电话:
+86 (0512) 65829739
传真:
+86 (010) 6788 5057
电子邮件:
orders@antibodies-online.cn

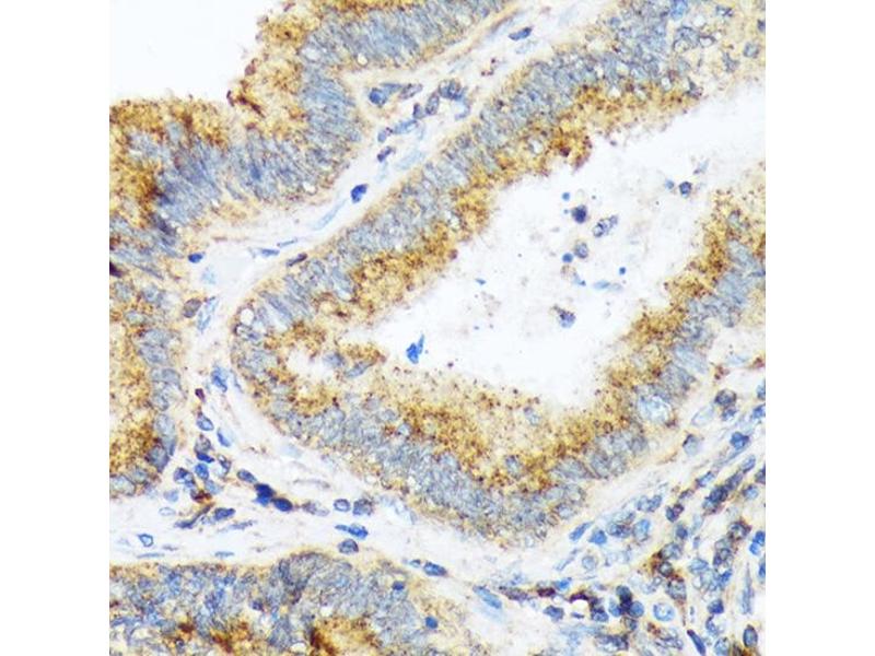
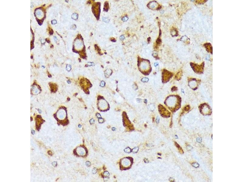
COPA 抗体

The 兔 单克隆 anti-COPA antibody (ABIN7266423) specifically detects COPA in WB 和 IHC. The antibody is reactive with 人 samples.
产品编号 ABIN7266423
发货至: 中国
Contact our Customer Service for availability and price in your country. Contact Info

Our Local Distributor

中国
北京 101111
No. 88 KeChuang 6th Street
Beijing Economic Technological Development Area
Room 801-803
4A Biotech Co.,Ltd.
Tel +86 (0512) 65829739 传真 +86 (010) 6788 5057

Quick Overview for COPA 抗体 (ABIN7266423)

抗原

See all COPA 抗体
COPA (Coatomer Protein Complex, Subunit alpha (COPA))

适用

  • 21
  • 17
  • 15
  • 4
  • 4
  • 4
  • 3
  • 3
  • 3
  • 3
  • 3
  • 3
  • 3
  • 3
  • 2
  • 1
  • 1

宿主

  • 19
  • 1
  • 1

克隆类型

  • 11
  • 10
单克隆

标记

  • 12
  • 1
  • 1
  • 1
  • 1
  • 1
  • 1
  • 1
  • 1
  • 1
This COPA antibody is un-conjugated

应用范围

  • 20
  • 11
  • 3
  • 1
  • 1
Western Blotting (WB), Immunohistochemistry (IHC)
  • 原理

    COPA Rabbit mAb

    交叉反应

    人, 小鼠, 大鼠

    产品特性

    Monoclonal Antibodies

    纯化方法

    Affinity purification

    免疫原

    A synthesized peptide derived from human COPA

    亚型

    IgG
  • 应用备注

    WB,1:500 - 1:2000,IHC,1:50 - 1:200

    限制

    仅限研究用
  • 状态

    Liquid

    缓冲液

    PBS with 0.02 % sodium azide,0.05 % BSA,50 % glycerol, pH 7.3.

    储存液

    Sodium azide

    注意事项

    This product contains Sodium azide: a POISONOUS AND HAZARDOUS SUBSTANCE which should be handled by trained staff only.

    储存条件

    -20 °C

    储存方法

    Store at -20°C. Avoid freeze / thaw cycles.
  • 抗原

    COPA (Coatomer Protein Complex, Subunit alpha (COPA))

    别名

    COPA

    背景

    In eukaryotic cells, protein transport between the endoplasmic reticulum and Golgi compartments is mediated in part by non-clathrin-coated vesicular coat proteins (COPs). Seven coat proteins have been identified, and they represent subunits of a complex known as coatomer. The subunits are designated alpha-COP, beta-COP, beta-prime-COP, gamma-COP, delta-COP, epsilon-COP, and zeta-COP. The alpha-COP, encoded by COPA, shares high sequence similarity with RET1P, the alpha subunit of the coatomer complex in yeast. Also, the N-terminal 25 amino acids of alpha-COP encode the bioactive peptide, xenin, which stimulates exocrine pancreatic secretion and may act as a gastrointestinal hormone. Alternative splicing results in multiple splice forms encoding distinct isoforms. [provided by RefSeq, Jul 2008],AILJK, HEP-COP,Signal Transduction,COPA

    分子量

    138kDa

    基因ID

    1314

    UniProt

    P53621

    途径

    Hormone Activity
You are here: