电话:
+86 (0512) 65829739
传真:
+86 (010) 6788 5057
电子邮件:
orders@antibodies-online.cn

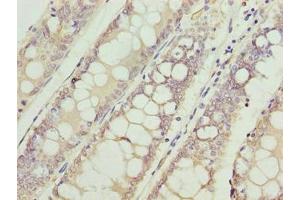
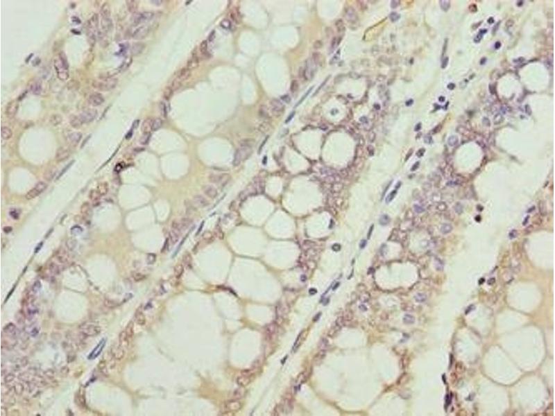
VPS45 抗体 (AA 101-400)

This 兔 多克隆 antibody specifically detects VPS45 in ELISA, WB 和 IHC. It exhibits reactivity toward 人.
产品编号 ABIN7175315
发货至: 中国
Contact our Customer Service for availability and price in your country. Contact Info

Our Local Distributor

中国
北京 101111
No. 88 KeChuang 6th Street
Beijing Economic Technological Development Area
Room 801-803
4A Biotech Co.,Ltd.
Tel +86 (0512) 65829739 传真 +86 (010) 6788 5057

Quick Overview for VPS45 抗体 (AA 101-400) (ABIN7175315)

抗原

See all VPS45 抗体
VPS45 (Vacuolar Protein Sorting 45 (VPS45))

适用

  • 37
  • 25
  • 8
  • 3
  • 3
  • 3
  • 3
  • 2
  • 1
  • 1
  • 1
  • 1
  • 1
  • 1

宿主

  • 49
  • 2
  • 1

克隆类型

  • 53
多克隆

标记

  • 24
  • 4
  • 3
  • 3
  • 1
  • 1
  • 1
  • 1
  • 1
  • 1
  • 1
  • 1
  • 1
  • 1
  • 1
  • 1
  • 1
  • 1
  • 1
  • 1
  • 1
  • 1
  • 1
This VPS45 antibody is un-conjugated

应用范围

  • 25
  • 16
  • 13
  • 13
  • 6
  • 3
  • 3
  • 1
  • 1
  • 1
ELISA, Western Blotting (WB), Immunohistochemistry (IHC)
  • 抗原表位

    • 15
    • 12
    • 9
    • 5
    • 2
    • 2
    • 1
    • 1
    AA 101-400

    原理

    VPS45 Antibody

    交叉反应

    小鼠

    纯化方法

    Protein G purified

    纯度

    >95 %

    免疫原

    Recombinant Human Vacuolar protein sorting-associated protein 45 protein (101-400AA)

    亚型

    IgG
  • 应用备注

    Optimal working dilution should be determined by the investigator.

    限制

    仅限研究用
  • 状态

    Liquid

    缓冲液

    Preservative: 0.03 % Proclin 300
    Constituents: 50 % Glycerol, 0.01M PBS, PH 7.4

    储存液

    ProClin

    注意事项

    This product contains ProClin: a POISONOUS AND HAZARDOUS SUBSTANCE which should be handled by trained staff only.

    储存条件

    -20 °C,-80 °C

    储存方法

    Upon receipt, store at -20°C or -80°C. Avoid repeated freeze.
  • 抗原

    VPS45 (Vacuolar Protein Sorting 45 (VPS45))

    别名

    VPS45

    背景

    Background: May play a role in vesicle-mediated protein trafficking from the Golgi stack through the trans-Golgi network.

    Aliases: h-VPS45 antibody, H1 antibody, H1VPS45 antibody, HGNC:14579 antibody, hlVps45 antibody, Leucocyte vacuolar protein sorting 45 antibody, OTTHUMP00000014482 antibody, Vacuolar protein sorting 45 homolog (S. cerevisiae) antibody, Vacuolar protein sorting 45A (yeast homolog) antibody, Vacuolar protein sorting 45A antibody, Vacuolar protein sorting 45B (yeast) antibody, Vacuolar protein sorting-associated protein 45 antibody, Vps45 antibody, VPS45_HUMAN antibody, VPS45A antibody, VPS45B antibody, VPS54A antibody, VSP45 antibody, VSP45A antibody

    UniProt

    Q9NRW7

    途径

    Transition Metal Ion Homeostasis, Synaptic Vesicle Exocytosis
You are here: