电话:
+86 (0512) 65829739
传真:
+86 (010) 6788 5057
电子邮件:
orders@antibodies-online.cn

TUBE1 抗体

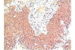
This 小鼠 单克隆 antibody specifically detects TUBE1 in IHC 和 ELISA. It exhibits reactivity toward 人.
产品编号 ABIN7189558
发货至: 中国
Contact our Customer Service for availability and price in your country. Contact Info

Our Local Distributor

中国
北京 101111
No. 88 KeChuang 6th Street
Beijing Economic Technological Development Area
Room 801-803
4A Biotech Co.,Ltd.
Tel +86 (0512) 65829739 传真 +86 (010) 6788 5057

Quick Overview for TUBE1 抗体 (ABIN7189558)

抗原

See all TUBE1 抗体
TUBE1 (Tubulin, epsilon 1 (TUBE1))

适用

  • 22
  • 16
  • 13
  • 4
  • 4
  • 3
  • 3
  • 2
  • 2
  • 2
  • 1
  • 1
  • 1

宿主

  • 12
  • 12
小鼠

克隆类型

  • 12
  • 12
单克隆

标记

  • 22
  • 1
  • 1
This TUBE1 antibody is un-conjugated

应用范围

  • 19
  • 8
  • 4
  • 4
  • 4
  • 3
  • 2
  • 1
Immunohistochemistry (IHC), ELISA
  • 原理

    TUBE1 Monoclonal Antibody

    交叉反应

    小鼠, 大鼠

    纯化方法

    The antibody was affinity-purified from mouse ascites by affinity-chromatography using specific immunogen.

    免疫原

    Synthetic Peptide of Epsilon Tubulin

    亚型

    IgG
  • 应用备注

    Optimal working dilution should be determined by the investigator.

    限制

    仅限研究用
  • 状态

    Liquid

    缓冲液

    PBS containing 50 % glycerol, 0.5 % BSA and 0.02 % sodium azide.

    储存液

    Sodium azide

    注意事项

    This product contains Sodium azide: a POISONOUS AND HAZARDOUS SUBSTANCE which should be handled by trained staff only.

    储存条件

    -20 °C,-80 °C

    储存方法

    Upon receipt, store at -20°C or -80°C. Avoid repeated freeze.
  • 抗原

    TUBE1 (Tubulin, epsilon 1 (TUBE1))

    别名

    TUBE1

    背景

    Tubulin epsilon chain (Epsilon-tubulin)

    UniProt

    Q9UJT0

    途径

    Microtubule Dynamics
You are here: