电话:
+86 (0512) 65829739
传真:
+86 (010) 6788 5057
电子邮件:
orders@antibodies-online.cn

LLGL2 抗体

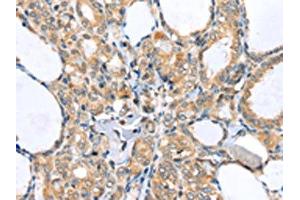
The 兔 多克隆 anti-LLGL2 antibody is suitable to detect LLGL2 in samples from 人. It has been validated for ELISA 和 IHC.
产品编号 ABIN7191287
发货至: 中国
Contact our Customer Service for availability and price in your country. Contact Info

Our Local Distributor

中国
北京 101111
No. 88 KeChuang 6th Street
Beijing Economic Technological Development Area
Room 801-803
4A Biotech Co.,Ltd.
Tel +86 (0512) 65829739 传真 +86 (010) 6788 5057

Quick Overview for LLGL2 抗体 (ABIN7191287)

抗原

See all LLGL2 抗体
LLGL2 (Lethal Giant Larvae Homolog 2 (LLGL2))

适用

  • 29
  • 5
  • 2

宿主

  • 28
  • 4

克隆类型

  • 31
  • 1
多克隆

标记

  • 22
  • 2
  • 1
  • 1
  • 1
  • 1
  • 1
  • 1
  • 1
  • 1
This LLGL2 antibody is un-conjugated

应用范围

  • 21
  • 11
  • 3
  • 2
  • 2
  • 2
  • 1
  • 1
  • 1
  • 1
  • 1
  • 1
ELISA, Immunohistochemistry (IHC)
  • 原理

    LLGL2 Antibody

    交叉反应

    小鼠

    纯化方法

    Antigen affinity purification

    免疫原

    Synthetic peptide of Human LLGL2

    亚型

    IgG
  • 应用备注

    Optimal working dilution should be determined by the investigator.

    限制

    仅限研究用
  • 状态

    Liquid

    缓冲液

     pH 7.4 PBS, 0.05 % Sodium azide, 40 % Glycerol

    储存液

    Sodium azide

    注意事项

    This product contains Sodium azide: a POISONOUS AND HAZARDOUS SUBSTANCE which should be handled by trained staff only.

    储存条件

    -20 °C,-80 °C

    储存方法

    Upon receipt, store at -20°C or -80°C. Avoid repeated freeze.
  • 抗原

    LLGL2 (Lethal Giant Larvae Homolog 2 (LLGL2))

    别名

    LLGL2

    背景

    Background: The lethal (2) giant larvae protein of Drosophila plays a role in asymmetric cell division, epithelial cell polarity, and cell migration. This human gene encodes a protein similar to lethal (2) giant larvae of Drosophila. In fly, the protein's ability to localize cell fate determinants is regulated by the atypical protein kinase C (aPKC). In human, this protein interacts with aPKC-containing complexes and is cortically localized in mitotic cells. Alternative splicing results in multiple transcript variants encoding different isoforms.

    Aliases: HGL antibody, Human giant larvae homolog antibody, L2GL2 antibody, L2GL2_HUMAN antibody, Lethal 2 giant larvae protein homolog 2 antibody, Lethal giant larvae homolog 2 antibody, Lethal(2) giant larvae protein homolog 2 antibody, LGL2 antibody, LLGL2 antibody

    UniProt

    Q6P1M3

    途径

    WNT signaling
You are here: