电话:
+86 (0512) 65829739
传真:
+86 (010) 6788 5057
电子邮件:
orders@antibodies-online.cn

NLRX1 抗体

The 兔 多克隆 anti-NLRX1 antibody is suitable to detect NLRX1 in samples from 人. It has been validated for WB 和 ELISA.
产品编号 ABIN7184523
发货至: 中国
Contact our Customer Service for availability and price in your country. Contact Info

Our Local Distributor

中国
北京 101111
No. 88 KeChuang 6th Street
Beijing Economic Technological Development Area
Room 801-803
4A Biotech Co.,Ltd.
Tel +86 (0512) 65829739 传真 +86 (010) 6788 5057

Quick Overview for NLRX1 抗体 (ABIN7184523)

抗原

See all NLRX1 抗体
NLRX1 (NLR Family Member X1 (NLRX1))

适用

  • 48
  • 24
  • 24
  • 7
  • 7
  • 5
  • 4
  • 3
  • 2
  • 1

宿主

  • 47
  • 1

克隆类型

  • 48
多克隆

标记

  • 19
  • 3
  • 3
  • 2
  • 1
  • 1
  • 1
  • 1
  • 1
  • 1
  • 1
  • 1
  • 1
  • 1
  • 1
  • 1
  • 1
  • 1
  • 1
  • 1
  • 1
  • 1
  • 1
  • 1
  • 1
This NLRX1 antibody is un-conjugated

应用范围

  • 35
  • 15
  • 13
  • 13
  • 7
  • 6
  • 4
  • 3
  • 2
  • 2
  • 1
  • 1
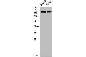
Western Blotting (WB), ELISA
  • 原理

    NLRX1 Antibody

    交叉反应

    小鼠, 大鼠

    纯化方法

    The antibody was affinity-purified from rabbit antiserum by affinity-chromatography using epitope-specific immunogen.

    免疫原

    Synthesized peptide derived from NLRX1 at AA range: 581-630

    亚型

    IgG
  • 应用备注

    Optimal working dilution should be determined by the investigator.

    限制

    仅限研究用
  • 状态

    Liquid

    缓冲液

    PBS containing 50 % glycerol, 0.5 % BSA and 0.02 % sodium azide.

    储存液

    Sodium azide

    注意事项

    This product contains Sodium azide: a POISONOUS AND HAZARDOUS SUBSTANCE which should be handled by trained staff only.

    储存条件

    -20 °C,-80 °C

    储存方法

    Upon receipt, store at -20°C or -80°C. Avoid repeated freeze.
  • 抗原

    NLRX1 (NLR Family Member X1 (NLRX1))

    别名

    NLRX1

    背景

    Caterpiller protein 11.3 antibody, CLR11.3 antibody, DLNB26 antibody, FLJ21478 antibody, MGC131937 antibody, MGC21025 antibody, NLR family member X1 antibody, NLR family, X1 antibody, Nlrx1 antibody, NLRX1_HUMAN antibody, NOD-like receptor X1 antibody, NOD26 antibody, NOD5 antibody, NOD9 antibody, Nucleotide-binding oligomerization domain protein 26 antibody, Nucleotide-binding oligomerization domain protein 5 antibody, Nucleotide-binding oligomerization domain protein 9 antibody, nucleotide-binding oligomerization domain, leucine rich repeat containing X1 antibody, Protein Caterpiller 11.3 antibody

    UniProt

    Q86UT6

    途径

    SARS-CoV-2 Protein Interactome
You are here: