电话:
+86 (0512) 65829739
传真:
+86 (010) 6788 5057
电子邮件:
orders@antibodies-online.cn

SYN1 抗体

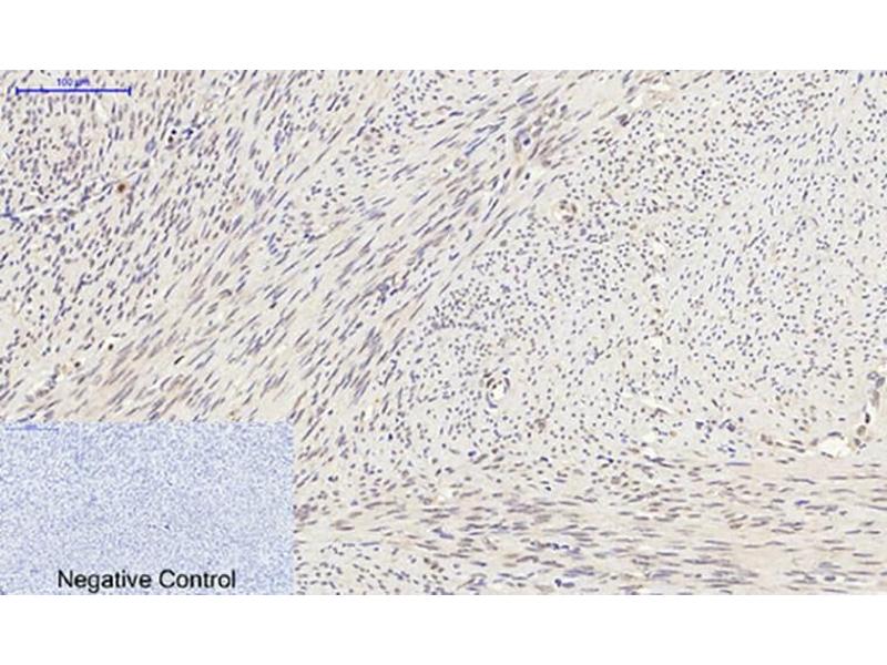
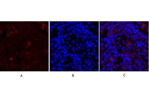
The 兔 多克隆 anti-SYN1 antibody (ABIN7210003) specifically detects SYN1 in WB, ELISA, IF 和 IHC (p). The antibody is reactive with 人, 大鼠 和 小鼠 samples.
产品编号 ABIN7210003
发货至: 中国
Contact our Customer Service for availability and price in your country. Contact Info

Our Local Distributor

中国
北京 101111
No. 88 KeChuang 6th Street
Beijing Economic Technological Development Area
Room 801-803
4A Biotech Co.,Ltd.
Tel +86 (0512) 65829739 传真 +86 (010) 6788 5057

Quick Overview for SYN1 抗体 (ABIN7210003)

抗原

See all SYN1 抗体
SYN1 (Synapsin I (SYN1))

适用

  • 128
  • 104
  • 85
  • 15
  • 5
  • 4
  • 3
  • 2
  • 2
  • 1
  • 1
人, 大鼠, 小鼠

宿主

  • 136
  • 8

克隆类型

  • 116
  • 28
多克隆

标记

  • 88
  • 7
  • 5
  • 5
  • 5
  • 5
  • 5
  • 5
  • 4
  • 2
  • 1
  • 1
  • 1
  • 1
  • 1
  • 1
  • 1
  • 1
  • 1
  • 1
  • 1
  • 1
  • 1
This SYN1 antibody is un-conjugated

应用范围

  • 107
  • 54
  • 49
  • 23
  • 14
  • 13
  • 13
  • 9
  • 9
  • 7
  • 3
  • 3
  • 2
  • 1
  • 1
Western Blotting (WB), ELISA, Immunofluorescence (IF), Immunohistochemistry (Paraffin-embedded Sections) (IHC (p))
  • 原理

    Synapsin I Polyclonal Antibody

    特异性

    Synapsin I Polyclonal Antibody detects endogenous levels of Synapsin I protein.

    纯化方法

    The antibody was affinity-purified from rabbit antiserum by affinity-chromatography using epitope-specific immunogen

    免疫原

    Synthesized peptide derived from human Synapsin I around the non-phosphorylation site of S9

    亚型

    IgG
  • 应用备注

    Optimal working dilutions should be determined experimentally by the investigator. Suggested starting dilutions are as follows: WB (1:500-1:2000), IF (1:200-1:1000), IHC-P (1:100-1:300), ELISA (1:20000). Not yet tested in other applications.

    限制

    仅限研究用
  • 状态

    Liquid

    浓度

    1 mg/mL

    缓冲液

    PBS containing 50 % Glycerol, 0.5 % BSA and 0.02 % Sodium Azide.

    储存液

    Sodium azide

    注意事项

    This product contains Sodium azide: a POISONOUS AND HAZARDOUS SUBSTANCE which should be handled by trained staff only.

    储存条件

    -20 °C

    储存方法

    Stable for one year at -20°C from date of shipment. For maximum recovery of product, centrifuge the original vial after thawing and prior to removing the cap. Aliquot to avoid repeated freezing and thawing.
  • 抗原

    SYN1 (Synapsin I (SYN1))

    别名

    Synapsin I

    背景

    Rabbit Anti-Synapsin I Polyclonal Antibody,SYN1, Synapsin-1, Brain protein 4.1, Synapsin I,SYN1 is a member of the synapsin gene family. Synapsins encode neuronal phosphoproteins which associate with the cytoplasmic surface of synaptic vesicles. Family members are characterized by common protein domains, and they are implicated in synaptogenesis and the modulation of neurotransmitter release, suggesting a potential role in several neuropsychiatric diseases. This member of the synapsin family plays a role in regulation of axonogenesis and synaptogenesis. Synapsin-1 encoded serves as a substrate for several different protein kinases and phosphorylation may function in the regulation of this protein in the nerve terminal. Mutations in this gene may be associated with X-linked disorders with primary neuronal degeneration such as Rett syndrome. Alternatively spliced transcript variants encoding different isoforms have been identified.,Synapsin-1

    基因ID

    6853

    UniProt

    P17600
You are here: