电话:
+86 (0512) 65829739
传真:
+86 (010) 6788 5057
电子邮件:
orders@antibodies-online.cn

OPN4 抗体 (AA 400-480)

The 兔 多克隆 anti-OPN4 antibody (ABIN7215736) specifically detects OPN4 in WB, ELISA 和 IF. The antibody is reactive with 人 samples.
产品编号 ABIN7215736
发货至: 中国
Contact our Customer Service for availability and price in your country. Contact Info

Our Local Distributor

中国
北京 101111
No. 88 KeChuang 6th Street
Beijing Economic Technological Development Area
Room 801-803
4A Biotech Co.,Ltd.
Tel +86 (0512) 65829739 传真 +86 (010) 6788 5057

Quick Overview for OPN4 抗体 (AA 400-480) (ABIN7215736)

抗原

See all OPN4 抗体
OPN4 (Opsin 4 (OPN4))

适用

  • 6
  • 2
  • 1

宿主

  • 7

克隆类型

  • 7
多克隆

标记

  • 7
This OPN4 antibody is un-conjugated

应用范围

  • 7
  • 5
  • 3
  • 1
Western Blotting (WB), ELISA, Immunofluorescence (IF)
  • 抗原表位

    • 3
    • 1
    • 1
    • 1
    • 1
    AA 400-480

    原理

    Melanopsin Polyclonal Antibody

    特异性

    Melanopsin Polyclonal Antibody detects endogenous levels of Melanopsin protein.

    纯化方法

    The antibody was affinity-purified from rabbit antiserum by affinity-chromatography using epitope-specific immunogen

    免疫原

    Synthesized peptide derived from the C-terminal region of human Melanopsin at AA range: 400-480

    亚型

    IgG
  • 应用备注

    Optimal working dilutions should be determined experimentally by the investigator. Suggested starting dilutions are as follows: WB (1:500-1:2000), IF (1:200-1:1000), ELISA (1:5000). Not yet tested in other applications.

    说明

    Primary Antibody

    限制

    仅限研究用
  • 状态

    Liquid

    浓度

    1 mg/mL

    缓冲液

    PBS containing 50 % Glycerol, 0.5 % BSA and 0.02 % Sodium Azide.

    储存液

    Sodium azide

    注意事项

    This product contains Sodium azide: a POISONOUS AND HAZARDOUS SUBSTANCE which should be handled by trained staff only.

    储存条件

    -20 °C

    储存方法

    Stable for one year at -20°C from date of shipment. For maximum recovery of product, centrifuge the original vial after thawing and prior to removing the cap. Aliquot to avoid repeated freezing and thawing.
  • 抗原

    OPN4 (Opsin 4 (OPN4))

    别名

    Melanopsin

    背景

    Rabbit Anti-Melanopsin Polyclonal Antibody,OPN4, MOP, Melanopsin, Opsin-4,Opsins are members of the guanine nucleotide-binding protein (G protein)-coupled receptor superfamily. OPN4 encodes a photoreceptive opsin protein melanopsin that is expressed within the ganglion and amacrine cell layers of the retina. In mouse, retinal ganglion cell axons expressing this gene projected to the suprachiasmatic nucleus and other brain nuclei involved in circadian photoentrainment. In mouse, this protein is coupled to a transient receptor potential (TRP) ion channel through a G protein signaling pathway and produces a physiologic light response via membrane depolarization and increased intracellular calcium. Melanopsin functions as a sensory photopigment and may also have photoisomerase activity. Experiments with knockout mice indicate that this gene attenuates, but does not abolish, photoentrainment. Alternative splicing results in multiple transcript variants encoding different isoforms.,Melanopsin

    分子量

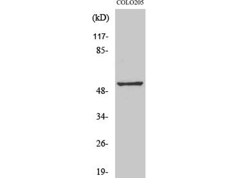
    observerd band 55kDa

    基因ID

    94233

    UniProt

    Q9UHM6
You are here: