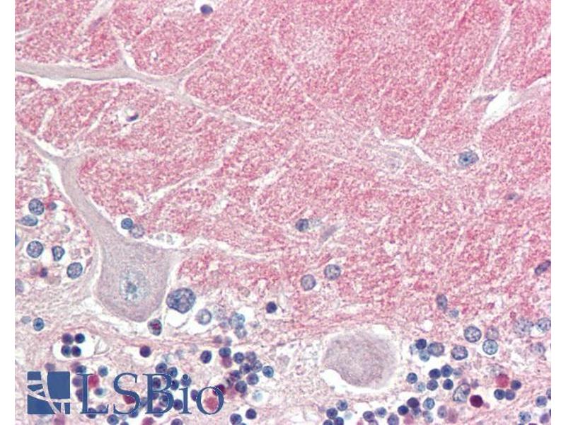
    Immunohistochemistry: Paraffin embedded Human Brain (Cerebellum). Recommended concentration: 5 μg/mL.

    Western Blot: Approx 140 kDa band observed in Human, Mouse, Rat and Pig Brain lysates (calculated MW of 113 kDa according to NP_001834.2). The observed molecular weight corresponds to the glycosylated form. Recommended concentration: 0.3-1 μg/mL. Primary in

    Peptide ELISA: antibody detection limit dilution 1:32000.

    限制

    仅限研究用
  • 状态

    Liquid

    浓度

    0.5 mg/mL

    缓冲液

    Supplied at 0.5 mg/mL in Tris saline, 0.02 % sodium azide, pH 7.3 with 0.5 % bovine serum albumin.

    储存液

    Sodium azide

    注意事项

    This product contains Sodium azide: a POISONOUS AND HAZARDOUS SUBSTANCE which should be handled by trained staff only.

    注意事项

    Minimize freezing and thawing.

    储存条件

    -20 °C

    储存方法

    Aliquot and store at -20°C, with minimal freeze/thawing. A working aliquot may be refrigerated at 4°C for a few weeks and still remain viable.
  • 抗原

    Contactin 1 (CNTN1)

    别名

    CNTN1

    背景

    CNTN1, contactin 1, F3, GP135, contactin-1, glycoprotein gP135, neural cell surface protein F3

    基因ID

    1272, 12805, 117258

    NCBI登录号

    NP_001834, NP_778203, NP_001242992
You are here: