电话:
+86 (0512) 65829739
传真:
+86 (010) 6788 5057
电子邮件:
orders@antibodies-online.cn

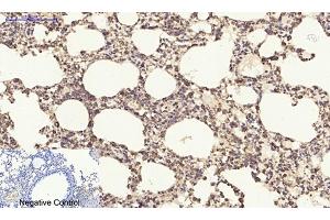
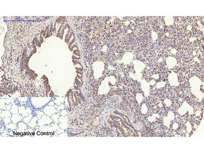
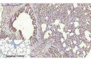
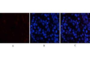
PDGFB 抗体 (AA 30-110)

This 兔 多克隆 antibody specifically detects PDGFB in WB, ELISA, IF 和 IHC (p). It exhibits reactivity toward 人, 大鼠 和 小鼠.
产品编号 ABIN7223038
发货至: 中国
Contact our Customer Service for availability and price in your country. Contact Info

Our Local Distributor

中国
北京 101111
No. 88 KeChuang 6th Street
Beijing Economic Technological Development Area
Room 801-803
4A Biotech Co.,Ltd.
Tel +86 (0512) 65829739 传真 +86 (010) 6788 5057

Quick Overview for PDGFB 抗体 (AA 30-110) (ABIN7223038)

抗原

See all PDGFB 抗体
PDGFB (Platelet Derived Growth Factor Subunit B (PDGFB))

适用

  • 56
  • 33
  • 32
  • 3
  • 2
  • 1
  • 1
  • 1
人, 大鼠, 小鼠

宿主

  • 44
  • 14
  • 2
  • 1

克隆类型

  • 46
  • 15
多克隆

标记

  • 34
  • 3
  • 2
  • 2
  • 1
  • 1
  • 1
  • 1
  • 1
  • 1
  • 1
  • 1
  • 1
  • 1
  • 1
  • 1
  • 1
  • 1
  • 1
  • 1
  • 1
  • 1
  • 1
  • 1
This PDGFB antibody is un-conjugated

应用范围

  • 43
  • 16
  • 14
  • 13
  • 13
  • 12
  • 5
  • 5
  • 5
  • 5
  • 3
  • 3
  • 2
  • 2
  • 1
  • 1
  • 1
  • 1
Western Blotting (WB), ELISA, Immunofluorescence (IF), Immunohistochemistry (Paraffin-embedded Sections) (IHC (p))
  • 抗原表位

    • 16
    • 4
    • 3
    • 3
    • 2
    • 1
    • 1
    • 1
    • 1
    • 1
    • 1
    • 1
    • 1
    • 1
    AA 30-110

    原理

    PDGF-B Polyclonal Antibody

    特异性

    PDGF-B Polyclonal Antibody detects endogenous levels of PDGF-B protein.

    纯化方法

    The antibody was affinity-purified from rabbit antiserum by affinity-chromatography using epitope-specific immunogen

    免疫原

    Synthesized peptide derived from the Internal region of human PDGF-B at AA range: 30-110

    亚型

    IgG
  • 应用备注

    Optimal working dilutions should be determined experimentally by the investigator. Suggested starting dilutions are as follows: WB (1:500-1:2000), IHC-P (1:100-1:300), ELISA (1:10000). Not yet tested in other applications.

    说明

    Primary Antibody

    限制

    仅限研究用
  • 状态

    Liquid

    浓度

    1 mg/mL

    缓冲液

    PBS containing 50 % Glycerol, 0.5 % BSA and 0.02 % Sodium Azide.

    储存液

    Sodium azide

    注意事项

    This product contains Sodium azide: a POISONOUS AND HAZARDOUS SUBSTANCE which should be handled by trained staff only.

    储存条件

    -20 °C

    储存方法

    Stable for one year at -20°C from date of shipment. For maximum recovery of product, centrifuge the original vial after thawing and prior to removing the cap. Aliquot to avoid repeated freezing and thawing.
  • 抗原

    PDGFB (Platelet Derived Growth Factor Subunit B (PDGFB))

    别名

    PDGF-B

    背景

    Rabbit Anti-PDGF-B Polyclonal Antibody,PDGFB, PDGF2, SIS, Platelet-derived growth factor subunit B, PDGF subunit B, PDGF-2, Platelet-derived growth factor B chain, Platelet-derived growth factor beta polypeptide, Proto-oncogene c-Sis, Becaplermin,PDGFB (platelet derived growth factor subunit B) encodes a member of the protein family comprised of both platelet-derived growth factors (PDGF) and vascular endothelial growth factors (VEGF). The encoded preproprotein is proteolytically processed to generate platelet-derived growth factor subunit B, which can homodimerize, or alternatively, heterodimerize with the related platelet-derived growth factor subunit A. These proteins bind and activate PDGF receptor tyrosine kinases, which play a role in a wide range of developmental processes. Mutations in PDGFB are associated with meningioma. Reciprocal translocations between chromosomes 22 and 17, at sites where this gene and that for collagen type 1, alpha 1 are located, are associated with dermatofibrosarcoma protuberans, a rare skin tumor. Alternative splicing results in multiple transcript variants.,Platelet-derived growth factor subunit B

    分子量

    observerd band 27kDa

    基因ID

    5155

    UniProt

    P01127

    途径

    RTK signaling, Fc-epsilon Receptor Signaling Pathway, EGFR Signaling Pathway, Neurotrophin Signaling Pathway, Regulation of Carbohydrate Metabolic Process, Smooth Muscle Cell Migration, Platelet-derived growth Factor Receptor Signaling
You are here: