电话:
+86 (0512) 65829739
传真:
+86 (010) 6788 5057
电子邮件:
orders@antibodies-online.cn

ATG3 抗体

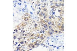
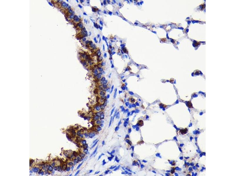
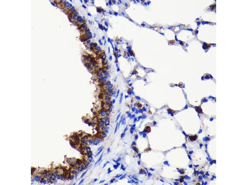
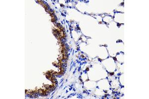
The 兔 单克隆 anti-ATG3 antibody (ABIN7265709) specifically detects ATG3 in WB 和 IHC. The antibody is reactive with 人 samples.
产品编号 ABIN7265709
发货至: 中国
Contact our Customer Service for availability and price in your country. Contact Info

Our Local Distributor

中国
北京 101111
No. 88 KeChuang 6th Street
Beijing Economic Technological Development Area
Room 801-803
4A Biotech Co.,Ltd.
Tel +86 (0512) 65829739 传真 +86 (010) 6788 5057

Quick Overview for ATG3 抗体 (ABIN7265709)

抗原

See all ATG3 抗体
ATG3 (ATG3 Autophagy Related 3 (ATG3))

适用

  • 102
  • 52
  • 49
  • 7
  • 7
  • 4
  • 4
  • 4
  • 3
  • 2
  • 1
  • 1
  • 1
  • 1
  • 1
  • 1

宿主

  • 101
  • 16
  • 3

克隆类型

  • 84
  • 36
单克隆

标记

  • 50
  • 8
  • 8
  • 6
  • 3
  • 3
  • 3
  • 3
  • 3
  • 3
  • 3
  • 3
  • 2
  • 2
  • 2
  • 2
  • 2
  • 2
  • 2
  • 2
  • 2
  • 2
  • 2
  • 1
  • 1
This ATG3 antibody is un-conjugated

应用范围

  • 87
  • 42
  • 26
  • 26
  • 26
  • 20
  • 14
  • 11
  • 10
  • 10
  • 7
  • 1
  • 1
Western Blotting (WB), Immunohistochemistry (IHC)
  • 原理

    ATG3 Rabbit mAb

    交叉反应

    人, 小鼠, 大鼠

    产品特性

    Monoclonal Antibodies

    纯化方法

    Affinity purification

    免疫原

    A synthesized peptide derived from human Apg3 (Atg3).

    亚型

    IgG
  • 应用备注

    WB,1:500 - 1:2000,IHC,1:50 - 1:200

    限制

    仅限研究用
  • 状态

    Liquid

    缓冲液

    PBS with 0.02 % sodium azide,0.05 % BSA,50 % glycerol, pH 7.3.

    储存液

    Sodium azide

    注意事项

    This product contains Sodium azide: a POISONOUS AND HAZARDOUS SUBSTANCE which should be handled by trained staff only.

    储存条件

    -20 °C

    储存方法

    Store at -20°C. Avoid freeze / thaw cycles.
  • 抗原

    ATG3 (ATG3 Autophagy Related 3 (ATG3))

    别名

    ATG3

    背景

    This gene encodes a ubiquitin-like-conjugating enzyme and is a component of ubiquitination-like systems involved in autophagy, the process of degradation, turnover and recycling of cytoplasmic constituents in eukaryotic cells. This protein is known to play a role in regulation of autophagy during cell death. A pseudogene of this gene is located on chromosome 20. Alternative splicing results in multiple transcript variants encoding different isoforms. [provided by RefSeq, Jul 2013],ATG3,APG3,APG3-LIKE,APG3L,PC3-96,Autophagy,Autophagy_ATGs,Cancer,Cardiovascular,Cell Biology & Developmental Biology,Endocrine & Metabolism,Heart,Mitochondrial metabolism,Neurodegenerative Diseases,Neuroscience,Signal Transduction,Tumor suppressors,Ubiquitin,ATG3

    分子量

    40kDa

    基因ID

    64422

    UniProt

    Q9NT62

    途径

    Autophagy
You are here: