电话:
+86 (0512) 65829739
传真:
+86 (010) 6788 5057
电子邮件:
orders@antibodies-online.cn

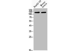
XPO1 抗体 (acLys568, Internal Region)

This 兔 多克隆 antibody specifically detects XPO1 in WB 和 ELISA. It exhibits reactivity toward 人.
产品编号 ABIN7186421
发货至: 中国
Contact our Customer Service for availability and price in your country. Contact Info

Our Local Distributor

中国
北京 101111
No. 88 KeChuang 6th Street
Beijing Economic Technological Development Area
Room 801-803
4A Biotech Co.,Ltd.
Tel +86 (0512) 65829739 传真 +86 (010) 6788 5057

Quick Overview for XPO1 抗体 (acLys568, Internal Region) (ABIN7186421)

抗原

See all XPO1 抗体
XPO1 (Exportin 1 (XPO1))

适用

  • 83
  • 49
  • 47
  • 8
  • 7
  • 5
  • 4
  • 4
  • 4
  • 3
  • 3
  • 3
  • 2
  • 1
  • 1
  • 1
  • 1
  • 1

宿主

  • 82
  • 1

克隆类型

  • 60
  • 23
多克隆

标记

  • 42
  • 5
  • 3
  • 3
  • 3
  • 3
  • 3
  • 3
  • 3
  • 2
  • 1
  • 1
  • 1
  • 1
  • 1
  • 1
  • 1
  • 1
  • 1
  • 1
  • 1
  • 1
  • 1
This XPO1 antibody is un-conjugated

应用范围

  • 58
  • 29
  • 18
  • 18
  • 16
  • 14
  • 14
  • 14
  • 13
  • 6
  • 4
  • 1
  • 1
  • 1
  • 1
Western Blotting (WB), ELISA
  • 抗原表位

    • 15
    • 11
    • 6
    • 4
    • 3
    • 2
    • 2
    • 2
    • 2
    • 2
    • 1
    • 1
    • 1
    • 1
    • 1
    acLys568, Internal Region

    原理

    Acetyl-XPO1 (K568) Antibody

    交叉反应

    小鼠, 大鼠

    纯化方法

    The antibody was affinity-purified from rabbit antiserum by affinity-chromatography using epitope-specific immunogen.

    免疫原

    Synthesized peptide derived from the Internal region of Human CRM1 around the acetylation site of K568.

    亚型

    IgG
  • 应用备注

    Optimal working dilution should be determined by the investigator.

    限制

    仅限研究用
  • 状态

    Liquid

    缓冲液

    PBS containing 50 % glycerol, 0.5 % BSA and 0.02 % sodium azide.

    储存液

    Sodium azide

    注意事项

    This product contains Sodium azide: a POISONOUS AND HAZARDOUS SUBSTANCE which should be handled by trained staff only.

    储存条件

    -20 °C,-80 °C

    储存方法

    Upon receipt, store at -20°C or -80°C. Avoid repeated freeze.
  • 抗原

    XPO1 (Exportin 1 (XPO1))

    别名

    XPO1

    背景

    Chromosome region maintenance 1 protein homolog antibody, CRM 1 antibody, CRM1 homolog antibody, DKFZp686B1823 antibody, emb antibody, Exp 1 antibody, Exp1 antibody, Exportin 1 antibody, Exportin-1 antibody, Exportin1 antibody, XPO 1 antibody, xpo1 antibody, XPO1_HUMAN antibody

    UniProt

    O14980

    途径

    M Phase
You are here: