电话:
+86 (0512) 65829739
传真:
+86 (010) 6788 5057
电子邮件:
orders@antibodies-online.cn

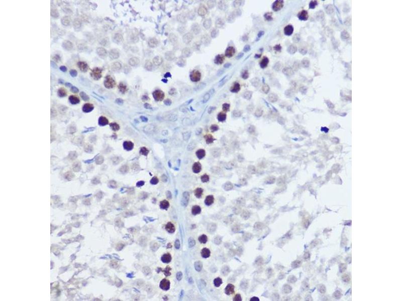
Aurora Kinase B 抗体 (AA 1-344)

The 兔 多克隆 anti-Aurora Kinase B antibody is suitable to detect Aurora Kinase B in samples from 人. It has been validated for IHC 和 WB.
产品编号 ABIN7265783
发货至: 中国
Contact our Customer Service for availability and price in your country. Contact Info

Our Local Distributor

中国
北京 101111
No. 88 KeChuang 6th Street
Beijing Economic Technological Development Area
Room 801-803
4A Biotech Co.,Ltd.
Tel +86 (0512) 65829739 传真 +86 (010) 6788 5057

Quick Overview for Aurora Kinase B 抗体 (AA 1-344) (ABIN7265783)

抗原

See all Aurora Kinase B (AURKB) 抗体
Aurora Kinase B (AURKB)

适用

  • 161
  • 65
  • 34
  • 14
  • 4
  • 4
  • 2
  • 2
  • 1
  • 1
  • 1
  • 1
  • 1

宿主

  • 136
  • 45
  • 3
  • 1

克隆类型

  • 103
  • 83
多克隆

标记

  • 91
  • 14
  • 7
  • 6
  • 4
  • 4
  • 4
  • 4
  • 4
  • 4
  • 4
  • 4
  • 4
  • 3
  • 3
  • 3
  • 3
  • 3
  • 3
  • 1
  • 1
  • 1
  • 1
  • 1
  • 1
  • 1
  • 1
  • 1
  • 1
  • 1
  • 1
  • 1
  • 1
This Aurora Kinase B antibody is un-conjugated

应用范围

  • 99
  • 86
  • 63
  • 46
  • 28
  • 20
  • 18
  • 16
  • 16
  • 14
  • 14
  • 4
  • 3
  • 3
  • 3
  • 2
  • 2
  • 2
  • 1
Immunohistochemistry (IHC), Western Blotting (WB)
  • 抗原表位

    • 49
    • 19
    • 13
    • 10
    • 9
    • 8
    • 8
    • 7
    • 6
    • 5
    • 3
    • 3
    • 2
    • 2
    • 2
    • 2
    • 2
    • 1
    • 1
    • 1
    • 1
    • 1
    • 1
    • 1
    • 1
    • 1
    • 1
    • 1
    • 1
    • 1
    • 1
    • 1
    • 1
    • 1
    AA 1-344

    原理

    Aurora B Rabbit pAb

    序列

    MAQKENSYPW PYGRQTAPSG LSTLPQRVLR KEPVTPSALV LMSRSNVQPT AAPGQKVMEN SSGTPDILTR HFTIDDFEIG RPLGKGKFGN VYLAREKKSH FIVALKVLFK SQIEKEGVEH QLRREIEIQA HLHHPNILRL YNYFYDRRRI YLILEYAPRG ELYKELQKSC TFDEQRTATI MEELADALMY CHGKKVIHRD IKPENLLLGL KGELKIADFG WSVHAPSLRR KTMCGTLDYL PPEMIEGRMH NEKVDLWCIG VLCYELLVGN PPFESASHNE TYRRIVKVDL KFPASVPMGA QDLISKLLRH NPSERLPLAQ VSAHPWVRAN SRRVLPPSAL QSVA

    交叉反应

    人, 小鼠, 大鼠

    产品特性

    Polyclonal Antibodies

    纯化方法

    Affinity purification

    免疫原

    Recombinant fusion protein containing a sequence corresponding to amino acids 1-344 of human Aurora B (NP_004208.2).

    亚型

    IgG
  • 应用备注

    WB,1:500 - 1:2000

    限制

    仅限研究用
  • 状态

    Liquid

    缓冲液

    PBS with 0.02 % sodium azide,50 % glycerol, pH 7.3.

    储存液

    Sodium azide

    注意事项

    This product contains Sodium azide: a POISONOUS AND HAZARDOUS SUBSTANCE which should be handled by trained staff only.

    储存条件

    -20 °C

    储存方法

    Store at -20°C. Avoid freeze / thaw cycles.
  • 抗原

    Aurora Kinase B (AURKB)

    别名

    AURKB

    背景

    This gene encodes a member of the aurora kinase subfamily of serine/threonine kinases. The genes encoding the other two members of this subfamily are located on chromosomes 19 and 20. These kinases participate in the regulation of alignment and segregation of chromosomes during mitosis and meiosis through association with microtubules. A pseudogene of this gene is located on chromosome 8. Alternatively spliced transcript variants have been found for this gene.,AIK2,AIM-1,AIM1,ARK2,AurB,IPL1,PPP1R48,STK12,STK5,aurkb-sv1,aurkb-sv2,AURKB,Aurora B,Epigenetics & Nuclear Signaling,Chromatin Modifying Enzymes,Phosphorylation,Cancer,Signal Transduction,Kinase,Serine/threonine kinases,Cell Biology & Developmental Biology,Cell Cycle,Centromere,Microtubules,AURKB

    分子量

    16kDa/34kDa/35kDa/39kDa

    基因ID

    9212

    UniProt

    Q96GD4

    途径

    TCR Signaling, Cell Division Cycle, Maintenance of Protein Location, Hepatitis C, Toll-Like Receptors Cascades
You are here: