电话:
+86 (0512) 65829739
传真:
+86 (010) 6788 5057
电子邮件:
orders@antibodies-online.cn

TUBE1 抗体

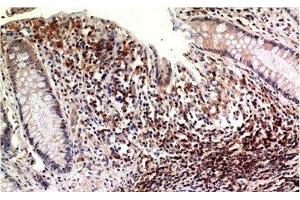
The 小鼠 单克隆 anti-TUBE1 antibody (Clone 3C1) (ABIN7250614) specifically detects TUBE1 in IHC (p). The antibody is reactive with 人, 小鼠 和 大鼠 samples.
产品编号 ABIN7250614
发货至: 中国
Contact our Customer Service for availability and price in your country. Contact Info

Our Local Distributor

中国
北京 101111
No. 88 KeChuang 6th Street
Beijing Economic Technological Development Area
Room 801-803
4A Biotech Co.,Ltd.
Tel +86 (0512) 65829739 传真 +86 (010) 6788 5057

Quick Overview for TUBE1 抗体 (ABIN7250614)

抗原

See all TUBE1 抗体
TUBE1 (Tubulin, epsilon 1 (TUBE1))

适用

  • 22
  • 15
  • 12
  • 4
  • 4
  • 3
  • 3
  • 2
  • 2
  • 2
  • 1
  • 1
  • 1
人, 小鼠, 大鼠

宿主

  • 12
  • 12
小鼠

克隆类型

  • 12
  • 12
单克隆

标记

  • 22
  • 1
  • 1
This TUBE1 antibody is un-conjugated

应用范围

  • 19
  • 8
  • 5
  • 4
  • 4
  • 3
  • 2
Immunohistochemistry (Paraffin-embedded Sections) (IHC (p))

克隆位点

3C1
  • 产品特性

    Monoclonal Antibody

    纯化方法

    Protein A purification

    免疫原

    Synthetic Peptide of Epsilon Tubulin

    亚型

    IgG
  • 应用备注

    IHC 1:100-200

    限制

    仅限研究用
  • 状态

    Liquid

    浓度

    1 mg/mL

    缓冲液

    PBS with 0.02 % sodium azide, 0.5 % BSA and 50 % glycerol, pH 7.4

    储存液

    Sodium azide

    注意事项

    This product contains Sodium azide: a POISONOUS AND HAZARDOUS SUBSTANCE which should be handled by trained staff only.

    储存条件

    -20 °C

    储存方法

    Store at -20°C. Avoid freeze / thaw cycles.
  • 抗原

    TUBE1 (Tubulin, epsilon 1 (TUBE1))

    别名

    epsilon Tubulin

    背景

    This gene encodes a member of the tubulin superfamily. This protein localizes to the centriolar sub-distal appendages that are associated with the older of the two centrioles after centrosome duplication. This protein plays a central role in organization of the microtubules during centriole duplication. A pseudogene of this gene is found on chromosome 5. TUBE1 (Tubulin Epsilon 1) is a Protein Coding gene. Diseases associated with TUBE1 include Chronic Frontal Sinusitis and Frontal Sinusitis. Among its related pathways are Sertoli-Sertoli Cell Junction Dynamics and Chks in Checkpoint Regulation. GO annotations related to this gene include GTP binding and structural constituent of cytoskeleton. An important paralog of this gene is TUBB4B.

    UniProt

    Q9UJT0

    途径

    Microtubule Dynamics
You are here: