电话:
+86 (0512) 65829739
传真:
+86 (010) 6788 5057
电子邮件:
orders@antibodies-online.cn

Cyclin L1 抗体 (AA 430-510)

This 兔 多克隆 antibody specifically detects Cyclin L1 in WB, ELISA 和 IHC (p). It exhibits reactivity toward 人, 小鼠 和 大鼠.
产品编号 ABIN7214404
发货至: 中国
Contact our Customer Service for availability and price in your country. Contact Info

Our Local Distributor

中国
北京 101111
No. 88 KeChuang 6th Street
Beijing Economic Technological Development Area
Room 801-803
4A Biotech Co.,Ltd.
Tel +86 (0512) 65829739 传真 +86 (010) 6788 5057

Quick Overview for Cyclin L1 抗体 (AA 430-510) (ABIN7214404)

抗原

See all Cyclin L1 (CCNL1) 抗体
Cyclin L1 (CCNL1)

适用

  • 27
  • 19
  • 19
  • 6
  • 5
  • 5
  • 4
  • 4
  • 3
  • 2
  • 2
  • 1
  • 1
  • 1
人, 小鼠, 大鼠

宿主

  • 25
  • 3

克隆类型

  • 25
  • 3
多克隆

标记

  • 21
  • 1
  • 1
  • 1
  • 1
  • 1
  • 1
  • 1
This Cyclin L1 antibody is un-conjugated

应用范围

  • 18
  • 12
  • 10
  • 6
  • 5
  • 5
  • 2
  • 1
  • 1
  • 1
  • 1
  • 1
Western Blotting (WB), ELISA, Immunohistochemistry (Paraffin-embedded Sections) (IHC (p))
  • 抗原表位

    • 4
    • 3
    • 2
    • 2
    • 1
    • 1
    • 1
    • 1
    • 1
    • 1
    • 1
    • 1
    AA 430-510

    原理

    Cyclin L1 Polyclonal Antibody

    特异性

    Cyclin L1 Polyclonal Antibody detects endogenous levels of Cyclin L1 protein.

    纯化方法

    The antibody was affinity-purified from rabbit antiserum by affinity-chromatography using epitope-specific immunogen

    免疫原

    Synthesized peptide derived from the C-terminal region of human Cyclin L1 at AA range: 430-510

    亚型

    IgG
  • 应用备注

    Optimal working dilutions should be determined experimentally by the investigator. Suggested starting dilutions are as follows: WB (1:500-1:2000), IHC-P (1:100-1:300), ELISA (1:10000). Not yet tested in other applications.

    说明

    Primary Antibody

    限制

    仅限研究用
  • 状态

    Liquid

    浓度

    1 mg/mL

    缓冲液

    PBS containing 50 % Glycerol, 0.5 % BSA and 0.02 % Sodium Azide.

    储存液

    Sodium azide

    注意事项

    This product contains Sodium azide: a POISONOUS AND HAZARDOUS SUBSTANCE which should be handled by trained staff only.

    储存条件

    -20 °C

    储存方法

    Stable for one year at -20°C from date of shipment. For maximum recovery of product, centrifuge the original vial after thawing and prior to removing the cap. Aliquot to avoid repeated freezing and thawing.
  • 抗原

    Cyclin L1 (CCNL1)

    别名

    Cyclin L1

    背景

    Rabbit Anti-Cyclin L1 Polyclonal Antibody,CCNL1, BM-001, Cyclin-L1, Cyclin-L,Cell proliferation is controlled at specific stages of the cell cycle by distinct protein kinase complexes. These complexes consist of a catalytic subunit associating with a specific regulatory subunit to form the active kinase. The cyclins, which include cyclin A, B, C, D, E, F, G, H, I, K, L, T and their related proteins, including Dbf4, comprise the regulatory subunits of these kinase complexes. The controlled activation of the kinase complexes at various intervals of the cell cycle is regulated by the availability of the cyclins to the catalytic subunit. Unlike the catalytic subunit, which is expressed continually, the expression and stability of the regulatory subunit fluctuates depending on the stage of the cell cycle and, thereby, regulates the kinase activity. Cyclin L1 is a ubiquitously expressed nuclear protein that can be detected in higher levels in thymus. In neck and head squamous cell carcinomas, cyclin L1 can be overexpressed and is therefore often considered a proto-oncogene. It interacts with POLR2A, CDC2L and SFRS2. Cyclin L1 plays a role in the mRNA splicing process regulation.,Cyclin-L1

    分子量

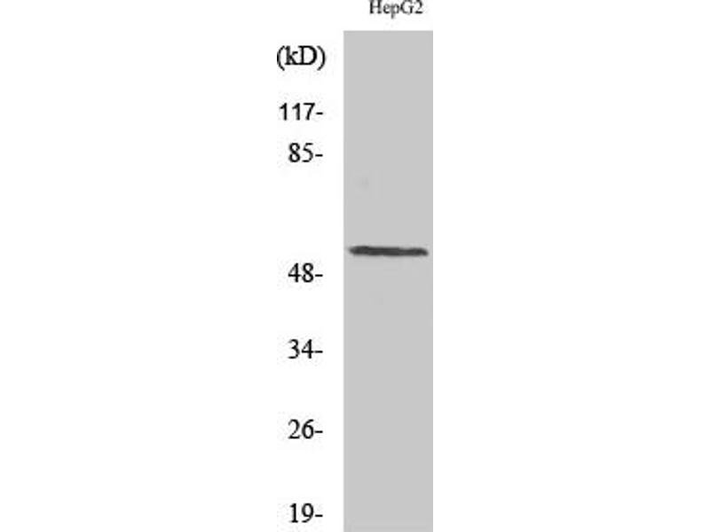
    observerd band 60kDa

    基因ID

    57018

    UniProt

    Q9UK58
You are here: