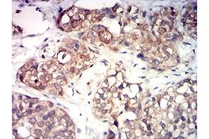
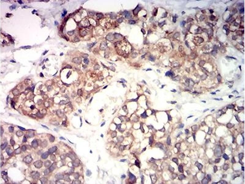
SETD8 抗体 (AA 109-272)
Our Local Distributor
北京 101111
Quick Overview for SETD8 抗体 (AA 109-272) (ABIN7193414)
抗原
See all SETD8 抗体适用
宿主
克隆类型
标记
应用范围
克隆位点
-
-
抗原表位
- AA 109-272
-
原理
- KMT5A Antibody
-
纯化方法
- Purified antibody
-
免疫原
- Purified recombinant fragment of human KMT5A (AA: 109-272) expressed in E. Coli.
-
亚型
- IgG1
-
-
-
-
应用备注
-
ELISA: 1/10000
FCM: 1/200 - 1/400
-
限制
- 仅限研究用
-
-
-
状态
- Liquid
-
缓冲液
- Purified antibody in PBS with 0.05 % sodium azide.
-
储存液
- Sodium azide
-
注意事项
- This product contains Sodium azide: a POISONOUS AND HAZARDOUS SUBSTANCE which should be handled by trained staff only.
-
储存条件
- 4 °C,-20 °C
-
储存方法
- Store at 4°C short term. Aliquot and store at -20°C long term. Avoid freeze/thaw cycles.
-
-
- SETD8 (SET Domain Containing (Lysine Methyltransferase) 8 (SETD8))
-
别名
- KMT5A
-
背景
-
The protein encoded by this gene is a protein-lysine N-methyltransferase that can monomethylate Lys-20 of histone H4 to effect transcriptional repression of some genes. The encoded protein is required for cell proliferation and plays a role in chromatin condensation. [provided by RefSeq, May 2016]
-
分子量
- 42.9 kDa
-
基因ID
- 387893
-
UniProt
- Q9NQR1
抗原
-