电话:
+86 (0512) 65829739
传真:
+86 (010) 6788 5057
电子邮件:
orders@antibodies-online.cn

Collagen Type I 抗体

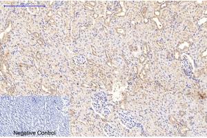
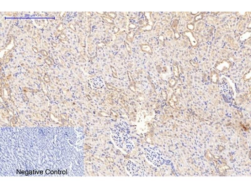
The 小鼠 单克隆 anti-Collagen Type I antibody (Clone 4H10) (ABIN7212386) specifically detects Collagen Type I in IF 和 IHC (p). The antibody is reactive with 人, 小鼠 和 大鼠 samples.
产品编号 ABIN7212386
发货至: 中国
Contact our Customer Service for availability and price in your country. Contact Info

Our Local Distributor

中国
北京 101111
No. 88 KeChuang 6th Street
Beijing Economic Technological Development Area
Room 801-803
4A Biotech Co.,Ltd.
Tel +86 (0512) 65829739 传真 +86 (010) 6788 5057

Quick Overview for Collagen Type I 抗体 (ABIN7212386)

抗原

See all Collagen Type I (COL1) 抗体
Collagen Type I (COL1) (Collagen, Type I (COL1))

适用

  • 98
  • 51
  • 45
  • 17
  • 15
  • 5
  • 4
  • 3
  • 3
  • 3
  • 2
  • 2
  • 2
  • 2
  • 2
  • 1
  • 1
  • 1
  • 1
人, 小鼠, 大鼠

宿主

  • 65
  • 38
  • 13
小鼠

克隆类型

  • 69
  • 47
单克隆

标记

  • 61
  • 14
  • 5
  • 4
  • 2
  • 2
  • 2
  • 2
  • 2
  • 2
  • 2
  • 2
  • 2
  • 2
  • 2
  • 1
  • 1
  • 1
  • 1
  • 1
  • 1
  • 1
  • 1
  • 1
  • 1
This Collagen Type I antibody is un-conjugated

应用范围

  • 75
  • 43
  • 41
  • 31
  • 28
  • 27
  • 25
  • 23
  • 18
  • 17
  • 16
  • 13
  • 10
  • 5
  • 4
  • 3
  • 1
Immunofluorescence (IF), Immunohistochemistry (Paraffin-embedded Sections) (IHC (p))

克隆位点

4H10
  • 原理

    Collagen I Mouse Monoclonal Antibody (4H10)

    特异性

    The antibody detects endogenous Collagen I protein.

    纯化方法

    The antibody was affinity-purified from mouse ascites by affinity-chromatography using specific immunogen

    免疫原

    Synthetic Peptide of Collagen I

    亚型

    IgG1
  • 应用备注

    Optimal working dilutions should be determined experimentally by the investigator. Suggested starting dilutions are as follows: IHC-P (1:50-1:200).

    说明

    Primary Antibody

    限制

    仅限研究用
  • 状态

    Liquid

    浓度

    1 mg/mL

    缓冲液

    PBS, pH 7.4, containing 0.02 % Sodium Azide as preservative and 50 % Glycerol.

    储存液

    Sodium azide

    注意事项

    This product contains Sodium azide: a POISONOUS AND HAZARDOUS SUBSTANCE which should be handled by trained staff only.

    储存条件

    -20 °C

    储存方法

    Stable for one year at -20°C from date of shipment. For maximum recovery of product, centrifuge the original vial after thawing and prior to removing the cap. Aliquot to avoid repeated freezing and thawing.
  • 抗原

    Collagen Type I (COL1) (Collagen, Type I (COL1))

    别名

    Collagen I

    背景

    Mouse Anti-Collagen I Mouse Monoclonal Antibody (4H10),Collagen alpha-1(I) chain, Alpha-1 type I collagen,COL1A1 (collagen type I alpha 1 chain) encodes the pro-alpha1 chains of type I collagen whose triple helix comprises two alpha1 chains and one alpha2 chain. Type I is a fibril-forming collagen found in most connective tissues and is abundant in bone, cornea, dermis and tendon. Mutations in COL1A1 are associated with osteogenesis imperfecta types I-IV, Ehlers-Danlos syndrome type VIIA, Ehlers-Danlos syndrome Classical type, Caffey Disease and idiopathic osteoporosis. Reciprocal translocations between chromosomes 17 and 22, where this gene and the gene for platelet-derived growth factor beta are located, are associated with a particular type of skin tumor called dermatofibrosarcoma protuberans, resulting from unregulated expression of the growth factor. Two transcripts, resulting from the use of alternate polyadenylation signals, have been identified for COL1A1.,Collagen alpha-1(I) chain (Alpha-1 type I collagen)

    分子量

    observerd band 139kDa

    基因ID

    1277, 1278

    UniProt

    P02452
You are here: