CD55 抗体
Our Local Distributor
北京 101111
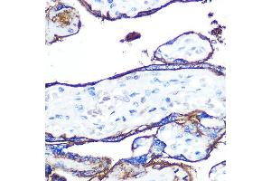
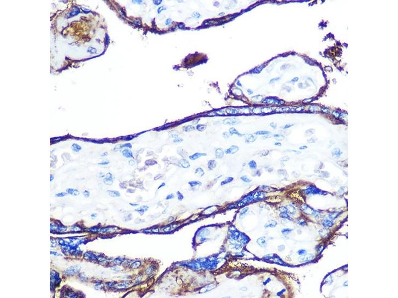
Quick Overview for CD55 抗体 (ABIN7266478)
抗原
See all CD55 抗体适用
宿主
克隆类型
标记
应用范围
-
-
原理
- CD55 Rabbit mAb
-
交叉反应
- 人
-
产品特性
- Monoclonal Antibodies
-
纯化方法
- Affinity purification
-
免疫原
- A synthesized peptide derived from human CD55
-
亚型
- IgG
-
-
-
-
应用备注
- WB,1:500 - 1:2000,IHC,1:50 - 1:200
-
限制
- 仅限研究用
-
-
-
状态
- Liquid
-
缓冲液
- PBS with 0.02 % sodium azide,0.05 % BSA,50 % glycerol, pH 7.3.
-
储存液
- Sodium azide
-
注意事项
- This product contains Sodium azide: a POISONOUS AND HAZARDOUS SUBSTANCE which should be handled by trained staff only.
-
储存条件
- -20 °C
-
储存方法
- Store at -20°C. Avoid freeze / thaw cycles.
-
-
- CD55 (Complement Decay-Accelerating Factor (CD55))
-
别名
- CD55
-
背景
- This gene encodes a glycoprotein involved in the regulation of the complement cascade. Binding of the encoded protein to complement proteins accelerates their decay, thereby disrupting the cascade and preventing damage to host cells. Antigens present on this protein constitute the Cromer blood group system (CROM). Alternative splicing results in multiple transcript variants. The predominant transcript variant encodes a membrane-bound protein, but alternatively spliced transcripts may produce soluble proteins. [provided by RefSeq, Jul 2014],CR, CROM, DAF, TC,CDs,Immunology & Inflammation,CD55
-
分子量
- 55-80kDa
-
基因ID
- 1604
-
UniProt
- P08174
-
途径
- Complement System, Regulation of Leukocyte Mediated Immunity
抗原
-