电话:
+86 (0512) 65829739
传真:
+86 (010) 6788 5057
电子邮件:
orders@antibodies-online.cn

ASS1 抗体

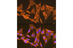
The 兔 单克隆 anti-ASS1 antibody is suitable to detect ASS1 in samples from 人. It has been validated for WB 和 IF.
产品编号 ABIN7265669
发货至: 中国
Contact our Customer Service for availability and price in your country. Contact Info

Our Local Distributor

中国
北京 101111
No. 88 KeChuang 6th Street
Beijing Economic Technological Development Area
Room 801-803
4A Biotech Co.,Ltd.
Tel +86 (0512) 65829739 传真 +86 (010) 6788 5057

Quick Overview for ASS1 抗体 (ABIN7265669)

抗原

See all ASS1 抗体
ASS1 (Argininosuccinate Synthase 1 (ASS1))

适用

  • 87
  • 43
  • 38
  • 8
  • 4
  • 4
  • 3
  • 3
  • 2
  • 2
  • 1
  • 1
  • 1

宿主

  • 72
  • 13
  • 2

克隆类型

  • 50
  • 37
单克隆

标记

  • 50
  • 6
  • 3
  • 3
  • 3
  • 3
  • 3
  • 3
  • 3
  • 3
  • 2
  • 2
  • 2
  • 1
This ASS1 antibody is un-conjugated

应用范围

  • 71
  • 56
  • 39
  • 34
  • 30
  • 18
  • 15
  • 9
  • 3
  • 1
Western Blotting (WB), Immunofluorescence (IF)
  • 原理

    ASS1 Rabbit mAb

    交叉反应

    人, 小鼠, 大鼠

    产品特性

    Monoclonal Antibodies

    纯化方法

    Affinity purification

    免疫原

    A synthesized peptide derived from human ASS1

    亚型

    IgG
  • 应用备注

    WB,1:500 - 1:2000,IF,1:50 - 1:200

    限制

    仅限研究用
  • 状态

    Liquid

    缓冲液

    PBS with 0.02 % sodium azide,0.05 % BSA,50 % glycerol, pH 7.3.

    储存液

    Sodium azide

    注意事项

    This product contains Sodium azide: a POISONOUS AND HAZARDOUS SUBSTANCE which should be handled by trained staff only.

    储存条件

    -20 °C

    储存方法

    Store at -20°C. Avoid freeze / thaw cycles.
  • 抗原

    ASS1 (Argininosuccinate Synthase 1 (ASS1))

    别名

    ASS1

    背景

    The protein encoded by this gene catalyzes the penultimate step of the arginine biosynthetic pathway. There are approximately 10 to 14 copies of this gene including the pseudogenes scattered across the human genome, among which the one located on chromosome 9 appears to be the only functional gene for argininosuccinate synthetase. Mutations in the chromosome 9 copy of this gene cause citrullinemia. Two transcript variants encoding the same protein have been found for this gene. [provided by RefSeq, Aug 2012],ASS, CTLN1,Amino acid metabolism,Cancer,Endocrine & Metabolism,Epigenetics & Nuclear Signaling,RNA Binding,Signal Transduction,ASS1

    分子量

    47kDa

    基因ID

    445

    UniProt

    P00966

    途径

    Response to Growth Hormone Stimulus, Cellular Response to Molecule of Bacterial Origin
You are here: