电话:
+86 (0512) 65829739
传真:
+86 (010) 6788 5057
电子邮件:
orders@antibodies-online.cn

Cyclin A 抗体 (AA 190-270)

This 兔 多克隆 antibody specifically detects Cyclin A in WB, IF, ELISA 和 IHC (p). It exhibits reactivity toward 人, 小鼠, 大鼠 和 猴.
产品编号 ABIN7214390
发货至: 中国
Contact our Customer Service for availability and price in your country. Contact Info

Our Local Distributor

中国
北京 101111
No. 88 KeChuang 6th Street
Beijing Economic Technological Development Area
Room 801-803
4A Biotech Co.,Ltd.
Tel +86 (0512) 65829739 传真 +86 (010) 6788 5057

Quick Overview for Cyclin A 抗体 (AA 190-270) (ABIN7214390)

抗原

See all Cyclin A (CCNA2) 抗体
Cyclin A (CCNA2) (Cyclin A2 (CCNA2))

适用

  • 127
  • 74
  • 52
  • 30
  • 15
  • 15
  • 12
  • 6
  • 5
  • 4
  • 3
  • 3
  • 2
  • 2
  • 1
  • 1
人, 小鼠, 大鼠, 猴

宿主

  • 89
  • 43
  • 1
  • 1

克隆类型

  • 87
  • 47
多克隆

标记

  • 73
  • 8
  • 5
  • 5
  • 5
  • 5
  • 5
  • 5
  • 3
  • 3
  • 2
  • 2
  • 2
  • 2
  • 2
  • 2
  • 2
  • 2
  • 1
This Cyclin A antibody is un-conjugated

应用范围

  • 88
  • 64
  • 48
  • 32
  • 22
  • 22
  • 16
  • 14
  • 10
  • 4
  • 3
  • 3
  • 2
  • 2
  • 2
  • 1
  • 1
  • 1
  • 1
Western Blotting (WB), Immunofluorescence (IF), ELISA, Immunohistochemistry (Paraffin-embedded Sections) (IHC (p))
  • 抗原表位

    • 13
    • 5
    • 2
    • 2
    • 2
    • 2
    • 2
    • 1
    • 1
    • 1
    • 1
    • 1
    • 1
    • 1
    • 1
    • 1
    • 1
    AA 190-270

    原理

    Cyclin A Polyclonal Antibody

    特异性

    Cyclin A Polyclonal Antibody detects endogenous levels of Cyclin A protein.

    纯化方法

    The antibody was affinity-purified from rabbit antiserum by affinity-chromatography using epitope-specific immunogen

    免疫原

    Synthesized peptide derived from the Internal region of human Cyclin A at AA range: 190-270

    亚型

    IgG
  • 应用备注

    Optimal working dilutions should be determined experimentally by the investigator. Suggested starting dilutions are as follows: WB (1:500-1:2000), IHC-P (1:100-1:300), IF (1:200-1:1000), ELISA (1:10000). Not yet tested in other applications.

    说明

    Primary Antibody

    限制

    仅限研究用
  • 状态

    Liquid

    浓度

    1 mg/mL

    缓冲液

    PBS containing 50 % Glycerol, 0.5 % BSA and 0.02 % Sodium Azide.

    储存液

    Sodium azide

    注意事项

    This product contains Sodium azide: a POISONOUS AND HAZARDOUS SUBSTANCE which should be handled by trained staff only.

    储存条件

    -20 °C

    储存方法

    Stable for one year at -20°C from date of shipment. For maximum recovery of product, centrifuge the original vial after thawing and prior to removing the cap. Aliquot to avoid repeated freezing and thawing.
  • 抗原

    Cyclin A (CCNA2) (Cyclin A2 (CCNA2))

    别名

    Cyclin A

    背景

    Rabbit Anti-Cyclin A Polyclonal Antibody,CCNA1, Cyclin-A1, CCNA2, CCN1, CCNA, Cyclin-A2, Cyclin-A,Cyclin A1 encoded by CCNA1 belongs to the highly conserved cyclin family, whose members are characterized by a dramatic periodicity in protein abundance through the cell cycle. Cyclins function as regulators of CDK kinases. Different cyclins exhibit distinct expression and degradation patterns which contribute to the temporal coordination of each mitotic event. The cyclin encoded by this gene was shown to be expressed in testis and brain, as well as in several leukemic cell lines, and is thought to primarily function in the control of the germline meiotic cell cycle. This cyclin binds both CDK2 and CDC2 kinases, which give two distinct kinase activities, one appearing in S phase, the other in G2, and thus regulate separate functions in cell cycle. This cyclin was found to bind to important cell cycle regulators, such as Rb family proteins, transcription factor E2F-1, and the p21 family proteins. Multiple transcript variants encoding different isoforms have been found for CCNA1.,Cyclin-A1

    分子量

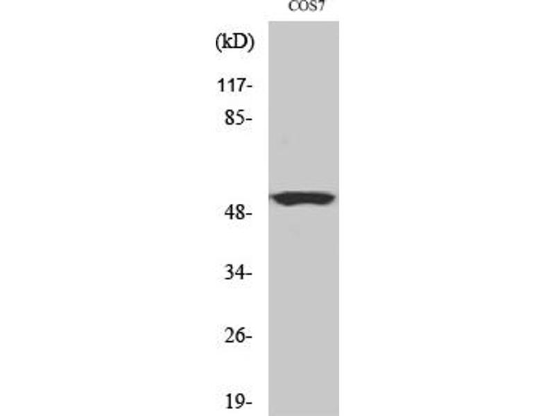
    observerd band 53kDa

    基因ID

    8900, 890

    途径

    PI3K-Akt Signaling, Cell Division Cycle, AMPK Signaling, Mitotic G1-G1/S Phases, DNA Replication, M Phase, Synthesis of DNA
You are here: