电话:
+86 (0512) 65829739
传真:
+86 (010) 6788 5057
电子邮件:
orders@antibodies-online.cn

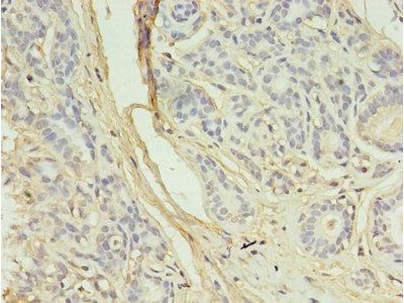
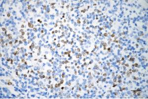
Aurora Kinase B 抗体 (AA 1-255)

The 兔 多克隆 anti-Aurora Kinase B antibody is suitable to detect Aurora Kinase B in samples from 人. It has been validated for IHC, ELISA 和 IF.
产品编号 ABIN7145079
发货至: 中国
Contact our Customer Service for availability and price in your country. Contact Info

Our Local Distributor

中国
北京 101111
No. 88 KeChuang 6th Street
Beijing Economic Technological Development Area
Room 801-803
4A Biotech Co.,Ltd.
Tel +86 (0512) 65829739 传真 +86 (010) 6788 5057

Quick Overview for Aurora Kinase B 抗体 (AA 1-255) (ABIN7145079)

抗原

See all Aurora Kinase B (AURKB) 抗体
Aurora Kinase B (AURKB)

适用

  • 161
  • 65
  • 34
  • 14
  • 4
  • 4
  • 2
  • 2
  • 1
  • 1
  • 1
  • 1
  • 1

宿主

  • 136
  • 45
  • 3
  • 1

克隆类型

  • 103
  • 83
多克隆

标记

  • 91
  • 14
  • 7
  • 6
  • 4
  • 4
  • 4
  • 4
  • 4
  • 4
  • 4
  • 4
  • 4
  • 3
  • 3
  • 3
  • 3
  • 3
  • 3
  • 1
  • 1
  • 1
  • 1
  • 1
  • 1
  • 1
  • 1
  • 1
  • 1
  • 1
  • 1
  • 1
  • 1
This Aurora Kinase B antibody is un-conjugated

应用范围

  • 100
  • 86
  • 62
  • 45
  • 28
  • 20
  • 18
  • 16
  • 16
  • 14
  • 14
  • 4
  • 3
  • 3
  • 3
  • 2
  • 2
  • 2
  • 1
Immunohistochemistry (IHC), ELISA, Immunofluorescence (IF)
  • 抗原表位

    • 49
    • 19
    • 13
    • 11
    • 9
    • 8
    • 8
    • 7
    • 6
    • 4
    • 3
    • 3
    • 2
    • 2
    • 2
    • 2
    • 2
    • 1
    • 1
    • 1
    • 1
    • 1
    • 1
    • 1
    • 1
    • 1
    • 1
    • 1
    • 1
    • 1
    • 1
    • 1
    • 1
    • 1
    AA 1-255

    原理

    AURKB Antibody

    纯化方法

    Protein G purified

    纯度

    >95 %

    免疫原

    Recombinant Human Aurora kinase B protein (1-255AA)

    亚型

    IgG
  • 应用备注

    Optimal working dilution should be determined by the investigator.

    限制

    仅限研究用
  • 状态

    Liquid

    缓冲液

    Preservative: 0.03 % Proclin 300
    Constituents: 50 % Glycerol, 0.01M PBS, PH 7.4

    储存液

    ProClin

    注意事项

    This product contains ProClin: a POISONOUS AND HAZARDOUS SUBSTANCE which should be handled by trained staff only.

    储存条件

    -20 °C,-80 °C

    储存方法

    Upon receipt, store at -20°C or -80°C. Avoid repeated freeze.
  • 抗原

    Aurora Kinase B (AURKB)

    别名

    AURKB

    背景

    Background: Serine/threonine-protein kinase component of the chromosomal passenger complex (CPC), a complex that acts as a key regulator of mitosis. The CPC complex has essential functions at the centromere in ensuring correct chromosome alignment and segregation and is required for chromatin-induced microtubule stabilization and spindle assembly. Involved in the bipolar attachment of spindle microtubules to kinetochores and is a key regulator for the onset of cytokinesis during mitosis. Required for central/midzone spindle assembly and cleavage furrow formation. Key component of the cytokinesis checkpoint, a process required to delay abscission to prevent both premature resolution of intercellular chromosome bridges and accumulation of DNA damage: phosphorylates CHMP4C, leading to retain abscission-competent VPS4 (VPS4A and/or VPS4B) at the midbody ring until abscission checkpoint signaling is terminated at late cytokinesis (PubMed:22422861, PubMed:24814515). AURKB phosphorylates the CPC complex subunits BIRC5/survivin, CDCA8/borealin and INCENP. Phosphorylation of INCENP leads to increased AURKB activity. Other known AURKB substrates involved in centromeric functions and mitosis are CENPA, DES/desmin, GPAF, KIF2C, NSUN2, RACGAP1, SEPT1, VIM/vimentin, GSG2/Haspin, and histone H3. A positive feedback loop involving GSG2 and AURKB contributes to localization of CPC to centromeres. Phosphorylation of VIM controls vimentin filament segregation in cytokinetic process, whereas histone H3 is phosphorylated at \'Ser-10\' and \'Ser-28\' during mitosis (H3S10ph and H3S28ph, respectively). A positive feedback between GSG2 and AURKB contributes to CPC localization. AURKB is also required for kinetochore localization of BUB1 and SGOL1. Phosphorylation of p53/TP53 negatively regulates its transcriptional activity. Key regulator of active promoters in resting B- and T-lymphocytes: acts by mediating phosphorylation of H3S28ph at active promoters in resting B-cells, inhibiting RNF2/RING1B-mediated ubiquitination of histone H2A and enhancing binding and activity of the USP16 deubiquitinase at transcribed genes.

    Aliases: AIK2 antibody, AIM-1 antibody, AIM1 antibody, ARK-2 antibody, ARK2 antibody, AurB antibody, AURKB antibody, AURKB_HUMAN antibody, Aurora 1 antibody, Aurora and Ipl1 like midbody associated protein 1 antibody, Aurora kinase B antibody, Aurora related kinase 2 antibody, Aurora- and Ipl1-like midbody-associated protein 1 antibody, Aurora-B antibody, Aurora-related kinase 2 antibody, Aurora/IPL1 related kinase 2 antibody, Aurora/IPL1-related kinase 2 antibody, IPL1 antibody, PPP1R48 antibody, Protein phosphatase 1 regulatory subunit 48 antibody, Serine/theronine kinase 12 antibody, Serine/threonine protein kinase 12 antibody, Serine/threonine-protein kinase 12 antibody, Serine/threonine-protein kinase aurora-B antibody, STK-1 antibody, STK1 antibody, STK12 antibody, STK5 antibody

    UniProt

    Q96GD4

    途径

    TCR Signaling, Cell Division Cycle, Maintenance of Protein Location, Hepatitis C, Toll-Like Receptors Cascades
You are here: