电话:
+86 (0512) 65829739
传真:
+86 (010) 6788 5057
电子邮件:
orders@antibodies-online.cn

DMBT1 抗体

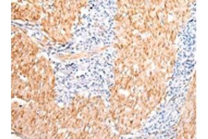
The 兔 多克隆 anti-DMBT1 antibody is suitable to detect DMBT1 in samples from 人. It has been validated for IHC 和 ELISA.
产品编号 ABIN7190483
发货至: 中国
Contact our Customer Service for availability and price in your country. Contact Info

Our Local Distributor

中国
北京 101111
No. 88 KeChuang 6th Street
Beijing Economic Technological Development Area
Room 801-803
4A Biotech Co.,Ltd.
Tel +86 (0512) 65829739 传真 +86 (010) 6788 5057

Quick Overview for DMBT1 抗体 (ABIN7190483)

抗原

See all DMBT1 抗体
DMBT1 (Deleted in Malignant Brain Tumors 1 (DMBT1))

适用

  • 15
  • 5
  • 4

宿主

  • 16
  • 2
  • 1
  • 1

克隆类型

  • 17
  • 3
多克隆

标记

  • 13
  • 1
  • 1
  • 1
  • 1
  • 1
  • 1
  • 1
This DMBT1 antibody is un-conjugated

应用范围

  • 11
  • 4
  • 4
  • 2
  • 2
  • 2
  • 1
  • 1
  • 1
  • 1
  • 1
  • 1
Immunohistochemistry (IHC), ELISA
  • 原理

    DMBT1 Antibody

    交叉反应

    小鼠, 大鼠

    纯化方法

    Antigen affinity purification

    免疫原

    Synthetic peptide of Human DMBT1

    亚型

    IgG
  • 应用备注

    Optimal working dilution should be determined by the investigator.

    限制

    仅限研究用
  • 状态

    Liquid

    缓冲液

     pH 7.4 PBS, 0.05 % Sodium azide, 40 % Glycerol

    储存液

    Sodium azide

    注意事项

    This product contains Sodium azide: a POISONOUS AND HAZARDOUS SUBSTANCE which should be handled by trained staff only.

    储存条件

    -20 °C,-80 °C

    储存方法

    Upon receipt, store at -20°C or -80°C. Avoid repeated freeze.
  • 抗原

    DMBT1 (Deleted in Malignant Brain Tumors 1 (DMBT1))

    别名

    DMBT1

    背景

    Background: Loss of sequences from human chromosome 10q has been associated with the progression of human cancers. The gene DMBT1 was originally isolated based on its deletion in a medulloblastoma cell line. DMBT1 is expressed with transcripts of 6.0, 7.5, and 8.0 kb in fetal lung and with one transcript of 8.0 kb in adult lung, although the 7.5 kb transcript has not been characterized. The DMBT1 protein is a glycoprotein containing multiple scavenger receptor cysteine-rich (SRCR) domains separated by SRCR-interspersed domains (SID). Transcript variant 2 (8.0 kb) has been shown to bind surfactant protein D independently of carbohydrate recognition. This indicates that DMBT1 may not be a classical tumor suppressor gene, but rather play a role in the interaction of tumor cells and the immune system.

    Aliases: Apactin antibody, CRP antibody, CRP-[a] antibody, CRP-[b] antibody, CRP-ductin antibody, Crpd antibody, DBMT1 antibody, Deleted in malignant brain tumors 1 antibody, Deleted in malignant brain tumors 1 protein antibody, DMBT 1 antibody, DMBT1 antibody, DMBT1 prototype precursor antibody, DMBT1/6kb.1 protein precursor antibody, DMBT1/8kb.1 protein antibody, DMBT1/8kb.2 protein precursor antibody, DMBT1_HUMAN antibody, Ebnerin antibody, FLJ61058 antibody, Glycoprotein 300 antibody, Glycoprotein 340 antibody, Gp 340 antibody, Gp-340 antibody, gp300 antibody, GP340 antibody, Gp340 variant protein antibody, Hensin antibody, MGC164738 antibody, Mucin-like glycoprotein antibody, Muclin antibody, OTTHUMP00000020654 antibody, OTTHUMP00000020655 antibody, OTTHUMP00000020656 antibody, OTTHUMP00000020657 antibody, OTTHUMP00000020658 antibody, OTTHUMP00000020659 antibody, OTTHUMP00000020660 antibody, OTTHUMP00000020661 antibody, OTTHUMP00000020662 antibody, OTTHUMP00000020663 antibody, p80 antibody, Pancrin antibody, SAG antibody, Salivary agglutinin antibody, Surfactant pulmonary associated D binding protein antibody, Surfactant pulmonary associated protein D binding protein antibody, Surfactant pulmonary-associated D-binding protein antibody, Vomeroglandin antibody

    UniProt

    Q9UGM3

    途径

    Activation of Innate immune Response
You are here: